NAT10 Antibody
Novus Biologicals, part of Bio-Techne | Catalog # NBP2-15034
Key Product Details
Species Reactivity
Human
Applications
Immunohistochemistry, Immunohistochemistry-Paraffin, Western Blot, Immunocytochemistry/ Immunofluorescence
Label
Unconjugated
Antibody Source
Polyclonal Rabbit IgG
Concentration
Concentrations vary lot to lot. See vial label for concentration. If unlisted please contact technical services.
Product Specifications
Immunogen
Recombinant protein encompassing a sequence within the N-terminus region of human NAT10. The exact sequence is proprietary.
Clonality
Polyclonal
Host
Rabbit
Isotype
IgG
Theoretical MW
116 kDa.
Disclaimer note: The observed molecular weight of the protein may vary from the listed predicted molecular weight due to post translational modifications, post translation cleavages, relative charges, and other experimental factors.
Disclaimer note: The observed molecular weight of the protein may vary from the listed predicted molecular weight due to post translational modifications, post translation cleavages, relative charges, and other experimental factors.
Description
Novus Biologicals Rabbit NAT10 Antibody (NBP2-15034) is a polyclonal antibody validated for use in IHC, WB and ICC/IF. All Novus Biologicals antibodies are covered by our 100% guarantee.
Scientific Data Images for NAT10 Antibody
Western Blot: NAT10 Antibody [NBP2-15034]
Western Blot: NAT10 Antibody [NBP2-15034] - Sample (30 ug of whole cell lysate) A: MCF-7 7.5% SDS PAGE; antibody diluted at 1:1000.Immunocytochemistry/ Immunofluorescence: NAT10 Antibody [NBP2-15034]
Immunocytochemistry/Immunofluorescence: NAT10 Antibody [NBP2-15034] - Paraformaldehyde-fixed MCF-7, using antibody at 1:200 dilution.Immunohistochemistry-Paraffin: NAT10 Antibody [NBP2-15034]
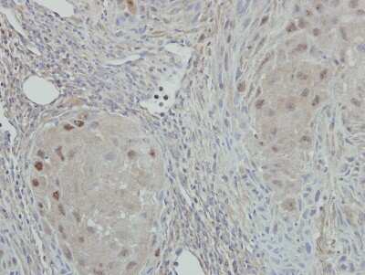
Immunohistochemistry-Paraffin: NAT10 Antibody [NBP2-15034] - Paraffin-embedded SCC4 xenograft, using antibody at 1:500 dilution.Applications for NAT10 Antibody
Application
Recommended Usage
Immunocytochemistry/ Immunofluorescence
1:100-1:1000
Immunohistochemistry
1:100-1:1000
Immunohistochemistry-Paraffin
1:100-1:1000
Western Blot
1:500-1:3000
Formulation, Preparation, and Storage
Purification
Antigen Affinity-purified
Formulation
PBS, 1% BSA, 20% Glycerol
Preservative
0.01% Thimerosal
Concentration
Concentrations vary lot to lot. See vial label for concentration. If unlisted please contact technical services.
Shipping
The product is shipped with polar packs. Upon receipt, store it immediately at the temperature recommended below.
Stability & Storage
Aliquot and store at -20C or -80C. Avoid freeze-thaw cycles.
Background: NAT10
Long Name
RNA cytidine acetyltransferase
Alternate Names
ALP, EC 2.3.1.-, hALP, KIAA1709
Gene Symbol
NAT10
UniProt
Additional NAT10 Products
Product Documents for NAT10 Antibody
Product Specific Notices for NAT10 Antibody
This product is for research use only and is not approved for use in humans or in clinical diagnosis. Primary Antibodies are guaranteed for 1 year from date of receipt.
Loading...
Loading...
Loading...
Loading...
⚠ WARNING: This product can expose you to chemicals including mercury, which is known to the State of California to cause reproductive toxicity with developmental effects. For more information go to www.P65Warnings.ca.gov.