Skip to main content

NASP Antibody - BSA Free

Novus Biologicals, part of Bio-Techne | Catalog # NBP3-38352

Novus Biologicals, part of Bio-Techne
Catalog #
Availability
Size / Price
Qty
Loading...
NBP3-38352-20ul
NBP3-38352-100ul

Key Product Details

Species Reactivity

Human, Mouse, Rat

Applications

Immunohistochemistry, Immunohistochemistry-Paraffin, Western Blot, ELISA

Label

Unconjugated

Antibody Source

Polyclonal Rabbit IgG

Format

BSA Free

Concentration

Please see the vial label for concentration. If unlisted please contact technical services.

Product Specifications

Immunogen

Recombinant fusion protein containing a sequence corresponding to amino acids 180-449 of human NASP (NP_689511.2).

Sequence:
WDMLDLAKIIFKRQETKEAQLYAAQAHLKLGEVSVESENYVQAVEEFQSCLNLQEQYLEAHDRLLAETHYQLGLAYGYNSQYDEAVAQFSKSIEVIENRMAVLNEQVKEAEGSSAEYKKEIEELKELLPEIREKIEDAKESQRSGNVAELALKATLVESSTSGFTPGGGGSSVSMIASRKPTDGASSSNCVTDISHLVRKKRKPEEESPRKDDAKKAKQEPEVNGGSGDAVPSGNEVSENMEEEAENQAESRAAVEGTVEAGATVESTAC

Clonality

Polyclonal

Host

Rabbit

Isotype

IgG

Theoretical MW

85 kDa.
Disclaimer note: The observed molecular weight of the protein may vary from the listed predicted molecular weight due to post translational modifications, post translation cleavages, relative charges, and other experimental factors.

Description

Novus Biologicals Rabbit NASP Antibody - BSA Free (NBP3-38352) is a polyclonal antibody validated for use in IHC, WB and ELISA. All Novus Biologicals antibodies are covered by our 100% guarantee.

Scientific Data Images for NASP Antibody - BSA Free

NASP Antibody

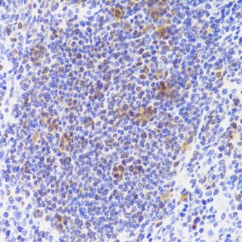
Immunohistochemistry: NASP Antibody [NBP3-38352] -

Immunohistochemistry: NASP Antibody [NBP3-38352] - Immunohistochemistry analysis of paraffin-embedded Rat spleen using NASP Rabbit pAb at dilution of 1:100 (40x lens). Microwave antigen retrieval performed with 0.01M PBS Buffer (pH 7.2) prior to IHC staining.
NASP Antibody

Western Blot: NASP Antibody [NBP3-38352] -

Western Blot: NASP Antibody [NBP3-38352] - Western blot analysis of various lysates using NASP Rabbit pAb at 1:1000 dilution.
Secondary antibody: HRP-conjugated Goat anti-Rabbit IgG (H+L) at 1:10000 dilution.
Lysates/proteins: 25ug per lane.
Blocking buffer: 3% nonfat dry milk in TBST.
Detection: ECL Basic Kit.
Exposure time: 90s.
NASP Antibody

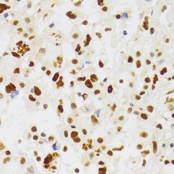
Immunohistochemistry: NASP Antibody [NBP3-38352] -

Immunohistochemistry: NASP Antibody [NBP3-38352] - Immunohistochemistry analysis of paraffin-embedded Mouse spleen using NASP Rabbit pAb at dilution of 1:100 (40x lens). Microwave antigen retrieval performed with 0.01M PBS Buffer (pH 7.2) prior to IHC staining.

Applications for NASP Antibody - BSA Free

Application
Recommended Usage

Immunohistochemistry-Paraffin

1:50 - 1:200

Western Blot

1:500 - 1:2000

Formulation, Preparation, and Storage

Purification

Affinity purified

Formulation

PBS (pH 7.3), 50% glycerol

Format

BSA Free

Preservative

0.02% Sodium Azide

Concentration

Please see the vial label for concentration. If unlisted please contact technical services.

Shipping

The product is shipped with polar packs. Upon receipt, store it immediately at the temperature recommended below.

Stability & Storage

Store at -20C. Avoid freeze-thaw cycles.

Background: NASP

NASP is required for DNA replication, normal cell cycle progression, and cell proliferation. It forms a cytoplasmic complex with HSP90 and H1 linker histones and stimulates HSP90 ATPase activity. NASP and H1 histone are subsequently released from the complex and translocate to the nucleus where the histone is released for binding to DNA.

Alternate Names

DKFZp547F162, FLB7527, FLJ31599, FLJ35510, histone H1-binding protein, MGC19722, MGC20372, MGC2297, nuclear autoantigenic sperm protein, nuclear autoantigenic sperm protein (histone-binding), PRO1999

Gene Symbol

NASP

Additional NASP Products

Product Documents for NASP Antibody - BSA Free

Certificate of Analysis

To download a Certificate of Analysis, please enter a lot number in the search box below.

Product Specific Notices for NASP Antibody - BSA Free

This product is for research use only and is not approved for use in humans or in clinical diagnosis. Primary Antibodies are guaranteed for 1 year from date of receipt.

Loading...
Loading...
Loading...
Loading...