Skip to main content

NDRG1 Antibody (2C6K6)

Novus Biologicals, part of Bio-Techne | Catalog # NBP3-16321

Recombinant Monoclonal Antibody
Novus Biologicals, part of Bio-Techne
Catalog #
Availability
Size / Price
Qty
Loading...
NBP3-16321-100ul
NBP3-16321-20ul

Key Product Details

Species Reactivity

Human, Mouse, Rat

Applications

Immunohistochemistry, Immunohistochemistry-Paraffin, Western Blot

Label

Unconjugated

Antibody Source

Recombinant Monoclonal Rabbit IgG Clone # 2C6K6 expressed in HEK293

Concentration

Please see the vial label for concentration. If unlisted please contact technical services.

Product Specifications

Immunogen

A synthetic peptide corresponding to a sequence within amino acids 295-394 of human NDRG1 (Q92597). ISQPAKLAEAFKYFVQGMGYMPSASMTRLMRSRTASGSSVTSLDGTRSRSHTSEGTRSRSHTSEGTRSRSHTSEGAHLDITPNSGAAGNSAGPKSMEVSC

Clonality

Monoclonal

Host

Rabbit

Isotype

IgG

Description

Novus Biologicals Rabbit NDRG1 Antibody (2C6K6) (NBP3-16321) is a recombinant monoclonal antibody validated for use in IHC and WB. All Novus Biologicals antibodies are covered by our 100% guarantee.

Scientific Data Images for NDRG1 Antibody (2C6K6)

Western Blot: NDRG1 Antibody (2C6K6) [NBP3-16321]

Western Blot: NDRG1 Antibody (2C6K6) [NBP3-16321]

Western Blot: NDRG1 Antibody (2C6K6) [NBP3-16321] - Western blot analysis of extracts of various cell lines, using NDRG1 Rabbit mAb (NBP3-16321) at 1:1000 dilution. Secondary antibody: HRP Goat Anti-Rabbit IgG (H+L) at 1:10000 dilution. Lysates/proteins: 25ug per lane. Blocking buffer: 3% nonfat dry milk in TBST. Detection: ECL Basic Kit. Exposure time: 30s.
NDRG1 Antibody (2C6K6)

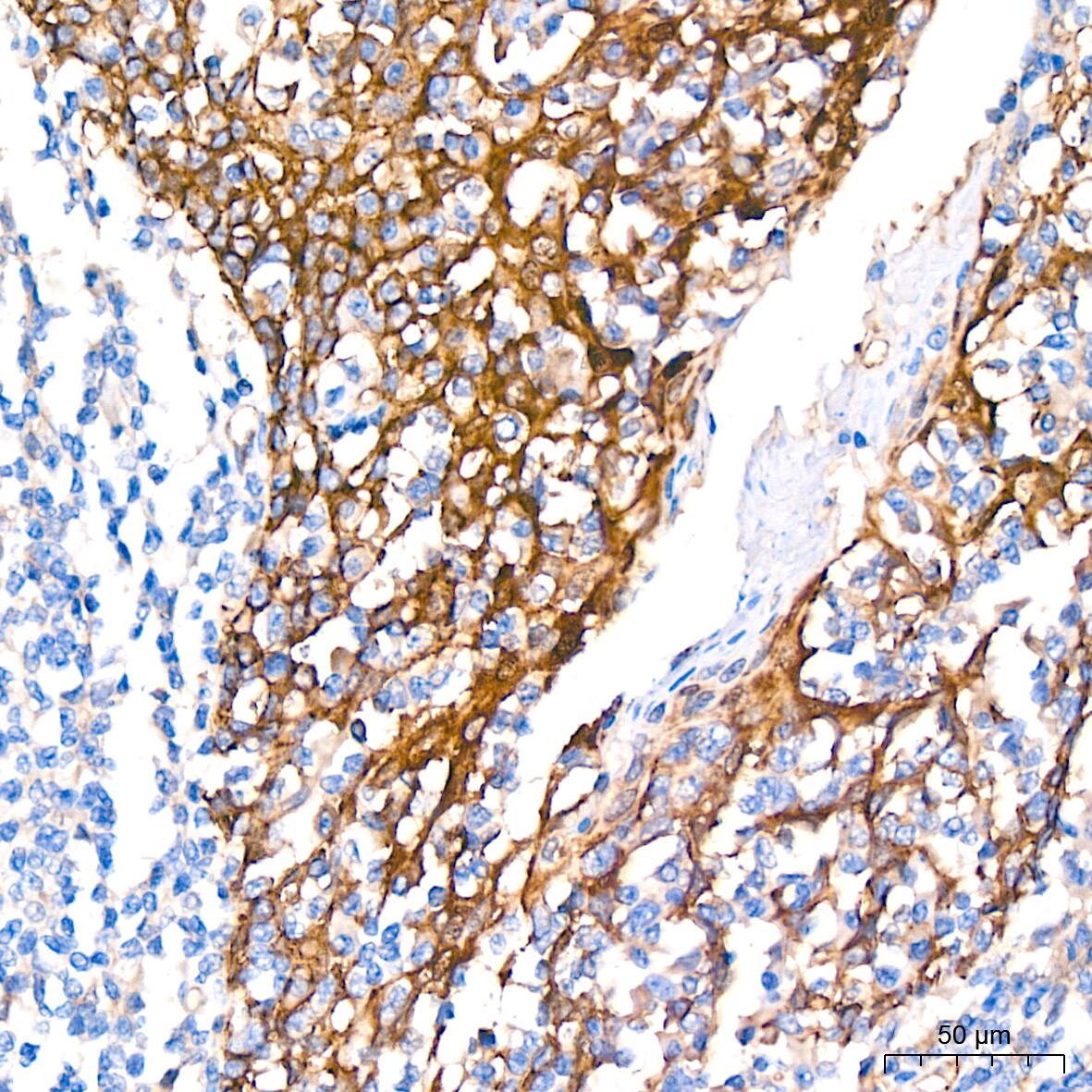
Immunohistochemistry: NDRG1 Antibody (2C6K6) [NBP3-16321] -

