Skip to main content

NHE1/SLC9A1 Antibody - BSA Free

Novus Biologicals, part of Bio-Techne | Catalog # NBP1-76847

Novus Biologicals, part of Bio-Techne

Key Product Details

Species Reactivity

Validated:

Human, Mouse, Rat

Cited:

Human, Mouse

Predicted:

Bovine (95%), Porcine (95%), Rabbit (95%). Backed by our 100% Guarantee.

Applications

Validated:

Immunohistochemistry, Immunohistochemistry-Paraffin, Western Blot, ELISA, Immunocytochemistry/ Immunofluorescence

Cited:

Immunohistochemistry-Paraffin, Western Blot

Label

Unconjugated

Antibody Source

Polyclonal Rabbit IgG

Format

BSA Free

Concentration

1 mg/ml

Product Specifications

Immunogen

Antibody was raised against a 20 amino acid synthetic peptide near the carboxy terminus of the human Nhe-1. The immunogen is located within the last 50 amino acids of Nhe-1. Amino Acid Squence: CLSDPGPHPEPGEGEPFFPK

Specificity

At least three isoforms of Nhe-1 are known to exist.

Clonality

Polyclonal

Host

Rabbit

Isotype

IgG

Theoretical MW

50, 90 kDa.
Disclaimer note: The observed molecular weight of the protein may vary from the listed predicted molecular weight due to post translational modifications, post translation cleavages, relative charges, and other experimental factors.

Description

Novus Biologicals Rabbit NHE1/SLC9A1 Antibody - BSA Free (NBP1-76847) is a polyclonal antibody validated for use in IHC, WB, ELISA and ICC/IF. Anti-NHE1/SLC9A1 Antibody: Cited in 3 publications. All Novus Biologicals antibodies are covered by our 100% guarantee.

Scientific Data Images for NHE1/SLC9A1 Antibody - BSA Free

Western Blot: NHE1/SLC9A1 AntibodyBSA Free [NBP1-76847]

Western Blot: NHE1/SLC9A1 AntibodyBSA Free [NBP1-76847]

Western Blot: NHE1/SLC9A1 Antibody [NBP1-76847] - Rat kidney tissue lysate with in with Nhe-1 antibody at (A) 1 and (B) 2 ug/ml.
NHE1/SLC9A1 Antibody - BSA Free

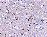
Immunohistochemistry: NHE1/SLC9A1 Antibody - BSA Free [NBP1-76847] -

Immunohistochemistry: NHE1/SLC9A1 Antibody - BSA Free [NBP1-76847] - Immunohistochemical staining of human brain tissue using NHE1/SLC9A1 antibody at 2.5 ug/mL.
NHE1/SLC9A1 Antibody - BSA Free

Immunocytochemistry/ Immunofluorescence: NHE1/SLC9A1 Antibody - BSA Free [NBP1-76847] -

Immunocytochemistry/ Immunofluorescence: NHE1/SLC9A1 Antibody - BSA Free [NBP1-76847] - Immunofluorescence of NHE1/SLC9A1 in Human Brain tissue with NHE1/SLC9A1 antibody at 20 ug/mL.

Applications for NHE1/SLC9A1 Antibody - BSA Free

Application
Recommended Usage

ELISA

1:100-1:2000

Immunocytochemistry/ Immunofluorescence

20 ug/ml

Immunohistochemistry

2.5 ug/mL

Immunohistochemistry-Paraffin

2-5 ug/ml

Western Blot

1-2 ug/ml

Formulation, Preparation, and Storage

Purification

Peptide affinity purified

Formulation

PBS

Format

BSA Free

Preservative

0.02% Sodium Azide

Concentration

1 mg/ml

Shipping

The product is shipped with polar packs. Upon receipt, store it immediately at the temperature recommended below.

Stability & Storage

Store at 4C short term. Aliquot and store at -20C long term. Avoid freeze-thaw cycles.

Background: NHE1/SLC9A1

The Na+/H+ antiporter (Nhe-1) is a ubiquitous membrane-bound enzyme involved in pH regulation of vertebrate cells and is specifically inhibited by the diuretic drug amiloride and activated by a variety of signals including growth factors, mitogens, neurotransmitters, and tumor promoters. Nhe-1 acts as an anchor for actin filaments to control the integrity of the cortical cytoskeleton. This occurs through a previously unrecognized structural link between Nhe-1 and the actin-binding proteins ezrin, radixin, and moesin, collectively referred to as ERM proteins. A structural role for Nhe-1 has been proposed in regulating the cortical cytoskeleton that is independent of its function as an ion exchanger. It is also thought that Nhe-1 play a role in hypertension. At least two isoforms of Nhe-1 are known to exist.

Long Name

Sodium/Hydrogen Exchanger 1

Alternate Names

APNH, SLC9A1

Entrez Gene IDs

6548 (Human)

Gene Symbol

SLC9A1

UniProt

Additional NHE1/SLC9A1 Products

Product Documents for NHE1/SLC9A1 Antibody - BSA Free

Certificate of Analysis

To download a Certificate of Analysis, please enter a lot number in the search box below.

Product Specific Notices for NHE1/SLC9A1 Antibody - BSA Free

This product is for research use only and is not approved for use in humans or in clinical diagnosis. Primary Antibodies are guaranteed for 1 year from date of receipt.

Loading...
Loading...
Loading...
Loading...
Loading...