Skip to main content

Nephronectin Antibody - BSA Free

Novus Biologicals, part of Bio-Techne | Catalog # NBP1-83990

Novus Biologicals, part of Bio-Techne
Catalog #
Availability
Size / Price
Qty
Loading...
NBP1-83990
NBP1-83990-25ul

Key Product Details

Species Reactivity

Human

Applications

Immunohistochemistry, Immunohistochemistry-Paraffin

Label

Unconjugated

Antibody Source

Polyclonal Rabbit IgG

Format

BSA Free

Concentration

Concentrations vary lot to lot. See vial label for concentration. If unlisted please contact technical services.

Product Specifications

Immunogen

This antibody was developed against Recombinant Protein corresponding to amino acids: RQCVNTFGSYICKCHKGFDLMYIGGKYQCHDIDECSLGQYQCSSFARCYNVRGSYKCKCKEGYQGDGLTCVYIPKVMIEPSGPIHVPKGNGTILKGDTGNNNWIPDVGSTWWPPKTPYIPPIITNRPTSKPTTRPTPK

Reactivity Notes

Immunogen displays the following percentage of sequence identity for non-tested species: Mouse (83%)

Clonality

Polyclonal

Host

Rabbit

Isotype

IgG

Description

Novus Biologicals Rabbit Nephronectin Antibody - BSA Free (NBP1-83990) is a polyclonal antibody validated for use in IHC. All Novus Biologicals antibodies are covered by our 100% guarantee.

Scientific Data Images for Nephronectin Antibody - BSA Free

Immunohistochemistry-Paraffin: Nephronectin Antibody [NBP1-83990]

Immunohistochemistry-Paraffin: Nephronectin Antibody [NBP1-83990]

Immunohistochemistry-Paraffin: Nephronectin Antibody [NBP1-83990] - Staining of human liver shows very weak positivity in extracellular matrix in hepatocytes.
Immunohistochemistry-Paraffin: Nephronectin Antibody [NBP1-83990]

Immunohistochemistry-Paraffin: Nephronectin Antibody [NBP1-83990]

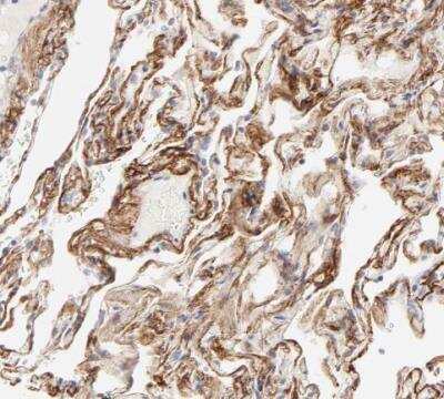
Immunohistochemistry-Paraffin: Nephronectin Antibody [NBP1-83990] - Staining of human lung shows moderate positivity in extracellular matrix pneumocytes.
Immunohistochemistry-Paraffin: Nephronectin Antibody [NBP1-83990]

Immunohistochemistry-Paraffin: Nephronectin Antibody [NBP1-83990]

Immunohistochemistry-Paraffin: Nephronectin Antibody [NBP1-83990] - Staining of human kidney shows moderate positivity in extracellular matrix in cells in glomeruli.

Applications for Nephronectin Antibody - BSA Free

Application
Recommended Usage

Immunohistochemistry

1:500 - 1:1000

Immunohistochemistry-Paraffin

1:500 - 1:1000
Application Notes
For IHC-Paraffin, HIER pH 6 retrieval is recommended.

Formulation, Preparation, and Storage

Purification

Immunogen affinity purified

Formulation

PBS (pH 7.2) and 40% Glycerol

Format

BSA Free

Preservative

0.02% Sodium Azide

Concentration

Concentrations vary lot to lot. See vial label for concentration. If unlisted please contact technical services.

Shipping

The product is shipped with polar packs. Upon receipt, store it immediately at the temperature recommended below.

Stability & Storage

Store at 4C short term. Aliquot and store at -20C long term. Avoid freeze-thaw cycles.

Background: Nephronectin

Nephronectin, also called POEM (preosteoblast EGF repeat protein with MAM domain) is a 70 - 90 kDa extracellular matrix protein that is a ligand for integrin alpha8beta1. Nephronectin is most highly expressed in developing endocrine organs such as parathyroid, thyroid, hypophysis and pineal organ, and around developing bone, teeth, and muscle. Pre-osteoblast cells produce nephronectin, but downregulate it as they differentiate. It is also expressed in the Wolffian duct and ureteric bud basement membranes in the developing kidney, where it is colocalizes, and forms an in vivo complex with integrin alpha8beta1. Since deletion of integrin alpha8beta1 results in renal agenesis, nephronectin has been proposed to be a critical integrin alpha8beta1 ligand during nephrogenesis.

The 561 aa mouse nephronectin (isoform B) contains a 19 amino acid (aa) signal sequence, a matrilin-type vWA domain, two calcium-binding EGF-like domains, a potential N-linked glycosylation site, a pro/ser/thr-rich mucin-like region, an RGD integrin binding motif, and a MAM domain. These features are often present in matrix proteins that, like nephronectin, mediate cell adhesion and spreading. Isoform A includes a 17 aa insertion between aa # 58 and 59 that is missing in Nephronectin isoform B. Mouse nephronectin shows 88%, 92%, 85% and 77% aa identity with human, rat, cow and opossum nephronectin, respectively.

Alternate Names

EGFL6L, Nctn, NPNT, POEM

Gene Symbol

NPNT

Additional Nephronectin Products

Product Documents for Nephronectin Antibody - BSA Free

Certificate of Analysis

To download a Certificate of Analysis, please enter a lot number in the search box below.

Product Specific Notices for Nephronectin Antibody - BSA Free

This product is for research use only and is not approved for use in humans or in clinical diagnosis. Primary Antibodies are guaranteed for 1 year from date of receipt.

Loading...
Loading...
Loading...
Loading...