Immunohistochemistry: NDRG1 Antibody (2C6K6) [NBP3-16321] - Immunohistochemistry analysis of NDRG1 in paraffin-embedded human colon carcinoma tissue using NDRG1 Rabbit mAb at a dilution of 1:200 (40x lens).High pressure antigen retrieval was performed with 0.01 M citrate buffer (pH 6.0) prior to IHC staining.
NDRG1 Antibody (2C6K6)

Immunohistochemistry: NDRG1 Antibody (2C6K6) [NBP3-16321] -

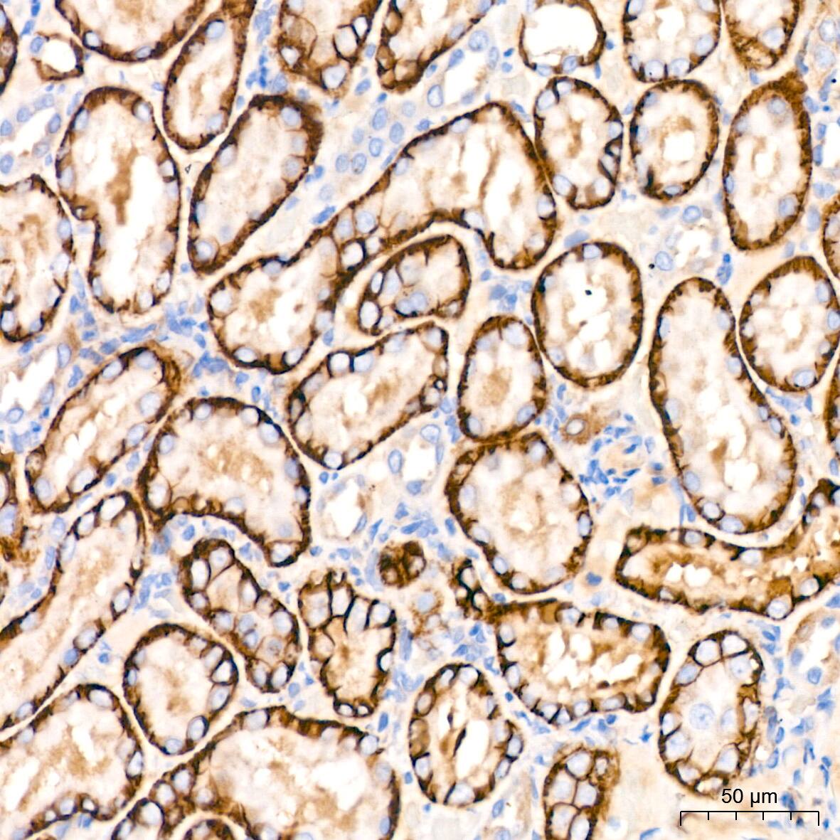
Immunohistochemistry: NDRG1 Antibody (2C6K6) [NBP3-16321] - Immunohistochemistry analysis of NDRG1 in paraffin-embedded mouse kidney tissue using NDRG1 Rabbit mAb at a dilution of 1:200 (40x lens).High pressure antigen retrieval was performed with 0.01 M citrate buffer (pH 6.0) prior to IHC staining.

Applications for NDRG1 Antibody (2C6K6)

Application
Recommended Usage

Immunohistochemistry

1:50 - 1:200

Western Blot

1:500 - 1:1000

Formulation, Preparation, and Storage

Purification

Affinity purified

Formulation

PBS (pH 7.3), 50% glycerol, 0.05% BSA

Preservative

0.02% Sodium Azide

Concentration

Please see the vial label for concentration. If unlisted please contact technical services.

Shipping

The product is shipped with polar packs. Upon receipt, store it immediately at the temperature recommended below.

Stability & Storage

Store at -20C. Avoid freeze-thaw cycles.

Background: NDRG1

NDRG1 is a member of the N-myc downregulated gene family which belongs to the alpha/beta hydrolase superfamily. The protein encoded by this gene is a cytoplasmic protein involved in stress responses, hormone responses, cell growth, and differentiation. Mutation in this gene has been reported to be causative for hereditary motor and sensory neuropathy-Lom.

Long Name

N-myc Downstream Regulated Gene 1

Alternate Names

CAP43, CMT4D, DRG1, GC4, HMSNL, NMSL, PROXY1, RIT42, RTP, TARG1, TDD5

Gene Symbol

NDRG1

Additional NDRG1 Products

Product Documents for NDRG1 Antibody (2C6K6)

Certificate of Analysis

To download a Certificate of Analysis, please enter a lot number in the search box below.

Product Specific Notices for NDRG1 Antibody (2C6K6)

This product is for research use only and is not approved for use in humans or in clinical diagnosis. Primary Antibodies are guaranteed for 1 year from date of receipt.

Loading...
Loading...
Loading...
Loading...