Skip to main content

NQO-2 Antibody (OTI3G4)

Novus Biologicals, part of Bio-Techne | Catalog # NBP2-02062

Novus Biologicals, part of Bio-Techne
Catalog #
Availability
Size / Price
Qty
Loading...
NBP2-02062

Key Product Details

Species Reactivity

Human, Mouse, Canine, Monkey, Primate

Applications

Immunohistochemistry, Immunohistochemistry-Paraffin, Western Blot

Label

Unconjugated

Antibody Source

Monoclonal Mouse IgG1 Clone # OTI3G4

Concentration

1 mg/ml

Product Specifications

Immunogen

Full length human recombinant protein of human NQO2(NP_000895) produced in HEK293T cell.

Reactivity Notes

Please note that this antibody is reactive to Mouse and derived from the same host, Mouse. Mouse-On-Mouse blocking reagent may be needed for IHC and ICC experiments to reduce high background signal. You can find these reagents under catalog numbers PK-2200-NB and MP-2400-NB. Please contact Technical Support if you have any questions.

Clonality

Monoclonal

Host

Mouse

Isotype

IgG1

Theoretical MW

25.7 kDa.
Disclaimer note: The observed molecular weight of the protein may vary from the listed predicted molecular weight due to post translational modifications, post translation cleavages, relative charges, and other experimental factors.

Description

Novus Biologicals Mouse NQO-2 Antibody (OTI3G4) (NBP2-02062) is a monoclonal antibody validated for use in IHC and WB. All Novus Biologicals antibodies are covered by our 100% guarantee.

Scientific Data Images for NQO-2 Antibody (OTI3G4)

Western Blot: NQO2 Antibody (3G4) [NBP2-02062] Analysis of extracts (35ug) from 9 different cell lines by usin g anti-NQO2 monoclonal antibody (HepG2: human; HeLa: human; SVT2: mouse; A549: human; COS7: monkey; Jurkat: human; MDCK: canine; PC12: rat; MCF7: human).
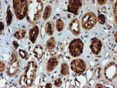
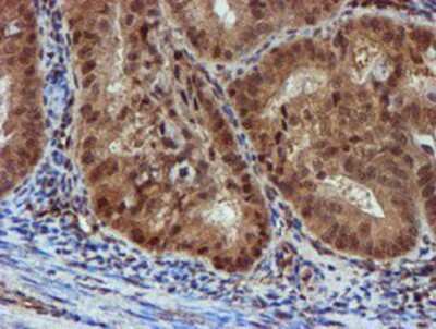
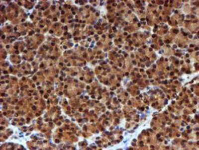
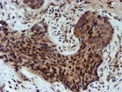
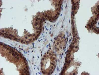
Immunohistochemistry-Paraffin: NQO-2 Antibody (OTI3G4) [NBP2-02062]

Immunohistochemistry-Paraffin: NQO-2 Antibody (OTI3G4) [NBP2-02062]

Immunohistochemistry-Paraffin: NQO2 Antibody (3G4) [NBP2-02062] - Carcinoma of Human bladder tissue.
Western Blot: NQO-2 Antibody (OTI3G4) [NBP2-02062]

Western Blot: NQO-2 Antibody (OTI3G4) [NBP2-02062]

Western Blot: NQO2 Antibody (3G4) [NBP2-02062] - HEK293T cells were transfected with the pCMV6-ENTRY control (Left lane) or pCMV6-ENTRY NQO2 (Right lane) cDNA for 48 hrs and lysed. Equivalent amounts of cell lysates (5 ug per lane) were separated by SDS-PAGE and immunoblotted with anti-NQO2.

Applications for NQO-2 Antibody (OTI3G4)

Application
Recommended Usage

Immunohistochemistry

1:150

Immunohistochemistry-Paraffin

1:150

Western Blot

1:500-2000

Formulation, Preparation, and Storage

Purification

Immunogen affinity purified

Formulation

PBS (pH 7.3), 1.0% BSA and 50% Glycerol

Preservative

0.02% Sodium Azide

Concentration

1 mg/ml

Shipping

The product is shipped with polar packs. Upon receipt, store it immediately at the temperature recommended below.

Stability & Storage

Store at -20C. Avoid freeze-thaw cycles.

Background: NQO-2

NQO2 (EC 1.10.99.2) is a flavoprotein that catalyzes the 2-electron reduction of various quinones, redox dyes, and the vitamin K menadione. NQO2 predominantly uses dihydronicotinamide riboside (NRH) as the electron donor (summary by Wu et al., 1997 [PubMed 9367528]).[supplied by OMIM].

Long Name

NAD(P)H Dehydrogenase, Quinone 2

Alternate Names

DHQV, DIA6, NMOR2, NQO2, QR2, Quinone Reductase 2

Entrez Gene IDs

4835 (Human)

Gene Symbol

NQO2

Additional NQO-2 Products

Product Documents for NQO-2 Antibody (OTI3G4)

Certificate of Analysis

To download a Certificate of Analysis, please enter a lot number in the search box below.

Product Specific Notices for NQO-2 Antibody (OTI3G4)

This product is for research use only and is not approved for use in humans or in clinical diagnosis. Primary Antibodies are guaranteed for 1 year from date of receipt.

Loading...
Loading...
Loading...
Loading...