Skip to main content

NCOA2 Antibody - BSA Free

Novus Biologicals, part of Bio-Techne | Catalog # NBP3-03763

Novus Biologicals, part of Bio-Techne
Catalog #
Availability
Size / Price
Qty
Loading...
NBP3-03763-100ul
NBP3-03763-20ul

Key Product Details

Validated by

Knockout/Knockdown

Species Reactivity

Human, Rat

Applications

Knockout Validated, Immunohistochemistry, Immunohistochemistry-Paraffin, Western Blot

Label

Unconjugated

Antibody Source

Polyclonal Rabbit IgG

Format

BSA Free

Concentration

Please see the vial label for concentration. If unlisted please contact technical services.

Product Specifications

Immunogen

Recombinant fusion protein containing a sequence corresponding to amino acids 550-820 of human NCOA2 (NP_006531.1). SSLASPDLKMGNLQNSPVNMNPPPLSKMGSLDSKDCFGLYGEPSEGTTGQAESSCHPGEQKETNDPNLPPAVSSERADGQSRLHDSKGQTKLLQLLTTKSDQMEPSPLASSLSDTNKDSTGSLPGSGSTHGTSLKEKHKILHRLLQDSSSPVDLAKLTAEATGKDLSQESSSTAPGSEVTIKQEPVSPKKKENALLRYLLDKDDTKDIGLPEITPKLERLDSKTDPASNTKLIAMKTEKEEMSFEPGDQPGSELDNLEEILDDLQNSQLPQ

Clonality

Polyclonal

Host

Rabbit

Isotype

IgG

Theoretical MW

159 kDa.
Disclaimer note: The observed molecular weight of the protein may vary from the listed predicted molecular weight due to post translational modifications, post translation cleavages, relative charges, and other experimental factors.

Description

Novus Biologicals Knockout (KO) Validated Rabbit NCOA2 Antibody - BSA Free (NBP3-03763) is a polyclonal antibody validated for use in IHC and WB. All Novus Biologicals antibodies are covered by our 100% guarantee.

Scientific Data Images for NCOA2 Antibody - BSA Free

Western Blot: NCOA2 AntibodyBSA Free [NBP3-03763]

Western Blot: NCOA2 AntibodyBSA Free [NBP3-03763]

Western Blot: NCOA2 Antibody [NBP3-03763] - Analysis of extracts of various cell lines, using NCOA2 antibody at 1:1000 dilution. Secondary antibody: HRP Goat Anti-Rabbit IgG (H+L) at 1:10000 dilution. Lysates/proteins: 25ug per lane. Blocking buffer: 3% nonfat dry milk in TBST. Detection: ECL Basic Kit
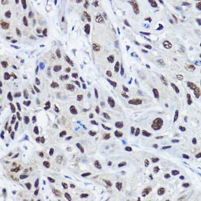
Immunohistochemistry-Paraffin: NCOA2 Antibody - BSA Free [NBP3-03763]

Immunohistochemistry-Paraffin: NCOA2 Antibody - BSA Free [NBP3-03763]

Immunohistochemistry-Paraffin: NCOA2 Antibody [NBP3-03763] - Human esophageal cancer using [KO Validated] NCOA2 Rabbit pAb (NBP3-03763) at dilution of 1:100 (40x lens). Perform high pressure antigen retrieval with 10 mM citrate buffer pH 6.0 before commencing with IHC staining protocol.
Immunohistochemistry-Paraffin: NCOA2 Antibody - BSA Free [NBP3-03763]

Immunohistochemistry-Paraffin: NCOA2 Antibody - BSA Free [NBP3-03763]

Immunohistochemistry-Paraffin: NCOA2 Antibody [NBP3-03763] - Rat lung using [KO Validated] NCOA2 Rabbit pAb (NBP3-03763) at dilution of 1:100 (40x lens). Perform high pressure antigen retrieval with 10 mM citrate buffer pH 6.0 before commencing with IHC staining protocol.

Applications for NCOA2 Antibody - BSA Free

Application
Recommended Usage

Immunohistochemistry

1:50-1:200

Western Blot

1:500-1:2000

Formulation, Preparation, and Storage

Purification

Affinity purified

Formulation

PBS (pH 7.3), 50% glycerol

Format

BSA Free

Preservative

0.02% Sodium Azide

Concentration

Please see the vial label for concentration. If unlisted please contact technical services.

Shipping

The product is shipped with polar packs. Upon receipt, store it immediately at the temperature recommended below.

Stability & Storage

Store at -20C. Avoid freeze-thaw cycles.

Background: NCOA2

Steroid and thyroid hormones and retinoic acid regulate a complex array of gene expression activity via intracellular receptor transcription factors belonging to the ligand dependent nuclear receptor superfamily. Adding to the complexity of function of these transcription factors are associated proteins known as coactivators and corepressors which, as their names suggest, enhance or depress transcriptional activity of the nuclear receptor with which they associate. One such coactivator is Steroid Receptor Coactivator-2 (SRC2).

Long Name

Nuclear Receptor Co-activator 2

Alternate Names

bHLHe75, HTIF2, KAT13C, TIF2

Gene Symbol

NCOA2

Additional NCOA2 Products

Product Documents for NCOA2 Antibody - BSA Free

Certificate of Analysis

To download a Certificate of Analysis, please enter a lot number in the search box below.

Product Specific Notices for NCOA2 Antibody - BSA Free

This product is for research use only and is not approved for use in humans or in clinical diagnosis. Primary Antibodies are guaranteed for 1 year from date of receipt.

Loading...
Loading...
Loading...
Loading...