Skip to main content

NS1-BP Antibody - BSA Free

Novus Biologicals, part of Bio-Techne | Catalog # NBP3-46450

Novus Biologicals, part of Bio-Techne
Catalog #
Availability
Size / Price
Qty
Loading...
NBP3-46450

Key Product Details

Species Reactivity

Human, Mouse, Rat

Applications

Immunohistochemistry, Western Blot, ELISA

Label

Unconjugated

Antibody Source

Polyclonal Rabbit IgG

Format

BSA Free

Concentration

Please see the vial label for concentration. If unlisted please contact technical services.

Product Specifications

Immunogen

influenza virus NS1A binding protein. (Uniprot# Q9Y6Y0)

Clonality

Polyclonal

Host

Rabbit

Isotype

IgG

Theoretical MW

70 kDa.
Disclaimer note: The observed molecular weight of the protein may vary from the listed predicted molecular weight due to post translational modifications, post translation cleavages, relative charges, and other experimental factors.

Description

Novus Biologicals Rabbit NS1-BP Antibody - BSA Free (NBP3-46450) is a polyclonal antibody validated for use in IHC, WB and ELISA. All Novus Biologicals antibodies are covered by our 100% guarantee.

Scientific Data Images for NS1-BP Antibody - BSA Free

NS1-BP Antibody - BSA Free

Western Blot: NS1-BP Antibody - BSA Free [NBP3-46450] -

Western Blot: NS1-BP Antibody - BSA Free [NBP3-46450] - Mouse heart tissue were subjected to SDS PAGE followed by western blot with (NS1-BP antibody) at dilution of 1:800
NS1-BP Antibody - BSA Free

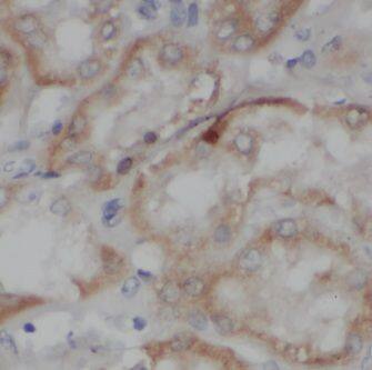
Immunohistochemistry: NS1-BP Antibody - BSA Free [NBP3-46450] -

Immunohistochemistry: NS1-BP Antibody - BSA Free [NBP3-46450] - Immunohistochemistry of paraffin-embedded human kidney using (NS1-BP antibody) at dilution of 1:100

Applications for NS1-BP Antibody - BSA Free

Application
Recommended Usage

Immunohistochemistry

1:20-1:200

Western Blot

1:500-1:2000

Formulation, Preparation, and Storage

Purification

Immunogen affinity purified

Formulation

PBS, 50% Glycerol, pH (7.3)

Format

BSA Free

Preservative

0.02% Sodium Azide

Concentration

Please see the vial label for concentration. If unlisted please contact technical services.

Shipping

The product is shipped with polar packs. Upon receipt, store it immediately at the temperature recommended below.

Stability & Storage

Store at -20C. Avoid freeze-thaw cycles.

Background: NS1-BP

IVNS1ABP plays a role in cell division and in the dynamic organization of the actin skeleton as a stabilizer of actin filaments by association with F-actin through Kelch repeats. Protects cells from cell death induced by actin destabilization; Protects neurons fro

Alternate Names

ARA3, aryl hydrocarbon receptor-associated 3, Aryl hydrocarbon receptor-associated protein 3, DKFZp686K06216, FLARA3, FLJ10962, FLJ35593, FLJ36593, HSPC068, influenza virus NS1A binding protein, influenza virus NS1A-binding protein, KIAA0850FLJ10069, KLHL39, NCX downstream gene 1, ND1, NS1, NS-1, NS1-binding protein, NS1BP, NS1-BPFLJ10411

Gene Symbol

IVNS1ABP

Additional NS1-BP Products

Product Documents for NS1-BP Antibody - BSA Free

Certificate of Analysis

To download a Certificate of Analysis, please enter a lot number in the search box below.

Product Specific Notices for NS1-BP Antibody - BSA Free

This product is for research use only and is not approved for use in humans or in clinical diagnosis. Primary Antibodies are guaranteed for 1 year from date of receipt.

Loading...
Loading...
Loading...
Loading...