Skip to main content

Neuroligin 4Y/NLGN4Y Antibody - BSA Free

Novus Biologicals, part of Bio-Techne | Catalog # NBP3-47333

Novus Biologicals, part of Bio-Techne
Catalog #
Availability
Size / Price
Qty
Loading...
NBP3-47333

Key Product Details

Species Reactivity

Human, Mouse, Rat

Applications

ELISA, Immunohistochemistry, Western Blot

Label

Unconjugated

Antibody Source

Polyclonal Rabbit IgG

Format

BSA Free

Concentration

Please see the vial label for concentration. If unlisted please contact technical services.

Product Specifications

Immunogen

neuroligin 4, Y-linked. (Uniprot# Q8NFZ3)

Clonality

Polyclonal

Host

Rabbit

Isotype

IgG

Theoretical MW

100 kDa.
Disclaimer note: The observed molecular weight of the protein may vary from the listed predicted molecular weight due to post translational modifications, post translation cleavages, relative charges, and other experimental factors.

Description

Novus Biologicals Rabbit Neuroligin 4Y/NLGN4Y Antibody - BSA Free (NBP3-47333) is a polyclonal antibody validated for use in IHC, WB and ELISA. All Novus Biologicals antibodies are covered by our 100% guarantee.

Scientific Data Images for Neuroligin 4Y/NLGN4Y Antibody - BSA Free

Neuroligin 4Y/NLGN4Y Antibody - BSA Free

Western Blot: Neuroligin 4Y/NLGN4Y Antibody - BSA Free [NBP3-47333] -

Western Blot: Neuroligin 4Y/NLGN4Y Antibody - BSA Free [NBP3-47333] - Mouse brain tissue were subjected to SDS PAGE followed by western blot with (Neuroligin 4Y/NLGN4Y antibody) at dilution of 1:1000
Neuroligin 4Y/NLGN4Y Antibody - BSA Free

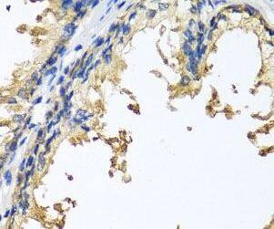
Immunohistochemistry: Neuroligin 4Y/NLGN4Y Antibody - BSA Free [NBP3-47333] -

Immunohistochemistry: Neuroligin 4Y/NLGN4Y Antibody - BSA Free [NBP3-47333] - Immunohistochemistry of paraffin-embedded human prostate using (Neuroligin 4Y/NLGN4Y antibody) at dilution of 1:100

Applications for Neuroligin 4Y/NLGN4Y Antibody - BSA Free

Application
Recommended Usage

Immunohistochemistry

1:50 - 1:100

Western Blot

1:500 - 1:2000

Formulation, Preparation, and Storage

Purification

Immunogen affinity purified

Formulation

PBS, 50% Glycerol, pH (7.3)

Format

BSA Free

Preservative

0.02% Sodium Azide

Concentration

Please see the vial label for concentration. If unlisted please contact technical services.

Shipping

The product is shipped with polar packs. Upon receipt, store it immediately at the temperature recommended below.

Stability & Storage

Store at -20C. Avoid freeze-thaw cycles.

Background: Neuroligin 4Y/NLGN4Y

Neuroligins, such as NLGN4Y, are cell adhesion molecules present at the postsynaptic side of the synapse and may be essential for the formation of functional synapses (Jamain et al., 2003 (PubMed 12669065)).(supplied by OMIM)

Long Name

Neuroligin 4, Y-Linked

Alternate Names

Neuroligin Y, NLGN4Y

Gene Symbol

NLGN4Y

Additional Neuroligin 4Y/NLGN4Y Products

Product Documents for Neuroligin 4Y/NLGN4Y Antibody - BSA Free

Certificate of Analysis

To download a Certificate of Analysis, please enter a lot number in the search box below.

Product Specific Notices for Neuroligin 4Y/NLGN4Y Antibody - BSA Free

This product is for research use only and is not approved for use in humans or in clinical diagnosis. Primary Antibodies are guaranteed for 1 year from date of receipt.

Loading...
Loading...
Loading...
Loading...