Skip to main content

OAT Antibody (HL2087) - Azide and BSA Free

Novus Biologicals, part of Bio-Techne | Catalog # NBP3-25584

Recombinant Monoclonal Antibody
Novus Biologicals, part of Bio-Techne
Catalog #
Availability
Size / Price
Qty
Loading...
NBP3-25584

Key Product Details

Validated by

Orthogonal Validation

Species Reactivity

Human, Mouse, Rat

Applications

Immunohistochemistry, Immunohistochemistry-Paraffin, Western Blot, Immunocytochemistry/ Immunofluorescence

Label

Unconjugated

Antibody Source

Recombinant Monoclonal Rabbit IgG Clone # HL2087 expressed in HEK293

Format

Azide and BSA Free

Concentration

Concentrations vary lot to lot. See vial label for concentration. If unlisted please contact technical services.

Product Specifications

Immunogen

Recombinant fragment of human OAT

Clonality

Monoclonal

Host

Rabbit

Isotype

IgG

Description

Novus Biologicals Rabbit OAT Antibody (HL2087) - Azide and BSA Free (NBP3-25584) is a recombinant monoclonal antibody validated for use in IHC, WB and ICC/IF. All Novus Biologicals antibodies are covered by our 100% guarantee.

Scientific Data Images for OAT Antibody (HL2087) - Azide and BSA Free

OAT Antibody (HL2087) - Azide and BSA Free

Immunocytochemistry/Immunofluorescence: OAT Antibody (HL2087) - Azide and BSA Free [NBP3-25584] -

Immunocytochemistry/Immunofluorescence: OAT Antibody (HL2087) - Azide and BSA Free [NBP3-25584] - OAT antibody [HL2087] detects OAT protein at mitochondria by immunofluorescent analysis. Sample: A431 cells were fixed in ice-cold MeOH for 5 min. Green: OAT stained by OAT antibody [HL2087] (NBP3-25584) diluted at 1:500. Blue: Fluoroshield with DAPI . Scale bar= 10um.
OAT Antibody (HL2087) - Azide and BSA Free

Western Blot: OAT Antibody (HL2087) - Azide and BSA Free [NBP3-25584] -

Western Blot: OAT Antibody (HL2087) - Azide and BSA Free [NBP3-25584] - Non-transfected (-) and transfected (+) 293T whole cell extracts (30 ug) were separated by 10% SDS-PAGE, and the membrane was blotted with OAT antibody [HL2087] (NBP3-25584) diluted at 1:5000. The HRP-conjugated anti-rabbit IgG antibody was used to detect the primary antibody.
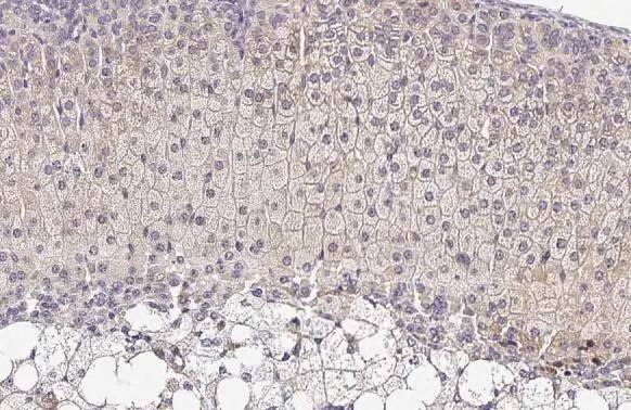
OAT Antibody (HL2087) - Azide and BSA Free

Immunohistochemistry-Paraffin: OAT Antibody (HL2087) - Azide and BSA Free [NBP3-25584] -

Immunohistochemistry-Paraffin: OAT Antibody (HL2087) - Azide and BSA Free [NBP3-25584] - OAT antibody [HL2087] detects OAT protein at cytoplasm by immunohistochemical analysis. Sample: Paraffin-embedded rat stomach. OAT stained by OAT antibody [HL2087] (NBP3-25584) diluted at 1:100. Antigen Retrieval: Citrate buffer, pH 6.0, 15 min

Applications for OAT Antibody (HL2087) - Azide and BSA Free

Application
Recommended Usage

Western Blot

1:500-1:3000

Formulation, Preparation, and Storage

Purification

Protein A purified

Formulation

PBS

Format

Azide and BSA Free

Preservative

No Preservative

Concentration

Concentrations vary lot to lot. See vial label for concentration. If unlisted please contact technical services.

Shipping

The product is shipped with polar packs. Upon receipt, store it immediately at the temperature recommended below.

Stability & Storage

Store at 4C short term. Aliquot and store at -20C long term. Avoid freeze-thaw cycles.

Background: OAT

OAT, also known as mitochondrial enzyme ornithine aminotransferase, is a key enzyme in the pathway that converts arginine and ornithine into the major excitatory and inhibitory neurotransmitters glutamate and GABA. ( L-ornithine + a 2-oxo acid = L-glutamate 5-semialdehyde + an L-amino acid.) Mutations that result in a deficiency of this enzyme cause the autosomal recessive eye disease Gyrate Atrophy. Recombinant OAT protein was expressed in E.coli and purified by using conventional chromatography techniques.

Alternate Names

GACR, HOGA, OAT ornithine aminotransferase, OATASE, OKT

Gene Symbol

OAT

Additional OAT Products

Product Documents for OAT Antibody (HL2087) - Azide and BSA Free

Certificate of Analysis

To download a Certificate of Analysis, please enter a lot number in the search box below.

Product Specific Notices for OAT Antibody (HL2087) - Azide and BSA Free

This product is for research use only and is not approved for use in humans or in clinical diagnosis. Primary Antibodies are guaranteed for 1 year from date of receipt.

Loading...
Loading...
Loading...
Loading...