Skip to main content

NAT8 Antibody (OTI5A8) - Azide and BSA Free

Novus Biologicals, part of Bio-Techne | Catalog # NBP2-72878

Novus Biologicals, part of Bio-Techne

Key Product Details

Species Reactivity

Human

Applications

Immunohistochemistry, Immunohistochemistry-Paraffin, Western Blot, Immunocytochemistry/ Immunofluorescence

Label

Unconjugated

Antibody Source

Monoclonal Mouse IgG1 Clone # OTI5A8

Format

Azide and BSA Free

Concentration

LYOPH mg/ml

Product Specifications

Immunogen

Full-length protein expressed in 293T cell transfected with human NAT8 expression vector

Clonality

Monoclonal

Host

Mouse

Isotype

IgG1

Theoretical MW

25.6 kDa.
Disclaimer note: The observed molecular weight of the protein may vary from the listed predicted molecular weight due to post translational modifications, post translation cleavages, relative charges, and other experimental factors.

Description

Novus Biologicals Mouse NAT8 Antibody (OTI5A8) - Azide and BSA Free (NBP1-47863) is a monoclonal antibody validated for use in IHC, WB and ICC/IF. All Novus Biologicals antibodies are covered by our 100% guarantee.

Scientific Data Images for NAT8 Antibody (OTI5A8) - Azide and BSA Free

Western Blot: NAT8 Antibody (OTI5A8)Azide and BSA Free [NBP2-72878]

Western Blot: NAT8 Antibody (OTI5A8)Azide and BSA Free [NBP2-72878]

Western Blot: NAT8 Antibody (OTI5A8) - Azide and BSA Free [NBP2-72878] - HEK293T cells were transfected with the pCMV6-ENTRY control (Left lane) or pCMV6-ENTRY NAT8 (Right lane) cDNA for 48 hrs and lysed. Equivalent amounts of cell lysates (5 ug per lane) were separated by SDS-PAGE and immunoblotted with anti-NAT8.
Immunocytochemistry/ Immunofluorescence: NAT8 Antibody (OTI5A8) - Azide and BSA Free [NBP2-72878]

Immunocytochemistry/ Immunofluorescence: NAT8 Antibody (OTI5A8) - Azide and BSA Free [NBP2-72878]

Immunocytochemistry/Immunofluorescence: NAT8 Antibody (OTI5A8) - Azide and BSA Free [NBP2-72878] - Staining of COS7 cells transiently transfected by pCMV6-ENTRY NAT8.
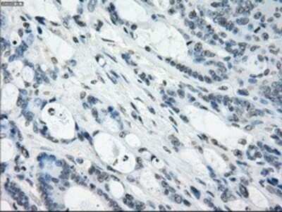
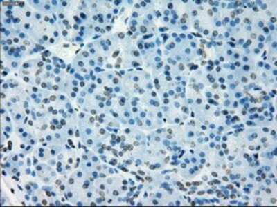
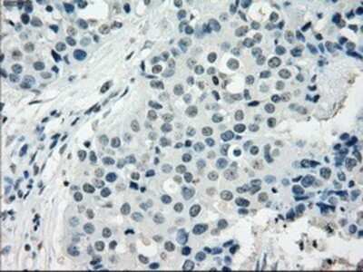
Immunohistochemistry: NAT8 Antibody (OTI5A8) - Azide and BSA Free [NBP2-72878]

Immunohistochemistry: NAT8 Antibody (OTI5A8) - Azide and BSA Free [NBP2-72878]

Immunohistochemistry: NAT8 Antibody (OTI5A8) - Azide and BSA Free [NBP2-72878] - Staining of paraffin-embedded Ovary tissue using anti-NAT8 mouse monoclonal antibody.

Applications for NAT8 Antibody (OTI5A8) - Azide and BSA Free

Application
Recommended Usage

Immunocytochemistry/ Immunofluorescence

1:100

Immunohistochemistry

1:50

Western Blot

1:500

Formulation, Preparation, and Storage

Purification

Immunogen affinity purified

Reconstitution

we recommend adding 100uL distilled water to a final antibody concentration of about 1 mg/mL. To use this carrier-free antibody for conjugation experiment, we strongly recommend performing another round of desalting process.

Formulation

Lyophilized from PBS (pH 7.3) with 8% Trehalose

Format

Azide and BSA Free

Preservative

No Preservative

Concentration

LYOPH mg/ml

Shipping

The product is shipped with polar packs. Upon receipt, store it immediately at the temperature recommended below.

Stability & Storage

Store at -20C. Avoid freeze-thaw cycles.

Background: NAT8

The NAT8 gene, isolated using the differential display method to detect tissue-specific genes, is specifically expressed in kidney and liver. The encoded protein shows amino acid sequence similarity to N-acetyltransferases. A similar protein in Xenopus affect

Alternate Names

Camello-like protein 1, CML1, EC 2.3.1, EC 2.3.1.-, GLAkidney- and liver-specific gene product, Hcml1, N-acetyltransferase 8, N-acetyltransferase 8 (GCN5-related, putative), probable N-acetyltransferase 8, TSC501N-acetyltransferase 8 (camello like), TSC510

Gene Symbol

NAT8

Additional NAT8 Products

Product Documents for NAT8 Antibody (OTI5A8) - Azide and BSA Free

Certificate of Analysis

To download a Certificate of Analysis, please enter a lot number in the search box below.

Product Specific Notices for NAT8 Antibody (OTI5A8) - Azide and BSA Free

This product is for research use only and is not approved for use in humans or in clinical diagnosis. Primary Antibodies are guaranteed for 1 year from date of receipt.

Loading...
Loading...
Loading...
Loading...
Loading...