Skip to main content

NDRG1 Antibody

Novus Biologicals, part of Bio-Techne | Catalog # NB300-839

Novus Biologicals, part of Bio-Techne
Catalog #
Availability
Size / Price
Qty
Loading...
NB300-839

Key Product Details

Species Reactivity

Human

Applications

Immunohistochemistry, Immunohistochemistry-Paraffin, Peptide ELISA, Western Blot

Label

Unconjugated

Antibody Source

Polyclonal Goat IgG

Concentration

0.5 mg/ml

Product Specifications

Immunogen

Peptide with sequence GNSAGPKSMEVSC corresponding to C-Terminus according to NP_006087.2, NP_001128714.1.

Specificity

The variants (NP_006087.2; NP_001128714.1) encode the same protein

Clonality

Polyclonal

Host

Goat

Isotype

IgG

Description

Novus Biologicals Goat NDRG1 Antibody (NB300-839) is a polyclonal antibody validated for use in IHC, WB and ELISA. Anti-NDRG1 Antibody: Cited in 1 publication. All Novus Biologicals antibodies are covered by our 100% guarantee.

Scientific Data Images for NDRG1 Antibody

Western Blot: NDRG1 Antibody [NB300-839]

Western Blot: NDRG1 Antibody [NB300-839]

Western Blot: NDRG1 Antibody [NB300-839] - (0.1ug/ml) staining of Human Kidney (A), Cerebellum (B) and Testis (C) lysate (35ug protein in RIPA buffer). Primary incubation was 1 hour. Detected by chemiluminescence.
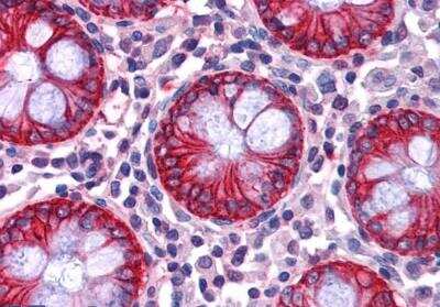
Immunohistochemistry-Paraffin: NDRG1 Antibody [NB300-839]

Immunohistochemistry-Paraffin: NDRG1 Antibody [NB300-839]

Immunohistochemistry-Paraffin: NDRG1 Antibody [NB300-839] - staining of paraffin embedded Human Prostate. Steamed antigen retrieval with citrate buffer pH 6, AP-staining.
Immunohistochemistry-Paraffin: NDRG1 Antibody [NB300-839]

Immunohistochemistry-Paraffin: NDRG1 Antibody [NB300-839]

Immunohistochemistry-Paraffin: NDRG1 Antibody [NB300-839] - (0.5ug/ml) staining of paraffin embedded Human hepatocelluar carcinoma. Data obtained from C. Furer, Visceral Surgery, University of Bern, Switzerland.

Applications for NDRG1 Antibody

Application
Recommended Usage

Immunohistochemistry

0.5 - 2 ug/ml

Immunohistochemistry-Paraffin

0.5-2 ug/ml

Peptide ELISA

detection limit 1:32000

Western Blot

0.1 - 0.3 ug/ml
Application Notes
WB: Approx 48kDa band observed in Human Kidney, and approx 50kDa band observed in Human Brain (Cerebellum) and Testis lysates (calculated MW of 42.8kDa according to NP_006087.2). IHC-P: Human hepatocelluar carcinoma shows strong labeling of membranes and weaker staining of cyrtoplasm. These observations are consistent with those obtained by different antibodies.

Formulation, Preparation, and Storage

Purification

Immunogen affinity purified

Formulation

Tris saline (20 mM Tris pH 7.3, 150 mM NaCl), 0.5% BSA

Preservative

0.02% Sodium Azide

Concentration

0.5 mg/ml

Shipping

The product is shipped with polar packs. Upon receipt, store it immediately at the temperature recommended below.

Stability & Storage

Store at -20C. Avoid freeze-thaw cycles.

Background: NDRG1

This gene is a member of the N-myc downregulated gene family which belongs to the alpha/beta hydrolase superfamily. The protein encoded by this gene is a cytoplasmic protein involved in stress responses, hormone responses, cell growth, and differentiation. Mutation in this gene has been reported to be causative for hereditary motor and sensory neuropathy-Lom. May have a growth inhibitory role. Ubiquitous; expressed most prominently in placental membranes and prostate, kidney, small intestine, and ovary tissues. Reduced expression in adenocarcinomas compared to normal tissues. In colon, prostate and placental membranes, the cells that border the lumen show the highest expression.

Long Name

N-myc Downstream Regulated Gene 1

Alternate Names

CAP43, CMT4D, DRG1, GC4, HMSNL, NMSL, PROXY1, RIT42, RTP, TARG1, TDD5

Entrez Gene IDs

10397 (Human); 17990 (Mouse)

Gene Symbol

NDRG1

Additional NDRG1 Products

Product Documents for NDRG1 Antibody

Certificate of Analysis

To download a Certificate of Analysis, please enter a lot number in the search box below.

Product Specific Notices for NDRG1 Antibody

This product is for research use only and is not approved for use in humans or in clinical diagnosis. Primary Antibodies are guaranteed for 1 year from date of receipt.

Loading...
Loading...
Loading...
Loading...