Skip to main content

NRIP3 Antibody (OTI1A9)

Novus Biologicals, part of Bio-Techne | Catalog # NBP2-45876

Novus Biologicals, part of Bio-Techne

Key Product Details

Species Reactivity

Human, Mouse, Rat

Applications

Immunohistochemistry, Immunohistochemistry-Paraffin, Western Blot

Label

Unconjugated

Antibody Source

Monoclonal Mouse IgG1 Clone # OTI1A9

Concentration

1 mg/ml

Product Specifications

Immunogen

Full length human recombinant protein of human NRIP3(NP_065696) produced in HEK293T cell.

Reactivity Notes

Please note that this antibody is reactive to Mouse and derived from the same host, Mouse. Mouse-On-Mouse blocking reagent may be needed for IHC and ICC experiments to reduce high background signal. You can find these reagents under catalog numbers PK-2200-NB and MP-2400-NB. Please contact Technical Support if you have any questions.

Clonality

Monoclonal

Host

Mouse

Isotype

IgG1

Theoretical MW

26.8 kDa.
Disclaimer note: The observed molecular weight of the protein may vary from the listed predicted molecular weight due to post translational modifications, post translation cleavages, relative charges, and other experimental factors.

Description

Novus Biologicals Mouse NRIP3 Antibody (OTI1A9) (NBP2-45876) is a monoclonal antibody validated for use in IHC and WB. All Novus Biologicals antibodies are covered by our 100% guarantee.

Scientific Data Images for NRIP3 Antibody (OTI1A9)

Western Blot: NRIP3 Antibody (OTI1A9) [NBP2-45876]

Western Blot: NRIP3 Antibody (OTI1A9) [NBP2-45876]

Western Blot: NRIP3 Antibody (1A9) [NBP2-45876] - Analysis of HEK293T cells were transfected with the pCMV6-ENTRY control (Left lane) or pCMV6-ENTRY NRIP3.
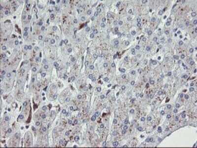
Immunohistochemistry: NRIP3 Antibody (OTI1A9) [NBP2-45876]

Immunohistochemistry: NRIP3 Antibody (OTI1A9) [NBP2-45876]

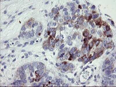
Immunohistochemistry: NRIP3 Antibody (1A9) [NBP2-45876] - Analysis of Adenocarcinoma of Human ovary tissue.
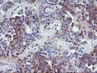
Immunohistochemistry: NRIP3 Antibody (OTI1A9) [NBP2-45876]

Immunohistochemistry: NRIP3 Antibody (OTI1A9) [NBP2-45876]

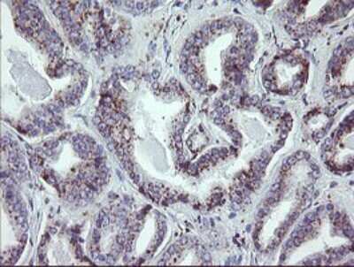
Immunohistochemistry: NRIP3 Antibody (1A9) [NBP2-45876] - Analysis of Carcinoma of Human prostate tissue.

Applications for NRIP3 Antibody (OTI1A9)

Application
Recommended Usage

Immunohistochemistry

1:150

Western Blot

1:2000

Formulation, Preparation, and Storage

Purification

Immunogen affinity purified

Formulation

PBS (pH 7.3), 1.0% BSA and 50% Glycerol

Preservative

0.02% Sodium Azide

Concentration

1 mg/ml

Shipping

The product is shipped with polar packs. Upon receipt, store it immediately at the temperature recommended below.

Stability & Storage

Store at -20C. Avoid freeze-thaw cycles.

Background: NRIP3

Alternate Names

C11orf14, chromosome 11 open reading frame 14, nuclear receptor interacting protein 3, nuclear receptor-interacting protein 3, NY-SAR-105, Sarcoma antigen NY-SAR-105

Gene Symbol

NRIP3

Additional NRIP3 Products

Product Documents for NRIP3 Antibody (OTI1A9)

Certificate of Analysis

To download a Certificate of Analysis, please enter a lot number in the search box below.

Product Specific Notices for NRIP3 Antibody (OTI1A9)

This product is for research use only and is not approved for use in humans or in clinical diagnosis. Primary Antibodies are guaranteed for 1 year from date of receipt.

Loading...
Loading...
Loading...
Loading...