Skip to main content

NEK9 Antibody - BSA Free

Novus Biologicals, part of Bio-Techne | Catalog # NBP1-88007

Novus Biologicals, part of Bio-Techne
Catalog #
Availability
Size / Price
Qty
Loading...
NBP1-88007
NBP1-88007-25ul

Key Product Details

Species Reactivity

Validated:

Human

Predicted:

Mouse (94%), Rat (97%). Backed by our 100% Guarantee.

Applications

Immunohistochemistry, Immunohistochemistry-Paraffin, Western Blot, Immunocytochemistry/ Immunofluorescence

Label

Unconjugated

Antibody Source

Polyclonal Rabbit IgG

Format

BSA Free

Concentration

Concentrations vary lot to lot. See vial label for concentration. If unlisted please contact technical services.

Product Specifications

Immunogen

This antibody was developed against Recombinant Protein corresponding to amino acids: VSCGDEFTIAATDDNHIFAWGNGGNGRLAMTPTERPHGSDICTSWPRPIFGSLHHVPDLSCRGWHTILIVEKVLNSKTIRSNSSGLSIGTVFQSSSPGGGGGGGGGEEEDSQQESETPDPSGGFRGTMEADRGMEGLISPTEAM

Clonality

Polyclonal

Host

Rabbit

Isotype

IgG

Scientific Data Images for NEK9 Antibody - BSA Free

Immunocytochemistry/ Immunofluorescence: NEK9 Antibody [NBP1-88007]

Immunocytochemistry/ Immunofluorescence: NEK9 Antibody [NBP1-88007]

Immunocytochemistry/Immunofluorescence: NEK9 Antibody [NBP1-88007] - Staining of human cell line U-2 OS shows localization to mitochondria. Antibody staining is shown in green.
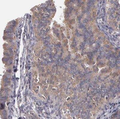
Immunohistochemistry-Paraffin: NEK9 Antibody [NBP1-88007]

Immunohistochemistry-Paraffin: NEK9 Antibody [NBP1-88007]

Immunohistochemistry-Paraffin: NEK9 Antibody [NBP1-88007] - Staining of human fallopian tube shows weak to moderate cytoplasmic positivity in glandular cells.
Immunohistochemistry-Paraffin: NEK9 Antibody [NBP1-88007]

Immunohistochemistry-Paraffin: NEK9 Antibody [NBP1-88007]

Immunohistochemistry-Paraffin: NEK9 Antibody [NBP1-88007] - Staining of human liver shows no positivity in hepatocytes as expected.

Applications for NEK9 Antibody - BSA Free

Application
Recommended Usage

Immunocytochemistry/ Immunofluorescence

0.25-2 ug/ml

Immunohistochemistry

1:50 - 1:200

Immunohistochemistry-Paraffin

1:50 - 1:200

Western Blot

0.04-0.4 ug/ml
Application Notes
For IHC-Paraffin, HIER pH 6 retrieval is recommended. Immunocytochemistry/Immunofluorescence Fixation Permeabilization: Use PFA/Triton X-100.

Formulation, Preparation, and Storage

Purification

Affinity purified

Formulation

PBS (pH 7.2) and 40% Glycerol

Format

BSA Free

Preservative

0.02% Sodium Azide

Concentration

Concentrations vary lot to lot. See vial label for concentration. If unlisted please contact technical services.

Shipping

The product is shipped with polar packs. Upon receipt, store it immediately at the temperature recommended below.

Stability & Storage

Store at 4C short term. Aliquot and store at -20C long term. Avoid freeze-thaw cycles.

Background: NEK9

Pleiotropic regulator of mitotic progression, participating in the control of spindle dynamics and chromosomeseparation. Phosphorylates different histones, myelin basic protein, beta-casein, and BICD2. Phosphorylates histone H3on serine and threonine residues and beta-casein on serine residues. Important for G1/S transition and S phaseprogression

Long Name

Serine/threonine-protein kinase Nek9

Alternate Names

KIAA1995, Nek8, NERCC, Nercc1 kinase

Gene Symbol

NEK9

Additional NEK9 Products

Product Documents for NEK9 Antibody - BSA Free

Certificate of Analysis

To download a Certificate of Analysis, please enter a lot number in the search box below.

Product Specific Notices for NEK9 Antibody - BSA Free

This product is for research use only and is not approved for use in humans or in clinical diagnosis. Primary Antibodies are guaranteed for 1 year from date of receipt.

Loading...
Loading...
Loading...
Loading...