Skip to main content

Neprilysin/CD10 Antibody (OTI3D11) - Azide and BSA Free

Novus Biologicals, part of Bio-Techne | Catalog # NBP2-72941

Novus Biologicals, part of Bio-Techne

Key Product Details

Species Reactivity

Human, Mouse, Rat

Applications

Immunohistochemistry, Immunohistochemistry-Paraffin, Western Blot, Flow Cytometry

Label

Unconjugated

Antibody Source

Monoclonal Mouse IgG2A Clone # OTI3D11

Format

Azide and BSA Free

Concentration

LYOPH mg/ml

Product Specifications

Immunogen

Full length human recombinant protein of human MME(NP_009218) produced in HEK293T cell.

Reactivity Notes

Please note that this antibody is reactive to Mouse and derived from the same host, Mouse. Mouse-On-Mouse blocking reagent may be needed for IHC and ICC experiments to reduce high background signal. You can find these reagents under catalog numbers PK-2200-NB and MP-2400-NB. Please contact Technical Support if you have any questions.

Clonality

Monoclonal

Host

Mouse

Isotype

IgG2A

Theoretical MW

85.3 kDa.
Disclaimer note: The observed molecular weight of the protein may vary from the listed predicted molecular weight due to post translational modifications, post translation cleavages, relative charges, and other experimental factors.

Description

Novus Biologicals Mouse Neprilysin/CD10 Antibody (OTI3D11) - Azide and BSA Free (NBP2-45817) is a monoclonal antibody validated for use in IHC, WB and Flow. All Novus Biologicals antibodies are covered by our 100% guarantee.

Scientific Data Images for Neprilysin/CD10 Antibody (OTI3D11) - Azide and BSA Free

Western Blot: Neprilysin/CD10 Antibody (OTI3D11)Azide and BSA Free [NBP2-72941]

Western Blot: Neprilysin/CD10 Antibody (OTI3D11)Azide and BSA Free [NBP2-72941]

Western Blot: Neprilysin/CD10 Antibody (OTI3D11) - Azide and BSA Free [NBP2-72941] - EK293T cells were transfected with the pCMV6-ENTRY control (Cat# PS100001, Left lane) or pCMV6-ENTRY MME ( Right lane) cDNA for 48 hrs and lysed. Equivalent amounts of cell lysates (5 ug per lane) were separated by SDS-PAGE and immunoblotted with anti-MME 1:500).
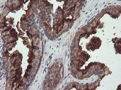
Immunohistochemistry-Paraffin: Neprilysin/CD10 Antibody (OTI3D11) - Azide and BSA Free [NBP2-72941]

Immunohistochemistry-Paraffin: Neprilysin/CD10 Antibody (OTI3D11) - Azide and BSA Free [NBP2-72941]

Immunohistochemistry-Paraffin: Neprilysin/CD10 Antibody (OTI3D11) - Azide and BSA Free [NBP2-72941] - Staining of Carcinoma of Human thyroid tissue using anti-MME mouse monoclonal antibody. (Heat-induced epitope retrieval by 10mM citric buffer, pH6.0, 100 degrees C for 10min.
Flow Cytometry: Neprilysin/CD10 Antibody (OTI3D11) - Azide and BSA Free [NBP2-72941]

Flow Cytometry: Neprilysin/CD10 Antibody (OTI3D11) - Azide and BSA Free [NBP2-72941]

Flow Cytometry: Neprilysin/CD10 Antibody (OTI3D11) - Azide and BSA Free [NBP2-72941] - analysis of living 293T cells transfected with MME overexpression plasmid .

Applications for Neprilysin/CD10 Antibody (OTI3D11) - Azide and BSA Free

Application
Recommended Usage

Immunohistochemistry

1:150

Immunohistochemistry-Paraffin

1:150

Western Blot

1:2000

Formulation, Preparation, and Storage

Purification

Immunogen affinity purified

Reconstitution

we recommend adding 100uL distilled water to a final antibody concentration of about 1 mg/mL. To use this carrier-free antibody for conjugation experiment, we strongly recommend performing another round of desalting process.

Formulation

Lyophilized from PBS (pH 7.3) with 8% Trehalose

Format

Azide and BSA Free

Preservative

No Preservative

Concentration

LYOPH mg/ml

Shipping

The product is shipped with polar packs. Upon receipt, store it immediately at the temperature recommended below.

Stability & Storage

Store at -20C. Avoid freeze-thaw cycles.

Background: Neprilysin/CD10

CD10, also known as the Common Acute Lymphocytic Leukemia Antigen (CALLA), is a cell surface enzyme with neutral metalloendopeptidase activity which inactivates a variety of biologically active peptides. CD10 is expressed on the cells of lymphoblastic, Burkitt's, and follicular germinal center lymphomas, immature B cells with in adult bone marrow and on cells from patients with chronic myelocytic leukemia (CML). CD10 is also present on breast myoepithelial cells, bile canaliculi, fibroblasts, with especially high expression on the brush border of kidney and gut epithelial cells.

Alternate Names

CALLA, CD10, Enkephalinase, Leu-19, MME, Neutral Endopeptidase 24.11, NKH1

Gene Symbol

MME

Additional Neprilysin/CD10 Products

Product Documents for Neprilysin/CD10 Antibody (OTI3D11) - Azide and BSA Free

Certificate of Analysis

To download a Certificate of Analysis, please enter a lot number in the search box below.

Product Specific Notices for Neprilysin/CD10 Antibody (OTI3D11) - Azide and BSA Free

This product is for research use only and is not approved for use in humans or in clinical diagnosis. Primary Antibodies are guaranteed for 1 year from date of receipt.

Loading...
Loading...
Loading...
Loading...
Loading...
Loading...