NDUFS3 Antibody (2R6F5)
Novus Biologicals, part of Bio-Techne | Catalog # NBP3-16287
Recombinant Monoclonal Antibody
Key Product Details
Species Reactivity
Human, Mouse, Rat
Applications
Immunohistochemistry, Immunohistochemistry-Paraffin, Western Blot
Label
Unconjugated
Antibody Source
Recombinant Monoclonal Rabbit IgG Clone # 2R6F5 expressed in HEK293
Concentration
Please see the vial label for concentration. If unlisted please contact technical services.
Product Specifications
Immunogen
A synthetic peptide corresponding to a sequence within amino acids 165-264 of human NDUFS3 (O75489). WYEREIWDMFGVFFANHPDLRRILTDYGFEGHPFRKDFPLSGYVELRYDDEVKRVVAEPVELAQEFRKFDLNSPWEAFPVYRQPPESLKLEAGDKKPDAK
Clonality
Monoclonal
Host
Rabbit
Isotype
IgG
Description
Novus Biologicals Rabbit NDUFS3 Antibody (2R6F5) (NBP3-16287) is a recombinant monoclonal antibody validated for use in IHC and WB. All Novus Biologicals antibodies are covered by our 100% guarantee.
Scientific Data Images for NDUFS3 Antibody (2R6F5)
Western Blot: NDUFS3 Antibody (2R6F5) [NBP3-16287]
Western Blot: NDUFS3 Antibody (2R6F5) [NBP3-16287] - Western blot analysis of extracts of various cell lines, using NDUFS3 Rabbit mAb (NBP3-16287) at 1:1000 dilution. Secondary antibody: HRP Goat Anti-Rabbit IgG (H+L) at 1:10000 dilution. Lysates/proteins: 25ug per lane. Blocking buffer: 3% nonfat dry milk in TBST. Detection: ECL Basic Kit. Exposure time: 90s.Immunohistochemistry-Paraffin: NDUFS3 Antibody (2R6F5) [NBP3-16287]
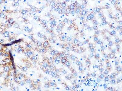
Immunohistochemistry-Paraffin: NDUFS3 Antibody (2R6F5) [NBP3-16287] - Immunohistochemistry of paraffin-embedded rat liver using NDUFS3 Rabbit mAb (NBP3-16287) at dilution of 1:100 (40x lens).Perform microwave antigen retrieval with 10 mM PBS buffer pH 7.2 before commencing with IHC staining protocol.Applications for NDUFS3 Antibody (2R6F5)
Application
Recommended Usage
Immunohistochemistry
1:50 - 1:200
Western Blot
1:500 - 1:1000
Formulation, Preparation, and Storage
Purification
Affinity purified
Formulation
PBS (pH 7.3), 50% glycerol, 0.05% BSA
Preservative
0.02% Sodium Azide
Concentration
Please see the vial label for concentration. If unlisted please contact technical services.
Shipping
The product is shipped with polar packs. Upon receipt, store it immediately at the temperature recommended below.
Stability & Storage
Store at -20C. Avoid freeze-thaw cycles.
Background: NDUFS3
Alternate Names
CI-30, CI-30kD, complex I 30kDa subunit, Complex I-30kD, EC 1.6.5.3, EC 1.6.99.3, EC 1.6.99.5, NADH dehydrogenase (ubiquinone) Fe-S protein 3 (30kD) (NADH-coenzyme Qreductase), NADH dehydrogenase (ubiquinone) Fe-S protein 3, 30kDa (NADH-coenzyme Qreductase), NADH dehydrogenase [ubiquinone] iron-sulfur protein 3, mitochondrial, NADH dehydrogenase-ubiquinone 30 kDa subunit, NADH-ubiquinone oxidoreductase 30 kDa subunit
Gene Symbol
NDUFS3
Additional NDUFS3 Products
Product Documents for NDUFS3 Antibody (2R6F5)
Product Specific Notices for NDUFS3 Antibody (2R6F5)
This product is for research use only and is not approved for use in humans or in clinical diagnosis. Primary Antibodies are guaranteed for 1 year from date of receipt.
Loading...
Loading...
Loading...
Loading...