Skip to main content

NLRX1 Antibody - BSA Free

Novus Biologicals, part of Bio-Techne | Catalog # NBP1-76287

Novus Biologicals, part of Bio-Techne

Key Product Details

Species Reactivity

Human, Mouse, Rat

Applications

Immunohistochemistry, Immunohistochemistry-Paraffin, Western Blot, ELISA, Immunocytochemistry/ Immunofluorescence

Label

Unconjugated

Antibody Source

Polyclonal Rabbit IgG

Format

BSA Free

Concentration

1 mg/ml

Product Specifications

Immunogen

Antibody was raised against a 14 amino acid synthetic peptide near the amino terminus of human NOD5. The immunogen is located within amino acids 70 - 120 of NOD5. Amino Acid Squence: FSRLPREERQFGPT

Clonality

Polyclonal

Host

Rabbit

Isotype

IgG

Theoretical MW

108 kDa.
Disclaimer note: The observed molecular weight of the protein may vary from the listed predicted molecular weight due to post translational modifications, post translation cleavages, relative charges, and other experimental factors.

Scientific Data Images for NLRX1 Antibody - BSA Free

Western Blot: NLRX1 AntibodyBSA Free [NBP1-76287]

Western Blot: NLRX1 AntibodyBSA Free [NBP1-76287]

Western Blot: NLRX1 Antibody [NBP1-76287] - Rat spleen tissue cell lysate with NOD5 antibody at (A) 1 and (B) 2 ug/mL.
NLRX1 Antibody - BSA Free

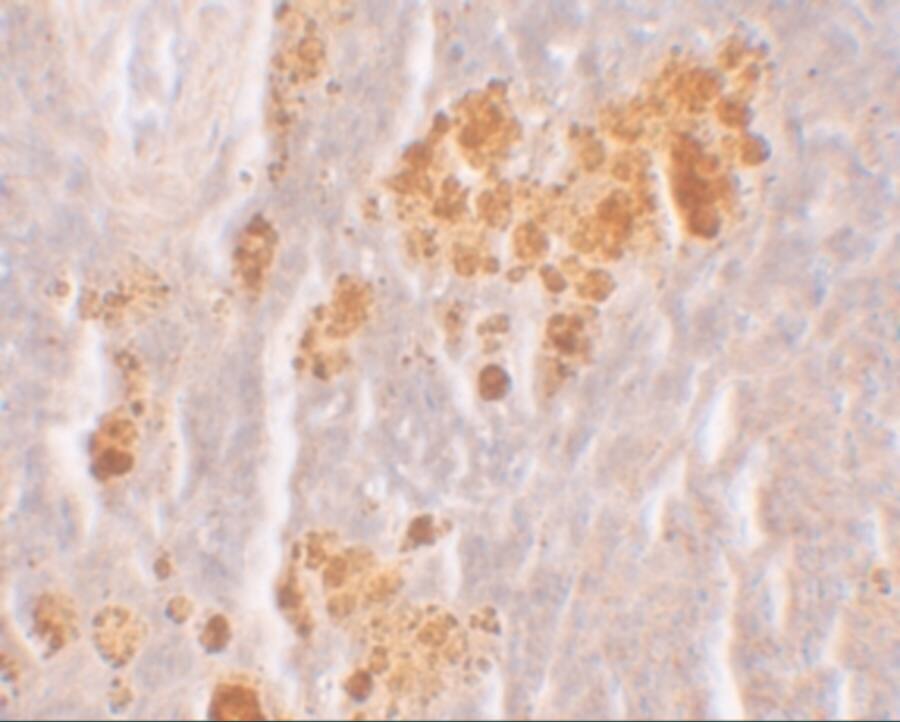
Immunohistochemistry: NLRX1 Antibody - BSA Free [NBP1-76287] -

Immunohistochemistry: NLRX1 Antibody - BSA Free [NBP1-76287] - Immunohistochemistry of NLRX1 in rat spleen tissue with NLRX1 antibody at 10 u/mL.
NLRX1 Antibody - BSA Free

Immunocytochemistry/ Immunofluorescence: NLRX1 Antibody - BSA Free [NBP1-76287] -

Immunocytochemistry/ Immunofluorescence: NLRX1 Antibody - BSA Free [NBP1-76287] - Immunofluorescence of NLRX1 in rat spleen tissue with NLRX1 antibody at 20 u/mL.

Applications for NLRX1 Antibody - BSA Free

Application
Recommended Usage

ELISA

1:100-1:2000

Immunocytochemistry/ Immunofluorescence

20 ug/ml

Immunohistochemistry

10 ug/mL

Immunohistochemistry-Paraffin

1:10-1:500

Western Blot

1-2 ug/ml

Formulation, Preparation, and Storage

Purification

Peptide affinity purified

Formulation

PBS

Format

BSA Free

Preservative

0.02% Sodium Azide

Concentration

1 mg/ml

Shipping

The product is shipped with polar packs. Upon receipt, store it immediately at the temperature recommended below.

Stability & Storage

Store at 4C short term. Aliquot and store at -20C long term. Avoid freeze-thaw cycles.

Background: NLRX1

NOD5, also known as NLRX1, is a member of the NOD (nucleotide-binding oligomerization domain) family, a group of proteins that are involved in innate immune defense. NOD5 localizes to the mitochondrial outer membrane and interacts with the virus-induced signaling adapter protein VISA. Unlike a subset of NOD-like receptors (NLRs) such as NOD1 and NOD2 which trigger pro-inflammatory cascades, and other NLRs that induce the caspase 1 inflammasome in response to immune challenges, NOD5 amplifies NF-kappaB and JNK pathways by inducing reactive oxygen species production.

Alternate Names

Caterpiller protein 11.3, CLR11.3DLNB26, MGC131937, MGC21025, NLR family member X1, NLR family, X1, NOD26, NOD5, NOD9FLJ21478, NOD-like receptor X1, Nucleotide-binding oligomerization domain protein 26, Nucleotide-binding oligomerization domain protein 5, Nucleotide-binding oligomerization domain protein 9, nucleotide-binding oligomerization domain, leucine rich repeat containing X1

Entrez Gene IDs

79671 (Human); 270151 (Mouse); 315599 (Rat)

Gene Symbol

NLRX1

UniProt

Additional NLRX1 Products

Product Documents for NLRX1 Antibody - BSA Free

Certificate of Analysis

To download a Certificate of Analysis, please enter a lot number in the search box below.

Product Specific Notices for NLRX1 Antibody - BSA Free

This product is for research use only and is not approved for use in humans or in clinical diagnosis. Primary Antibodies are guaranteed for 1 year from date of receipt.

Loading...
Loading...
Loading...
Loading...