Skip to main content

NASP Antibody - BSA Free

Novus Biologicals, part of Bio-Techne | Catalog # NBP1-52914

Novus Biologicals, part of Bio-Techne
Catalog #
Availability
Size / Price
Qty
Loading...
NBP1-52914

Key Product Details

Species Reactivity

Human

Applications

Immunohistochemistry, Immunohistochemistry-Paraffin, Western Blot

Label

Unconjugated

Antibody Source

Polyclonal Rabbit IgG

Format

BSA Free

Concentration

0.5 mg/ml

Product Specifications

Immunogen

Synthetic peptides corresponding to NASP(nuclear autoantigenic sperm protein (histone-binding)) The peptide sequence was selected from the middle region of NASP. Peptide sequence KEAEGSSAEYKKEIEELKELLPEIREKIEDAKESQRSGNVAELALKATLV. The peptide sequence for this immunogen was taken from within the described region.

Clonality

Polyclonal

Host

Rabbit

Isotype

IgG

Theoretical MW

49 kDa.
Disclaimer note: The observed molecular weight of the protein may vary from the listed predicted molecular weight due to post translational modifications, post translation cleavages, relative charges, and other experimental factors.

Description

The addition of 50% glycerol is optional for those storing this antibody at -20C and not aliquoting smaller units. However, please note that glycerol may interrupt some downstream antibody applications and should be added with caution.

Scientific Data Images for NASP Antibody - BSA Free

Western Blot: NASP Antibody [NBP1-52914]

Western Blot: NASP Antibody [NBP1-52914]

Western Blot: NASP Antibody [NBP1-52914] - Antibody Titration: 0.2-1 ug/ml ELISA Titer: 1 : 312500 Positive control: HepG2 cell lysate NASP is strongly supported by BioGPS gene expression data to be expressed in Human HepG2 cells.
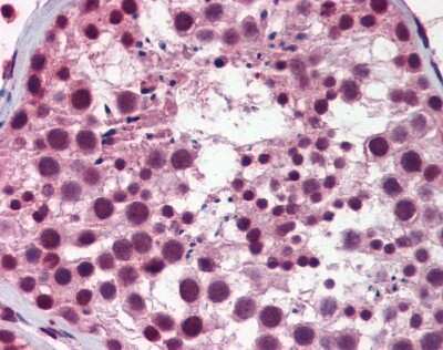
Immunohistochemistry-Paraffin: NASP Antibody [NBP1-52914]

Immunohistochemistry-Paraffin: NASP Antibody [NBP1-52914]

Immunohistochemistry-Paraffin: NASP Antibody [NBP1-52914] - Human Testis Tissue, 4-8ug/ml.

Applications for NASP Antibody - BSA Free

Application
Recommended Usage

Immunohistochemistry

1:10-1:500

Immunohistochemistry-Paraffin

1:10-1:500

Western Blot

1.0 ug/ml

Formulation, Preparation, and Storage

Purification

Affinity purified

Formulation

PBS, 2% Sucrose

Format

BSA Free

Preservative

0.09% Sodium Azide

Concentration

0.5 mg/ml

Shipping

The product is shipped with polar packs. Upon receipt, store it immediately at the temperature recommended below.

Stability & Storage

Store at 4C short term. Aliquot and store at -20C long term. Avoid freeze-thaw cycles.

Background: NASP

This gene encodes a H1 histone binding protein that is involved in transporting histones into the nucleus of dividing cells. Multiple isoforms are encoded by transcript variants of this gene. The somatic form is expressed in all mitotic cells, is localize

Alternate Names

DKFZp547F162, FLB7527, FLJ31599, FLJ35510, histone H1-binding protein, MGC19722, MGC20372, MGC2297, nuclear autoantigenic sperm protein, nuclear autoantigenic sperm protein (histone-binding), PRO1999

Gene Symbol

NASP

UniProt

Additional NASP Products

Product Documents for NASP Antibody - BSA Free

Certificate of Analysis

To download a Certificate of Analysis, please enter a lot number in the search box below.

Product Specific Notices for NASP Antibody - BSA Free

This product is for research use only and is not approved for use in humans or in clinical diagnosis. Primary Antibodies are guaranteed for 1 year from date of receipt.

Loading...
Loading...
Loading...
Loading...