Skip to main content

NAT1 Antibody - BSA Free

Novus Biologicals, part of Bio-Techne | Catalog # NBP2-13641

Novus Biologicals, part of Bio-Techne
Catalog #
Availability
Size / Price
Qty
Loading...
NBP2-13641
NBP2-13641-25ul

Key Product Details

Species Reactivity

Human

Applications

Immunohistochemistry, Immunohistochemistry-Paraffin

Label

Unconjugated

Antibody Source

Polyclonal Rabbit IgG

Format

BSA Free

Concentration

Concentrations vary lot to lot. See vial label for concentration. If unlisted please contact technical services.

Product Specifications

Immunogen

This antibody was developed against Recombinant Protein corresponding to amino acids: SRNKLDLETLTDILQHQIRAVPFENLN

Reactivity Notes

Immunogen displays the following percentage of sequence identity for non-tested species: Mouse (85%), Rat (89%)

Clonality

Polyclonal

Host

Rabbit

Isotype

IgG

Description

Novus Biologicals Rabbit NAT1 Antibody - BSA Free (NBP2-13641) is a polyclonal antibody validated for use in IHC. All Novus Biologicals antibodies are covered by our 100% guarantee.

Scientific Data Images for NAT1 Antibody - BSA Free

Immunohistochemistry-Paraffin: NAT1 Antibody [NBP2-13641]

Immunohistochemistry-Paraffin: NAT1 Antibody [NBP2-13641]

Immunohistochemistry-Paraffin: NAT1 Antibody [NBP2-13641] Staining of human liver shows strong cytoplasmic positivity in hepatocytes.
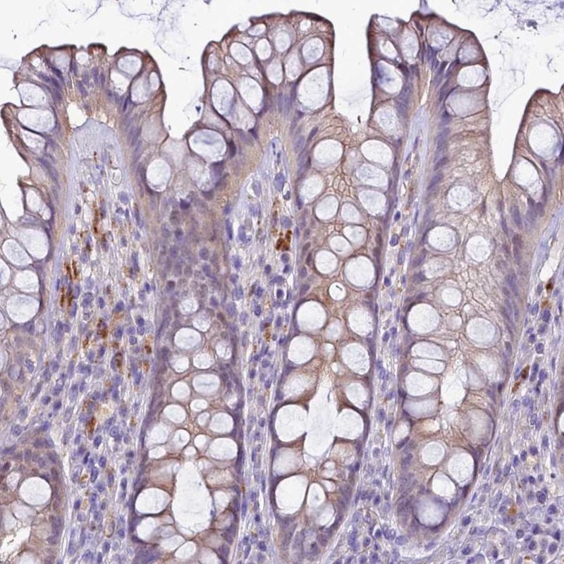
NAT1 Antibody - BSA Free Immunohistochemistry: NAT1 Antibody - BSA Free [NBP2-13641]

Immunohistochemistry: NAT1 Antibody - BSA Free [NBP2-13641]

Staining of human rectum shows moderate cytoplasmic positivity in glandular cells.

Applications for NAT1 Antibody - BSA Free

Application
Recommended Usage

Immunohistochemistry

1:2500 - 1:5000

Immunohistochemistry-Paraffin

1:2500 - 1:5000
Application Notes
For IHC-Paraffin, HIER pH 6 retrieval is recommended.

Formulation, Preparation, and Storage

Purification

Affinity purified

Formulation

PBS (pH 7.2) and 40% Glycerol

Format

BSA Free

Preservative

0.02% Sodium Azide

Concentration

Concentrations vary lot to lot. See vial label for concentration. If unlisted please contact technical services.

Shipping

The product is shipped with polar packs. Upon receipt, store it immediately at the temperature recommended below.

Stability & Storage

Store at 4C short term. Aliquot and store at -20C long term. Avoid freeze-thaw cycles.

Background: NAT1

NAT1 is a gene that codes for a protein that helps in the detoxification of various hydrazine and arylamine drugs as well as to bioactivate several carcinogens and is 290 amino acids long with a weight of approximately 34 kDa. Current studies are being done on several diseases and disorders related to this gene including neural tube defect, drug-induced hepatitis, talipes equinovarus, spina bifida, multiple chemical sensitivity, malignant pleural mesothelioma, non-Hodgkin lymphoma, cleft palate, familial adenomatous polyposis, substance abuse, orofacial cleft, peptic ulcer, lymphoblastic leukemia, systemic lupus erythematosus, cystic fibrosis, lupus erythematosus, Hodgkin's lymphoma, inflammatory bowel disease, and motor neuron disease. NAT1 has also been shown to have interactions with NAA10, SNTA1, SYP1A2, CYP2A6, and XDH in pathways such as the arylamine metabolism, acetylation, and drug metabolism pathways.

Alternate Names

AAC1N-acetyltransferase type 1, Arylamide acetylase 1, arylamine N-acetyltransferase 1, EC 2.3.1.5, MNAT, Monomorphic arylamine N-acetyltransferase, N-acetyltransferase 1 (arylamine N-acetyltransferase), NAT-1, NATI

Gene Symbol

NAT1

Additional NAT1 Products

Product Documents for NAT1 Antibody - BSA Free

Certificate of Analysis

To download a Certificate of Analysis, please enter a lot number in the search box below.

Product Specific Notices for NAT1 Antibody - BSA Free

This product is for research use only and is not approved for use in humans or in clinical diagnosis. Primary Antibodies are guaranteed for 1 year from date of receipt.

Loading...
Loading...
Loading...
Loading...