NAT10 Antibody - BSA Free
Novus Biologicals, part of Bio-Techne | Catalog # NBP2-32263
Conjugate
Catalog #
Key Product Details
Validated by
Independent Antibodies, Biological Validation
Species Reactivity
Human, Mouse
Applications
Immunohistochemistry, Western Blot, Immunoprecipitation
Label
Unconjugated
Antibody Source
Polyclonal Rabbit IgG
Format
BSA Free
Concentration
1.0 mg/ml
Product Specifications
Immunogen
The immunogen this antibody was made to, maps to a region between residue 650 to 700 of human N-acetyltransferase 10 using the numbering given in entry NP_078938.2 (GeneID 55226).
Clonality
Polyclonal
Host
Rabbit
Isotype
IgG
Description
Novus Biologicals Rabbit NAT10 Antibody - BSA Free (NBP2-32263) is a polyclonal antibody validated for use in IHC, WB and IP. All Novus Biologicals antibodies are covered by our 100% guarantee.
Scientific Data Images for NAT10 Antibody - BSA Free
Western Blot: NAT10 Antibody [NBP2-32263]
Western Blot: NAT10 Antibody [NBP2-32263] - Samples: Whole cell lysate (50 ug) prepared using NETN buffer from HeLa, 293T, Jurkat, mouse TCMK-1, and mouse NIH3T3 cells. Antibodies: Affinity purified rabbit anti-NAT10 antibody NBP2-32263 used for WB at 0.04 ug/ml. Detection: Chemiluminescence with an exposure time of 3 minutes.Immunohistochemistry: NAT10 Antibody [NBP2-32263]
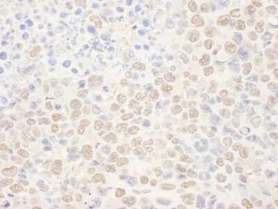
Immunohistochemistry: NAT10 Antibody [NBP2-32263] - Sample: FFPE section of mouse plasmacytoma. Antibody: Affinity purified rabbit anti- NAT10 used at a dilution of 1:1,000 (1ug/ml). Detection: DAB. Counterstain: IHC Hematoxylin (blue).Immunohistochemistry: NAT10 Antibody [NBP2-32263]
Immunohistochemistry: NAT10 Antibody [NBP2-32263] - Sample: FFPE section of human ovarian carcinoma. Antibody: Affinity purified rabbit anti- NAT10 used at a dilution of 1:1,000 (1ug/ml). Detection: DAB. Counterstain: IHC Hematoxylin (blue).Applications for NAT10 Antibody - BSA Free
Application
Recommended Usage
Immunoprecipitation
2 - 10 ug/mg lysate
Western Blot
1:10000 - 1:25000
Formulation, Preparation, and Storage
Purification
Immunogen affinity purified
Formulation
Tris-Citrate/Phosphate (pH 7.0 - 8.0)
Format
BSA Free
Preservative
0.09% Sodium Azide
Concentration
1.0 mg/ml
Shipping
The product is shipped with polar packs. Upon receipt, store it immediately at the temperature recommended below.
Stability & Storage
Store at 4C. Do not freeze.
Background: NAT10
Long Name
RNA cytidine acetyltransferase
Alternate Names
ALP, EC 2.3.1.-, hALP, KIAA1709
Gene Symbol
NAT10
UniProt
Additional NAT10 Products
Product Documents for NAT10 Antibody - BSA Free
Product Specific Notices for NAT10 Antibody - BSA Free
This product is for research use only and is not approved for use in humans or in clinical diagnosis. Primary Antibodies are guaranteed for 1 year from date of receipt.
Loading...
Loading...
Loading...
Loading...