Skip to main content

OPA1 Antibody (1284B) - Azide and BSA Free

Novus Biologicals, part of Bio-Techne | Catalog # NBP2-80894

Recombinant Monoclonal Antibody
Novus Biologicals, part of Bio-Techne
Catalog #
Availability
Size / Price
Qty
Loading...
NBP2-80894

Key Product Details

Species Reactivity

Human, Mouse, Rat

Applications

Immunohistochemistry, Immunohistochemistry-Paraffin, Western Blot, Immunocytochemistry/ Immunofluorescence

Label

Unconjugated

Antibody Source

Recombinant Monoclonal Rabbit IgG Clone # 1284B expressed in HEK293

Format

Azide and BSA Free

Concentration

1 mg/ml

Product Specifications

Immunogen

A synthetic peptide made to an internal region within residues 500-600 of human OPA1. [Swiss-Prot# O60313]

Clonality

Monoclonal

Host

Rabbit

Isotype

IgG

Description

Novus Biologicals Rabbit OPA1 Antibody (1284B) - Azide and BSA Free (NBP2-59770) is a recombinant monoclonal antibody validated for use in IHC, WB and ICC/IF. All Novus Biologicals antibodies are covered by our 100% guarantee.

Scientific Data Images for OPA1 Antibody (1284B) - Azide and BSA Free

Western Blot: OPA1 Antibody (1284B)Azide and BSA Free [NBP2-80894]

Western Blot: OPA1 Antibody (1284B)Azide and BSA Free [NBP2-80894]

Western Blot: OPA1 Antibody (1284B) - Azide and BSA Free [NBP2-80894] - Total protein from Mouse Neuro2A cells, Human HeLa cells and Rat PC12 cells was separated on a 7.5% gel by SDS-PAGE, transferred to PVDF membrane and blocked in 5% non-fat milk in TBST. The membrane was probed with 1.0 ug/ml anti-OPA1 in blocking buffer, and detected with an anti-mouse HRP secondary antibody using chemiluminescence. Image from the standard format of this antibody.
Immunocytochemistry/ Immunofluorescence: OPA1 Antibody (1284B) - Azide and BSA Free [NBP2-80894]

Immunocytochemistry/ Immunofluorescence: OPA1 Antibody (1284B) - Azide and BSA Free [NBP2-80894]

Immunocytochemistry/Immunofluorescence: OPA1 Antibody (1284B) - Azide and BSA Free [NBP2-80894] - HeLa cells were fixed for 10 minutes using 10% formalin and then permeabilized for 5 minutes using 1X TBS + 0.5% Triton X-100. The cells were incubated with anti-OPA1 at 5 ug/ml overnight at 4C and detected with an anti-rabbit DyLight 488 (Green) at a 1:500 dilution. Alpha tubulin (DM1A) NB100-690 was used as a co-stain at a 1:1000 dilution and detected with an anti-mouse DyLight 550 (Red) at a 1:500 dilution. Nuclei were counterstained with DAPI (Blue). Cells were imaged using a 40X objective. Image from the standard format of this antibody.
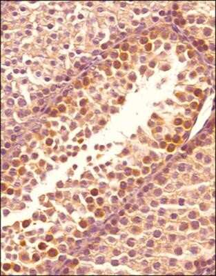
Immunohistochemistry-Paraffin: OPA1 Antibody (1284B) - Azide and BSA Free [NBP2-80894]

Immunohistochemistry-Paraffin: OPA1 Antibody (1284B) - Azide and BSA Free [NBP2-80894]

Immunohistochemistry-Paraffin: OPA1 Antibody (1284B) - Azide and BSA Free [NBP2-80894] - IHC analysis of a formalin fixed paraffin embedded (FFPE) tissue section of mouse testes using OPA1 antibody at 1:1000 dilution. The primary antibody bound to OPA1 antigens in the tissue section was deteced using an HRP labeled secondary antibody and DAB

Applications for OPA1 Antibody (1284B) - Azide and BSA Free

Application
Recommended Usage

Immunocytochemistry/ Immunofluorescence

5 ug/ml

Immunohistochemistry

1:1000

Immunohistochemistry-Paraffin

1:1000

Western Blot

2 ug/ml

Formulation, Preparation, and Storage

Purification

Protein A or G purified

Formulation

PBS

Format

Azide and BSA Free

Preservative

No Preservative

Concentration

1 mg/ml

Shipping

The product is shipped with polar packs. Upon receipt, store it immediately at the temperature recommended below.

Stability & Storage

Store at 4C short term. Aliquot and store at -20C long term. Avoid freeze-thaw cycles.

Background: OPA1

OPA1 (optic atrophy protein 1) is a dynamin-related GTPase which forms a diffusion barrier for proteins stored in mitochondrial cristae and is critical to mitochondrial fusion as well as regulation of apoptosis. Intrinsic apoptotic signals mediated proteolytic processing leads OPA1 oligomers disassembly and caspase activator cytochrome C (CYCS) release into mitochondrial intermembrane spaces. Under conditions of stress, dynamin-like 120 kD protein, form S1 (which is the inactive form produced via cleavage at S1 position by OMA1) triggers the loss of mitochondrial membrane potential that results in negative regulation of the process of mitochondrial fusion. OPA1 exists as oligomeric complex consisting of membrane-bound and soluble forms of OPA1, and the latter can interacts with CHCHD3, IMMT and PARL. PARL-dependent proteolytic processing releases an antiapoptotic soluble form which is not required for mitochondrial fusion. Defects in OPA1 are a cause of optic atrophy type 1 (OPA1) as well as dominant optic atrophy plus syndrome (DOA+)

Long Name

Optic Atrophy Protein 1

Alternate Names

BERHS, EC 3.6.5.5, LargeG, lilr3, MGM1, MTDPS14, NPG, NTG

Gene Symbol

OPA1

Additional OPA1 Products

Product Documents for OPA1 Antibody (1284B) - Azide and BSA Free

Certificate of Analysis

To download a Certificate of Analysis, please enter a lot number in the search box below.

Product Specific Notices for OPA1 Antibody (1284B) - Azide and BSA Free

This product is for research use only and is not approved for use in humans or in clinical diagnosis. Primary Antibodies are guaranteed for 1 year from date of receipt.

Loading...
Loading...
Loading...
Loading...