Skip to main content

Nope/IGDCC4 Antibody - BSA Free

Novus Biologicals, part of Bio-Techne | Catalog # NBP1-92195

Novus Biologicals, part of Bio-Techne
Catalog #
Availability
Size / Price
Qty
Loading...
NBP1-92195
NBP1-92195-25ul

Key Product Details

Species Reactivity

Human

Applications

Immunohistochemistry, Immunohistochemistry-Paraffin, Immunocytochemistry/ Immunofluorescence

Label

Unconjugated

Antibody Source

Polyclonal Rabbit IgG

Format

BSA Free

Concentration

Concentrations vary lot to lot. See vial label for concentration. If unlisted please contact technical services.

Product Specifications

Immunogen

This antibody was developed against Recombinant Protein corresponding to amino acids: VEDRAEVHSLMGGGVSEGRSHSKRKISWAQPSGLSWAGSWAGCELPQAGPRPALTRALLPPAGTGQTLLLQALVYDAIKGNGRKKSPPACRNQVEAEVIVHSDFSASNGNPDLHLQDLEPEDPLPPEAPDLISGVGD

Reactivity Notes

Immunogen displays the following percentage of sequence identity for non-tested species: Mouse (80%), Rat (80%)

Clonality

Polyclonal

Host

Rabbit

Isotype

IgG

Scientific Data Images for Nope/IGDCC4 Antibody - BSA Free

Immunocytochemistry/ Immunofluorescence: Nope/IGDCC4 Antibody [NBP1-92195]

Immunocytochemistry/ Immunofluorescence: Nope/IGDCC4 Antibody [NBP1-92195]

Immunocytochemistry/Immunofluorescence: Nope Antibody [NBP1-92195] - Staining of human cell line A549 shows localization to nucleoplasm & cytosol. Antibody staining is shown in green.
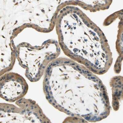
Immunohistochemistry-Paraffin: Nope/IGDCC4 Antibody [NBP1-92195]

Immunohistochemistry-Paraffin: Nope/IGDCC4 Antibody [NBP1-92195]

Immunohistochemistry-Paraffin: Nope Antibody [NBP1-92195] - Staining of human placenta shows cytoplasmic positivity in trophoblastic cells.
Immunohistochemistry-Paraffin: Nope/IGDCC4 Antibody [NBP1-92195]

Immunohistochemistry-Paraffin: Nope/IGDCC4 Antibody [NBP1-92195]

Immunohistochemistry-Paraffin: Nope Antibody [NBP1-92195] - Staining of human cerebral cortex shows positivity in neuronal cells.

Applications for Nope/IGDCC4 Antibody - BSA Free

Application
Recommended Usage

Immunocytochemistry/ Immunofluorescence

0.25-2 ug/ml

Immunohistochemistry

1:200 - 1:500

Immunohistochemistry-Paraffin

1:200 - 1:500
Application Notes
For IHC-Paraffin, HIER pH 6 retrieval is recommended. ICC/IF Fixation Permeabilization: Use PFA/Triton X-100.

Formulation, Preparation, and Storage

Purification

Affinity purified

Formulation

PBS (pH 7.2) and 40% Glycerol

Format

BSA Free

Preservative

0.02% Sodium Azide

Concentration

Concentrations vary lot to lot. See vial label for concentration. If unlisted please contact technical services.

Shipping

The product is shipped with polar packs. Upon receipt, store it immediately at the temperature recommended below.

Stability & Storage

Store at 4C short term. Aliquot and store at -20C long term. Avoid freeze-thaw cycles.

Background: Nope/IGDCC4

NOPE - likely ortholog of mouse neighbor of Punc E11

Long Name

Neighbor of Punc E11/Immunoglobulin Superfamily, DCC Subclass, Member 4

Alternate Names

DDM36, IGDCC4

Gene Symbol

IGDCC4

Additional Nope/IGDCC4 Products

Product Documents for Nope/IGDCC4 Antibody - BSA Free

Certificate of Analysis

To download a Certificate of Analysis, please enter a lot number in the search box below.

Product Specific Notices for Nope/IGDCC4 Antibody - BSA Free

This product is for research use only and is not approved for use in humans or in clinical diagnosis. Primary Antibodies are guaranteed for 1 year from date of receipt.

Loading...
Loading...
Loading...
Loading...