Skip to main content

NUDT16 Antibody - BSA Free

Novus Biologicals, part of Bio-Techne | Catalog # NBP3-47289

Novus Biologicals, part of Bio-Techne
Catalog #
Availability
Size / Price
Qty
Loading...
NBP3-47289

Key Product Details

Species Reactivity

Human

Applications

Immunohistochemistry, Western Blot, ELISA, Immunocytochemistry/ Immunofluorescence, Immunoprecipitation

Label

Unconjugated

Antibody Source

Polyclonal Rabbit IgG

Format

BSA Free

Concentration

Please see the vial label for concentration. If unlisted please contact technical services.

Product Specifications

Immunogen

nudix(nucleoside diphosphate linked moiety X)-type motif 16. (Uniprot# Q96DE0)

Clonality

Polyclonal

Host

Rabbit

Isotype

IgG

Theoretical MW

21 kDa.
Disclaimer note: The observed molecular weight of the protein may vary from the listed predicted molecular weight due to post translational modifications, post translation cleavages, relative charges, and other experimental factors.

Description

Novus Biologicals Rabbit NUDT16 Antibody - BSA Free (NBP3-47289) is a polyclonal antibody validated for use in IHC, WB, ELISA, ICC/IF and IP. All Novus Biologicals antibodies are covered by our 100% guarantee.

Scientific Data Images for NUDT16 Antibody - BSA Free

NUDT16 Antibody - BSA Free

Western Blot: NUDT16 Antibody - BSA Free [NBP3-47289] -

Western Blot: NUDT16 Antibody - BSA Free [NBP3-47289] - HeLa cells were subjected to SDS PAGE followed by western blot with (NUDT16 antibody) at dilution of 1:2500
NUDT16 Antibody - BSA Free

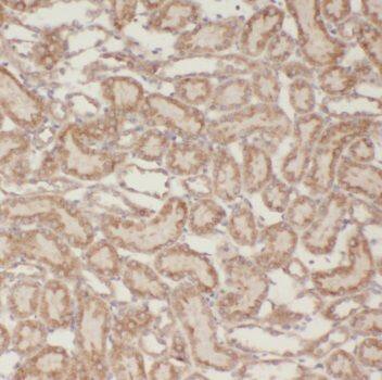
Immunohistochemistry: NUDT16 Antibody - BSA Free [NBP3-47289] -

Immunohistochemistry: NUDT16 Antibody - BSA Free [NBP3-47289] - Immunohistochemistry of paraffin-embedded human kidney tissue slide using (NUDT16 Antibody) at dilution of 1:50
NUDT16 Antibody - BSA Free

Immunoprecipitation: NUDT16 Antibody - BSA Free [NBP3-47289] -

Immunoprecipitation: NUDT16 Antibody - BSA Free [NBP3-47289] - IP Result of anti-NUDT16 (IP:, 3ug; Detection: 1:1000) with HEK-293 cells lysate 2400ug.

Applications for NUDT16 Antibody - BSA Free

Application
Recommended Usage

Immunocytochemistry/ Immunofluorescence

1:20-1:200

Immunohistochemistry

1:20-1:200

Immunoprecipitation

1:500-1:2000

Western Blot

1:1000-1:4000

Formulation, Preparation, and Storage

Purification

Immunogen affinity purified

Formulation

PBS, 50% Glycerol, pH (7.3)

Format

BSA Free

Preservative

0.02% Sodium Azide

Concentration

Please see the vial label for concentration. If unlisted please contact technical services.

Shipping

The product is shipped with polar packs. Upon receipt, store it immediately at the temperature recommended below.

Stability & Storage

Store at -20C. Avoid freeze-thaw cycles.

Background: NUDT16

RNA-decapping enzyme that binds specifically to U8 snoRNA. Part of the U8 snoRNP complex that is required forthe accumulation of mature 5.8S and 28S rRNA. Has diphosphatase activity and removes m7G and m227G caps from U8snoRNA. Has broad substrate specificity with manganese or cobalt as cofactor and can act on various RNA species (invitro)

Alternate Names

EC 3.6.1, EC 3.6.1.-, FLJ31265, FLJ34034, FLJ36248, Nucleoside diphosphate-linked moiety X motif 16, nudix (nucleoside diphosphate linked moiety X)-type motif 16, Nudix motif 16, U8 snoRNA-binding protein H29K, U8 snoRNA-decapping enzyme

Gene Symbol

NUDT16

Additional NUDT16 Products

Product Documents for NUDT16 Antibody - BSA Free

Certificate of Analysis

To download a Certificate of Analysis, please enter a lot number in the search box below.

Product Specific Notices for NUDT16 Antibody - BSA Free

This product is for research use only and is not approved for use in humans or in clinical diagnosis. Primary Antibodies are guaranteed for 1 year from date of receipt.

Loading...
Loading...
Loading...
Loading...