Skip to main content

NOX3 Antibody - BSA Free

Novus Biologicals, part of Bio-Techne | Catalog # NBP2-41292

Novus Biologicals, part of Bio-Techne

Key Product Details

Species Reactivity

Validated:

Human, Mouse

Cited:

Human

Applications

Validated:

Immunohistochemistry, Immunohistochemistry-Paraffin, Western Blot, ELISA, Immunocytochemistry/ Immunofluorescence

Cited:

Immunohistochemistry, Western Blot

Label

Unconjugated

Antibody Source

Polyclonal Rabbit IgG

Format

BSA Free

Concentration

1 mg/ml

Product Specifications

Immunogen

Antibody was raised against a 15 amino acid peptide near the amino terminus of human NOX3. The immunogen is located within amino acids 110 - 160 of NOX3. Amino Acid Squence: NLERYHWSQSEEAQG

Specificity

NOX3 is predicted to not cross-react with other NOX proteins.

Clonality

Polyclonal

Host

Rabbit

Isotype

IgG

Theoretical MW

72 kDa.
Disclaimer note: The observed molecular weight of the protein may vary from the listed predicted molecular weight due to post translational modifications, post translation cleavages, relative charges, and other experimental factors.

Description

Novus Biologicals Rabbit NOX3 Antibody - BSA Free (NBP2-41292) is a polyclonal antibody validated for use in IHC, WB, ELISA and ICC/IF. Anti-NOX3 Antibody: Cited in 1 publication. All Novus Biologicals antibodies are covered by our 100% guarantee.

Scientific Data Images for NOX3 Antibody - BSA Free

Western Blot: NOX3 AntibodyBSA Free [NBP2-41292]

Western Blot: NOX3 AntibodyBSA Free [NBP2-41292]

Western Blot: NOX3 Antibody [NBP2-41292] - Analysis of NOX3 in 293 cell lysate with NOX1 antibody at 1 ug/ml.
NOX3 Antibody - BSA Free

Immunocytochemistry/ Immunofluorescence: NOX3 Antibody - BSA Free [NBP2-41292] -

Immunocytochemistry/ Immunofluorescence: NOX3 Antibody - BSA Free [NBP2-41292] - Immunofluorescence of NOX3 in human kidney tissue with NOX3 antibody at 20 ug/ml.
NOX3 Antibody - BSA Free

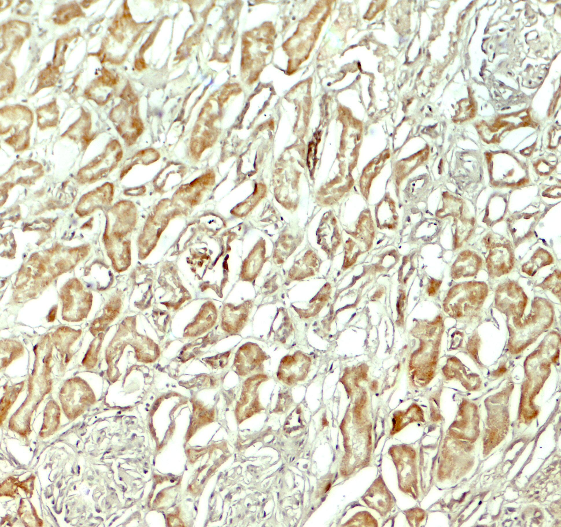
Immunohistochemistry: NOX3 Antibody - BSA Free [NBP2-41292] -

Immunohistochemistry: NOX3 Antibody - BSA Free [NBP2-41292] - Immunohistochemistry of NOX3 in human kidney tissue with NOX3 antibody at 5 ug/ml.

Applications for NOX3 Antibody - BSA Free

Application
Recommended Usage

Immunocytochemistry/ Immunofluorescence

20 ug/ml

Immunohistochemistry

5 ug/ml

Immunohistochemistry-Paraffin

5 ug/ml

Western Blot

1-2 ug/ml

Formulation, Preparation, and Storage

Purification

Peptide affinity purified

Formulation

PBS

Format

BSA Free

Preservative

0.02% Sodium Azide

Concentration

1 mg/ml

Shipping

The product is shipped with polar packs. Upon receipt, store it immediately at the temperature recommended below.

Stability & Storage

Store at 4C short term. Aliquot and store at -20C long term. Avoid freeze-thaw cycles.

Background: NOX3

Long Name

NADPH oxidase 3

Alternate Names

EC 1.6.3.-, GP91-3, gp91phox homolog 3, Mitogenic oxidase 2, MOX-2

Gene Symbol

NOX3

Additional NOX3 Products

Product Documents for NOX3 Antibody - BSA Free

Certificate of Analysis

To download a Certificate of Analysis, please enter a lot number in the search box below.

Product Specific Notices for NOX3 Antibody - BSA Free

This product is for research use only and is not approved for use in humans or in clinical diagnosis. Primary Antibodies are guaranteed for 1 year from date of receipt.

Loading...
Loading...
Loading...
Loading...