Skip to main content

NT5DC1 Antibody (OTI1E11)

Novus Biologicals, part of Bio-Techne | Catalog # NBP2-02914

Novus Biologicals, part of Bio-Techne
Catalog #
Availability
Size / Price
Qty
Loading...
NBP2-02914

Key Product Details

Species Reactivity

Human, Rat, Canine, Monkey, Primate

Applications

Flow Cytometry, Immunohistochemistry, Immunohistochemistry-Paraffin, Western Blot

Label

Unconjugated

Antibody Source

Monoclonal Mouse IgG1 Clone # OTI1E11

Concentration

0.56 mg/ml

Product Specifications

Immunogen

Full length human recombinant protein of human NT5DC1 (NP_689942) produced in HEK293T cell.

Clonality

Monoclonal

Host

Mouse

Isotype

IgG1

Theoretical MW

51.7 kDa.
Disclaimer note: The observed molecular weight of the protein may vary from the listed predicted molecular weight due to post translational modifications, post translation cleavages, relative charges, and other experimental factors.

Description

Novus Biologicals Mouse NT5DC1 Antibody (OTI1E11) (NBP2-02914) is a monoclonal antibody validated for use in IHC, WB and Flow. All Novus Biologicals antibodies are covered by our 100% guarantee.

Scientific Data Images for NT5DC1 Antibody (OTI1E11)

Western Blot: NT5DC1 Antibody (1E11) [NBP2-02914] Analysis of extracts (35ug) from 9 different cell lines by using anti-NT5DC1 monoclonal antibody.
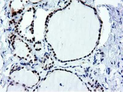
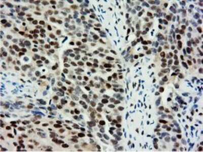
Immunohistochemistry-Paraffin: NT5DC1 Antibody (OTI1E11) [NBP2-02914]

Immunohistochemistry-Paraffin: NT5DC1 Antibody (OTI1E11) [NBP2-02914]

Immunohistochemistry-Paraffin: NT5DC1 Antibody (1E11) [NBP2-02914] - Staining of paraffin-embedded Human thyroid tissue using anti-NT5DC1 mouse monoclonal antibody.
Flow Cytometry: NT5DC1 Antibody (OTI1E11) [NBP2-02914]

Flow Cytometry: NT5DC1 Antibody (OTI1E11) [NBP2-02914]

Flow Cytometry: NT5DC1 Antibody (1E11) [NBP2-02914] - HEK293T cells transfected with either overexpression plasmid (Red) or empty vector control plasmid (Blue) were immunostained by anti-NT5DC1 antibody, and then analyzed by flow cytometry.

Applications for NT5DC1 Antibody (OTI1E11)

Application
Recommended Usage

Flow Cytometry

1:100

Immunohistochemistry

1:150

Immunohistochemistry-Paraffin

1:150

Western Blot

1:500-2000

Formulation, Preparation, and Storage

Purification

Immunogen affinity purified

Formulation

PBS (pH 7.3), 1.0% BSA and 50% Glycerol

Preservative

0.02% Sodium Azide

Concentration

0.56 mg/ml

Shipping

The product is shipped with polar packs. Upon receipt, store it immediately at the temperature recommended below.

Stability & Storage

Store at -20C. Avoid freeze-thaw cycles.

Background: NT5DC1

While the exact function of the protein encoded by this gene is not known, it belongs to the 5'(3')-deoxyribonucleotidase family. [provided by RefSeq]. COMPLETENESS: complete on the 3' end.

Alternate Names

5'-nucleotidase domain containing 1,5'-nucleotidase domain-containing protein 1, 5'-nucleotidase, cytosolic II-like 1, C6orf200, dJ486I3.1, LP2642, MGC131837, MGC24302,5'-nucleotidase, cytosolic II-like 1 protein, NT5C2L1

Entrez Gene IDs

221294 (Human)

Gene Symbol

NT5DC1

Additional NT5DC1 Products

Product Documents for NT5DC1 Antibody (OTI1E11)

Certificate of Analysis

To download a Certificate of Analysis, please enter a lot number in the search box below.

Product Specific Notices for NT5DC1 Antibody (OTI1E11)

This product is for research use only and is not approved for use in humans or in clinical diagnosis. Primary Antibodies are guaranteed for 1 year from date of receipt.

Loading...
Loading...
Loading...
Loading...
Loading...