Skip to main content

NBEAL1 Antibody - BSA Free

Novus Biologicals, part of Bio-Techne | Catalog # NBP2-33568

Novus Biologicals, part of Bio-Techne
Catalog #
Availability
Size / Price
Qty
Loading...
NBP2-33568
NBP2-33568-25ul

Key Product Details

Species Reactivity

Human

Applications

Immunohistochemistry, Immunohistochemistry-Paraffin, Western Blot

Label

Unconjugated

Antibody Source

Polyclonal Rabbit IgG

Format

BSA Free

Concentration

Concentrations vary lot to lot. See vial label for concentration. If unlisted please contact technical services.

Product Specifications

Immunogen

This antibody was developed against a recombinant protein corresponding to amino acids: TIPNLAISWEGHIVVYSSTEEKTTLKDKNALHLFSINGKYLGSQILKEQVSDICIIGEHIVTGSIQGFLSIRDLHSLNLSINPLAMRLPIHCVCVTKEYS

Reactivity Notes

Immunogen displays the following percentage of sequence identity for non-tested species: Mouse (82%), Rat (80%)

Clonality

Polyclonal

Host

Rabbit

Isotype

IgG

Description

Novus Biologicals Rabbit NBEAL1 Antibody - BSA Free (NBP2-33568) is a polyclonal antibody validated for use in IHC and WB. All Novus Biologicals antibodies are covered by our 100% guarantee.

Scientific Data Images for NBEAL1 Antibody - BSA Free

Western Blot: NBEAL1 Antibody [NBP2-33568]

Western Blot: NBEAL1 Antibody [NBP2-33568]

Western Blot: NBEAL1 Antibody [NBP2-33568] - Lane 1: Marker [kDa] 250, 130, 95, 72, 55, 36, 28, 17, 10. Lane 2: Human cell line RT-4. Lane 3: Human cell line U-251MG sp. Lane 4: Human plasma (IgG/HSA depleted). Lane 5: Human liver tissue. Lane 6: Human tonsil tissue
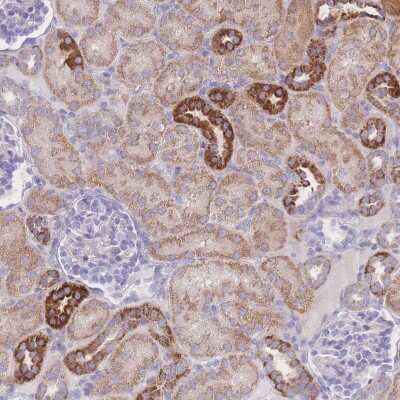
Immunohistochemistry-Paraffin: NBEAL1 Antibody [NBP2-33568]

Immunohistochemistry-Paraffin: NBEAL1 Antibody [NBP2-33568]

Immunohistochemistry-Paraffin: NBEAL1 Antibody [NBP2-33568] - Staining of human kidney shows strong cytoplasmic positivity in cells in tubules.

Applications for NBEAL1 Antibody - BSA Free

Application
Recommended Usage

Immunohistochemistry

1:50 - 1:200

Immunohistochemistry-Paraffin

1:50 - 1:200

Western Blot

0.04-0.4 ug/ml
Application Notes
For IHC-Paraffin, HIER pH 6 retrieval is recommended.

Formulation, Preparation, and Storage

Purification

Immunogen affinity purified

Formulation

PBS (pH 7.2) and 40% Glycerol

Format

BSA Free

Preservative

0.02% Sodium Azide

Concentration

Concentrations vary lot to lot. See vial label for concentration. If unlisted please contact technical services.

Shipping

The product is shipped with polar packs. Upon receipt, store it immediately at the temperature recommended below.

Stability & Storage

Store at 4C short term. Aliquot and store at -20C long term. Avoid freeze-thaw cycles.

Background: NBEAL1

Alternate Names

A530083I02Rik, ALS2CR16, ALS2CR17FLJ22838, amyotrophic lateral sclerosis 2 (juvenile) chromosome region, candidate 16, amyotrophic lateral sclerosis 2 (juvenile) chromosome region, candidate 17, Amyotrophic lateral sclerosis 2 chromosomal region candidate gene 16 protein, Amyotrophic lateral sclerosis 2 chromosomal region candidate gene 17 protein, beach, FLJ26555, MGC164581, MGC168834, neurobeachin-like 1, neurobeachin-like protein 1

Gene Symbol

NBEAL1

UniProt

Additional NBEAL1 Products

Product Documents for NBEAL1 Antibody - BSA Free

Certificate of Analysis

To download a Certificate of Analysis, please enter a lot number in the search box below.

Product Specific Notices for NBEAL1 Antibody - BSA Free

This product is for research use only and is not approved for use in humans or in clinical diagnosis. Primary Antibodies are guaranteed for 1 year from date of receipt.

Loading...
Loading...
Loading...
Loading...