Skip to main content

Necdin Antibody (OTI5D1)

Novus Biologicals, part of Bio-Techne | Catalog # NBP2-46117

Novus Biologicals, part of Bio-Techne

Key Product Details

Species Reactivity

Human

Applications

Immunohistochemistry, Immunohistochemistry-Paraffin, Western Blot, Immunocytochemistry/ Immunofluorescence

Label

Unconjugated

Antibody Source

Monoclonal Mouse IgG2A Clone # OTI5D1

Concentration

1 mg/ml

Product Specifications

Immunogen

Full length human recombinant protein of human NDN(NP_002478) produced in HEK293T cell.

Clonality

Monoclonal

Host

Mouse

Isotype

IgG2A

Theoretical MW

35.9 kDa.
Disclaimer note: The observed molecular weight of the protein may vary from the listed predicted molecular weight due to post translational modifications, post translation cleavages, relative charges, and other experimental factors.

Description

Novus Biologicals Mouse Necdin Antibody (OTI5D1) (NBP2-46117) is a monoclonal antibody validated for use in IHC, WB and ICC/IF. All Novus Biologicals antibodies are covered by our 100% guarantee.

Scientific Data Images for Necdin Antibody (OTI5D1)

Western Blot: Necdin Antibody (OTI5D1) [NBP2-46117]

Western Blot: Necdin Antibody (OTI5D1) [NBP2-46117]

Western Blot: Necdin Antibody (OTI5D1) [NBP2-46117] - Analysis of HEK293T cells were transfected with the pCMV6-ENTRY control (Left lane) or pCMV6-ENTRY Necdin.
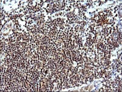
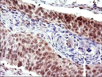
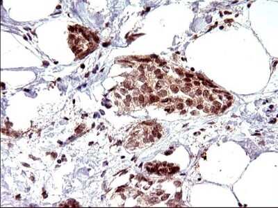
Immunohistochemistry: Necdin Antibody (OTI5D1) [NBP2-46117]

Immunohistochemistry: Necdin Antibody (OTI5D1) [NBP2-46117]

Immunohistochemistry: Necdin Antibody (OTI5D1) [NBP2-46117] - Analysis of Human lymphoma tissue. (Heat-induced epitope retrieval by 10mM citric buffer, pH6.0, 120C for 3min)
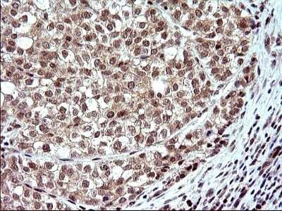
Immunohistochemistry: Necdin Antibody (OTI5D1) [NBP2-46117]

Immunohistochemistry: Necdin Antibody (OTI5D1) [NBP2-46117]

Immunohistochemistry: Necdin Antibody (OTI5D1) [NBP2-46117] - Analysis of Adenocarcinoma of Human breast tissue. (Heat-induced epitope retrieval by 10mM citric buffer, pH6.0, 120C for 3min)

Applications for Necdin Antibody (OTI5D1)

Application
Recommended Usage

Immunocytochemistry/ Immunofluorescence

1:100

Immunohistochemistry

1:150

Western Blot

1:4000

Formulation, Preparation, and Storage

Purification

Immunogen affinity purified

Formulation

PBS (pH 7.3), 1.0% BSA and 50% Glycerol

Preservative

0.02% Sodium Azide

Concentration

1 mg/ml

Shipping

The product is shipped with polar packs. Upon receipt, store it immediately at the temperature recommended below.

Stability & Storage

Store at -20C. Avoid freeze-thaw cycles.

Background: Necdin

Necdin is located in the Prader-Willi syndrome deletion region. It is an imprinted gene and is expressed exclusively from the paternal allele. Studies in mouse suggest that the protein encoded by this gene may suppress growth in postmitotic neurons.

Alternate Names

HsT16328, necdin, necdin (mouse) homolog, necdin homolog (mouse), PWCR

Gene Symbol

NDN

Additional Necdin Products

Product Documents for Necdin Antibody (OTI5D1)

Certificate of Analysis

To download a Certificate of Analysis, please enter a lot number in the search box below.

Product Specific Notices for Necdin Antibody (OTI5D1)

This product is for research use only and is not approved for use in humans or in clinical diagnosis. Primary Antibodies are guaranteed for 1 year from date of receipt.

Loading...
Loading...
Loading...
Loading...