NFkB p105/p50 [p Ser337] Antibody - BSA Free
Novus Biologicals, part of Bio-Techne | Catalog # NB100-82074
Key Product Details
Validated by
Biological Validation
Species Reactivity
Validated:
Human, Mouse, Rat
Cited:
Mouse
Applications
Validated:
Immunohistochemistry, Immunohistochemistry-Paraffin, Immunohistochemistry-Frozen, Western Blot, Immunocytochemistry/ Immunofluorescence
Cited:
Immunohistochemistry-Paraffin, Immunohistochemistry-Frozen
Label
Unconjugated
Antibody Source
Polyclonal Rabbit IgG
Format
BSA Free
Concentration
1.0 mg/ml
Product Specifications
Immunogen
Peptide sequence around phosphorylation site of serine 337(R-K-S(p)-D-L) derived from Human NF-kB p105/p50.
Modification
p Ser337
Specificity
Detects endogenous levels of NFkB p105/p50 only when phosphorylated at serine 337.
Clonality
Polyclonal
Host
Rabbit
Isotype
IgG
Theoretical MW
105 kDa.
Disclaimer note: The observed molecular weight of the protein may vary from the listed predicted molecular weight due to post translational modifications, post translation cleavages, relative charges, and other experimental factors.
Disclaimer note: The observed molecular weight of the protein may vary from the listed predicted molecular weight due to post translational modifications, post translation cleavages, relative charges, and other experimental factors.
Scientific Data Images for NFkB p105/p50 [p Ser337] Antibody - BSA Free
Immunocytochemistry/ Immunofluorescence: NFkB p105/p50 [p Ser337] Antibody [NB100-82074]
Immunocytochemistry/Immunofluorescence: NFkB p105/p50 [p Ser337] Antibody [NB100-82074] - Staining of methanol-fixed HeLa cells.Immunohistochemistry: NFkB p105/p50 [p Ser337] Antibody [NB100-82074] -
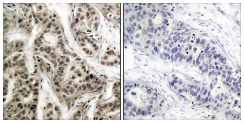
Immunohistochemistry: NFkB p105/p50 [p Ser337] Antibody [NB100-82074] - Immunohistochemical analysis of paraffin- embedded human breast carcinoma tissue using NB100-82074.Applications for NFkB p105/p50 [p Ser337] Antibody - BSA Free
Application
Recommended Usage
Immunohistochemistry
1:50-1:100
Western Blot
1:500
Application Notes
Use in IHC-Fr reported in scientific literature (PMID:35891603).
Formulation, Preparation, and Storage
Purification
Immunogen affinity purified
Formulation
PBS (without Mg2+ and Ca2+), pH 7.4, 150 mM NaCl, 50% glycerol
Format
BSA Free
Preservative
0.02% Sodium Azide
Concentration
1.0 mg/ml
Shipping
The product is shipped with polar packs. Upon receipt, store it immediately at the temperature recommended below.
Stability & Storage
Store at -20C. Avoid freeze-thaw cycles.
Background: NFkB p105/p50
Alternate Names
DKFZp686C01211, DNA binding factor KBF1, DNA-binding factor KBF1, EBP-1, KBF1, NF-kappaB, NF-kappa-B, NF-kappabeta, NFKB-p105, NFKB-p50, nuclear factor kappa-B DNA binding subunit, nuclear factor NF-kappa-B p105 subunit, nuclear factor NF-kappa-B p50 subunit, nuclear factor of kappa light polypeptide gene enhancer in B-cells 1MGC54151, p105, p50
Gene Symbol
NFKB1
UniProt
Additional NFkB p105/p50 Products
Product Documents for NFkB p105/p50 [p Ser337] Antibody - BSA Free
Product Specific Notices for NFkB p105/p50 [p Ser337] Antibody - BSA Free
This product is for research use only and is not approved for use in humans or in clinical diagnosis. Primary Antibodies are guaranteed for 1 year from date of receipt.
Loading...
Loading...
Loading...
Loading...