Skip to main content

OASL Antibody (HL2399) - Azide and BSA Free

Novus Biologicals, part of Bio-Techne | Catalog # NBP3-25583

Recombinant Monoclonal Antibody
Novus Biologicals, part of Bio-Techne
Catalog #
Availability
Size / Price
Qty
Loading...
NBP3-25583

Key Product Details

Validated by

Orthogonal Validation

Species Reactivity

Human

Applications

Western Blot

Label

Unconjugated

Antibody Source

Recombinant Monoclonal Rabbit IgG Clone # HL2399 expressed in HEK293

Format

Azide and BSA Free

Concentration

Concentrations vary lot to lot. See vial label for concentration. If unlisted please contact technical services.

Product Specifications

Immunogen

Recombinant fragment of human OASL.

Clonality

Monoclonal

Host

Rabbit

Isotype

IgG

Description

Novus Biologicals Rabbit OASL Antibody (HL2399) - Azide and BSA Free (NBP3-25583) is a recombinant monoclonal antibody validated for use in WB. All Novus Biologicals antibodies are covered by our 100% guarantee.

Scientific Data Images for OASL Antibody (HL2399) - Azide and BSA Free

OASL Antibody (HL2399) - Azide and BSA Free

Western Blot: OASL Antibody (HL2399) - Azide and BSA Free [NBP3-25583] -

Western Blot: OASL Antibody (HL2399) - Azide and BSA Free [NBP3-25583] - Non-transfected (-) and transfected (+) 293T whole cell extracts (30 ug) were separated by 10% SDS-PAGE, and the membrane was blotted with OASL antibody [HL2399] (NBP3-25583) diluted at 1:10000. The HRP-conjugated anti-rabbit IgG antibody was used to detect the primary antibody.
OASL Antibody (HL2399) - Azide and BSA Free

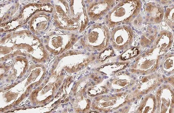
Immunohistochemistry-Paraffin: OASL Antibody (HL2399) [NBP3-25583] -

OASL antibody [HL2399] detects OASL protein at cytoplasm by immunohistochemical analysis.Sample: Paraffin-embedded rat kidney.OASL stained by OASL antibody [HL2399] (NBP3-25583) diluted at 1:100.Antigen Retrieval: Citrate buffer, pH 6.0, 15 min
OASL Antibody (HL2399) - Azide and BSA Free

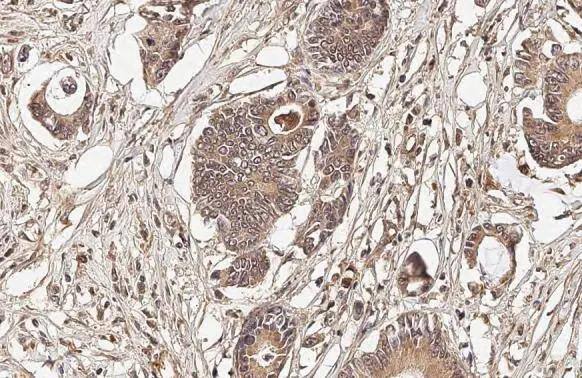
Immunohistochemistry-Paraffin: OASL Antibody (HL2399) [NBP3-25583] -

OASL antibody [HL2399] detects OASL protein at cytoplasm by immunohistochemical analysis.Sample: Paraffin-embedded human colon cancer.OASL stained by OASL antibody [HL2399] (NBP3-25583) diluted at 1:100.Antigen Retrieval: Citrate buffer, pH 6.0, 15 min

Applications for OASL Antibody (HL2399) - Azide and BSA Free

Application
Recommended Usage

Western Blot

1:500-1:3000

Formulation, Preparation, and Storage

Purification

Protein A purified

Formulation

PBS

Format

Azide and BSA Free

Preservative

No Preservative

Concentration

Concentrations vary lot to lot. See vial label for concentration. If unlisted please contact technical services.

Shipping

The product is shipped with polar packs. Upon receipt, store it immediately at the temperature recommended below.

Stability & Storage

Store at 4C short term. Aliquot and store at -20C long term. Avoid freeze-thaw cycles.

Background: OASL

Does not have 2'-5'-OAS activity, but binds double-stranded RNA and DNA

Alternate Names

2'-5'-oligoadenylate synthetase-like, p59 OASL, p59OASL59 kDa 2'-5'-oligoadenylate synthase-like protein, Thyroid receptor-interacting protein 14,59 kDa 2'-5'-oligoadenylate synthetase-like protein, TRIP-14, TRIP14TR-interacting protein 14

Gene Symbol

OASL

Additional OASL Products

Product Documents for OASL Antibody (HL2399) - Azide and BSA Free

Certificate of Analysis

To download a Certificate of Analysis, please enter a lot number in the search box below.

Product Specific Notices for OASL Antibody (HL2399) - Azide and BSA Free

This product is for research use only and is not approved for use in humans or in clinical diagnosis. Primary Antibodies are guaranteed for 1 year from date of receipt.

Loading...
Loading...
Loading...
Loading...