Necdin Antibody (1B3) - Azide and BSA Free
Novus Biologicals, part of Bio-Techne | Catalog # H00004692-M02
Key Product Details
Species Reactivity
Human, Mouse
Applications
Immunohistochemistry, Immunohistochemistry-Paraffin, Western Blot, ELISA, Immunocytochemistry/ Immunofluorescence, Knockdown Validated
Label
Unconjugated
Antibody Source
Monoclonal Mouse IgG2a Kappa Clone # 1B3
Format
Azide and BSA Free
Concentration
Concentrations vary lot to lot. See vial label for concentration. If unlisted please contact technical services.
Product Specifications
Immunogen
NDN (NP_002478, 222 a.a. ~ 321 a.a) partial recombinant protein with GST tag. MW of the GST tag alone is 26 KDa. WKKHSTFGDVRKLITEEFVQMNYLKYQRVPYVEPPEYEFFWGSRASREITKMQIMEFLARVFKKDPQAWPSRYREALEEARALREANPTAHYPRSSVSED
Specificity
NDN - necdin homolog (mouse)
Clonality
Monoclonal
Host
Mouse
Isotype
IgG2a Kappa
Description
Quality control test: Antibody Reactive Against Recombinant Protein.
Scientific Data Images for Necdin Antibody (1B3) - Azide and BSA Free
Western Blot: Necdin Antibody (1B3) [H00004692-M02]
Western Blot: Necdin Antibody (1B3) [H00004692-M02] - Analysis of NDN expression in transfected 293T cell line by NDN monoclonal antibody (M02), clone 1B3.Lane 1: NDN transfected lysate(36.1 KDa).Lane 2: Non-transfected lysate.Immunocytochemistry/ Immunofluorescence: Necdin Antibody (1B3) [H00004692-M02]
Immunocytochemistry/Immunofluorescence: Necdin Antibody (1B3) [H00004692-M02] - Analysis of monoclonal antibody to NDN on HeLa cell. Antibody concentration 10 ug/ml.Immunohistochemistry-Paraffin: Necdin Antibody (1B3) [H00004692-M02]
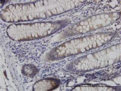
Immunohistochemistry-Paraffin: Necdin Antibody (1B3) [H00004692-M02] - Analysis of monoclonal antibody to NDN on formalin-fixed paraffin-embedded human colon. Antibody concentration 1.5 ug/ml.Applications for Necdin Antibody (1B3) - Azide and BSA Free
Application
Recommended Usage
Immunocytochemistry/ Immunofluorescence
1:10-1:500
Immunohistochemistry
1:10-1:500
Immunohistochemistry-Paraffin
1:10-1:500
Western Blot
1:500
Application Notes
Antibody reactivity against recominant protein and cell lysate for WB. It has been used for IF, IHC-P, RNAi Validation and ELISA.
Formulation, Preparation, and Storage
Purification
IgG purified
Formulation
In 1x PBS, pH 7.4
Format
Azide and BSA Free
Preservative
No Preservative
Concentration
Concentrations vary lot to lot. See vial label for concentration. If unlisted please contact technical services.
Shipping
The product is shipped with polar packs. Upon receipt, store it immediately at the temperature recommended below.
Stability & Storage
Aliquot and store at -20C or -80C. Avoid freeze-thaw cycles.
Background: Necdin
Alternate Names
HsT16328, necdin, necdin (mouse) homolog, necdin homolog (mouse), PWCR
Entrez Gene IDs
4692 (Human)
Gene Symbol
NDN
OMIM
176270 (Human)
UniProt
Additional Necdin Products
Product Documents for Necdin Antibody (1B3) - Azide and BSA Free
Product Specific Notices for Necdin Antibody (1B3) - Azide and BSA Free
This product is produced by and distributed for Abnova, a company based in Taiwan.
This product is for research use only and is not approved for use in humans or in clinical diagnosis. Primary Antibodies are guaranteed for 1 year from date of receipt.
Loading...
Loading...
Loading...
Loading...