NDUFS3 Antibody (JU10-32)
Novus Biologicals, part of Bio-Techne | Catalog # NBP2-75587
Recombinant Monoclonal Antibody.
Key Product Details
Species Reactivity
Human
Applications
Immunocytochemistry/ Immunofluorescence, Immunohistochemistry-Paraffin, Immunoprecipitation, Western Blot
Label
Unconjugated
Antibody Source
Recombinant Monoclonal Rabbit IgG Clone # JU10-32 expressed in HEK293
Concentration
1 mg/ml
Product Specifications
Immunogen
Synthetic peptide within Human NDUFS3 aa 215-264 / 264. (SwissProt: O75489 Human)
Localization
Mitochondrion inner membrane.
Clonality
Monoclonal
Host
Rabbit
Isotype
IgG
Theoretical MW
25 kDa.
Disclaimer note: The observed molecular weight of the protein may vary from the listed predicted molecular weight due to post translational modifications, post translation cleavages, relative charges, and other experimental factors.
Disclaimer note: The observed molecular weight of the protein may vary from the listed predicted molecular weight due to post translational modifications, post translation cleavages, relative charges, and other experimental factors.
Description
Novus Biologicals Rabbit NDUFS3 Antibody (JU10-32) (NBP2-75587) is a recombinant monoclonal antibody validated for use in IHC, WB, ICC/IF and IP. All Novus Biologicals antibodies are covered by our 100% guarantee.
Scientific Data Images for NDUFS3 Antibody (JU10-32)
Western Blot: NDUFS3 Antibody (JU10-32) [NBP2-75587]
Western Blot: NDUFS3 Antibody (JU10-32) [NBP2-75587] - Analysis of NDUFS3 on HepG2 cell using anti-NDUFS3 antibody at 1/500 dilution.Immunocytochemistry/ Immunofluorescence: NDUFS3 Antibody (JU10-32) [NBP2-75587]
Immunocytochemistry/Immunofluorescence: NDUFS3 Antibody (JU10-32) [NBP2-75587] - Staining NDUFS3 in MCF-7 cells (green). The nuclear counter stain is DAPI (blue). Cells were fixed in paraformaldehyde, permeabilised with 0.25% Triton X100/PBS.Immunohistochemistry-Paraffin: NDUFS3 Antibody (JU10-32) [NBP2-75587]
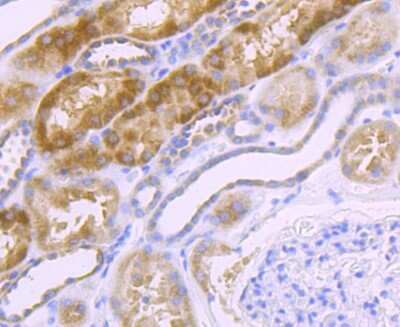
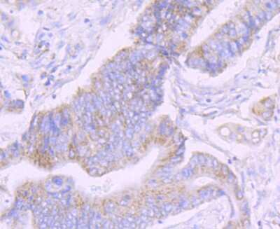
Immunohistochemistry-Paraffin: NDUFS3 Antibody (JU10-32) [NBP2-75587] - Analysis of paraffin-embedded human kidney cancer tissues using anti-NDUFS3 receptor 2 antibody. Counter stained with hematoxylin.Applications for NDUFS3 Antibody (JU10-32)
Application
Recommended Usage
Immunocytochemistry/ Immunofluorescence
1:50
Immunohistochemistry-Paraffin
1:50
Immunoprecipitation
1:10-1:50
Western Blot
1:500
Formulation, Preparation, and Storage
Purification
Protein A purified
Formulation
TBS (pH7.4), 0.05% BSA, 40% Glycerol
Preservative
0.05% Sodium Azide
Concentration
1 mg/ml
Shipping
The product is shipped with polar packs. Upon receipt, store it immediately at the temperature recommended below.
Stability & Storage
Store at 4C short term. Aliquot and store at -20C long term. Avoid freeze-thaw cycles.
Background: NDUFS3
Alternate Names
CI-30, CI-30kD, complex I 30kDa subunit, Complex I-30kD, EC 1.6.5.3, EC 1.6.99.3, EC 1.6.99.5, NADH dehydrogenase (ubiquinone) Fe-S protein 3 (30kD) (NADH-coenzyme Qreductase), NADH dehydrogenase (ubiquinone) Fe-S protein 3, 30kDa (NADH-coenzyme Qreductase), NADH dehydrogenase [ubiquinone] iron-sulfur protein 3, mitochondrial, NADH dehydrogenase-ubiquinone 30 kDa subunit, NADH-ubiquinone oxidoreductase 30 kDa subunit
Gene Symbol
NDUFS3
Additional NDUFS3 Products
Product Documents for NDUFS3 Antibody (JU10-32)
Product Specific Notices for NDUFS3 Antibody (JU10-32)
This product is for research use only and is not approved for use in humans or in clinical diagnosis. Primary Antibodies are guaranteed for 1 year from date of receipt.
Loading...
Loading...
Loading...
Loading...