NARG1 Antibody - BSA Free
Novus Biologicals, part of Bio-Techne | Catalog # NBP2-19478
Key Product Details
Species Reactivity
Validated:
Human
Predicted:
Bovine (96%), Mouse (93%), Rat (92%), Rhesus Macaque (97%). Backed by our 100% Guarantee.
Applications
Immunohistochemistry, Immunohistochemistry-Paraffin, Western Blot
Label
Unconjugated
Antibody Source
Polyclonal Rabbit IgG
Format
BSA Free
Concentration
Concentrations vary lot to lot. See vial label for concentration. If unlisted please contact technical services.
Product Specifications
Immunogen
Recombinant protein encompassing a sequence within the C-terminus region of human NARG1. The exact sequence is proprietary.
Localization
Cytoplasm; Nucleus
Clonality
Polyclonal
Host
Rabbit
Isotype
IgG
Theoretical MW
101 kDa.
Disclaimer note: The observed molecular weight of the protein may vary from the listed predicted molecular weight due to post translational modifications, post translation cleavages, relative charges, and other experimental factors.
Disclaimer note: The observed molecular weight of the protein may vary from the listed predicted molecular weight due to post translational modifications, post translation cleavages, relative charges, and other experimental factors.
Description
Novus Biologicals Rabbit NARG1 Antibody - BSA Free (NBP2-19478) is a polyclonal antibody validated for use in IHC and WB. All Novus Biologicals antibodies are covered by our 100% guarantee.
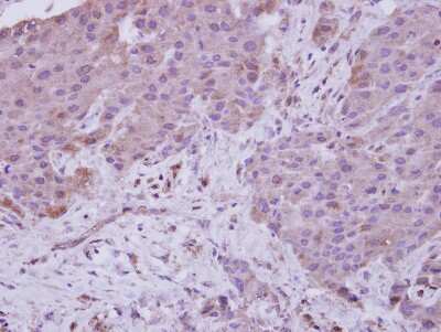
Scientific Data Images for NARG1 Antibody - BSA Free
Western Blot: NARG1 Antibody [NBP2-19478]
Western Blot: NARG1 Antibody [NBP2-19478] - Sample (30 ug of whole cell lysate) A: NT2D1 B: IMR32 7. 5% SDS PAGE gel, diluted at 1:10000.Immunohistochemistry-Paraffin: NARG1 Antibody [NBP2-19478]
Immunohistochemistry-Paraffin: NARG1 Antibody [NBP2-19478] - Immunohistochemical analysis of paraffin-embedded Breast ca, using antibody at 1:250 dilution.Applications for NARG1 Antibody - BSA Free
Application
Recommended Usage
Immunohistochemistry
1:100-1:1000
Immunohistochemistry-Paraffin
1:100-1:1000
Western Blot
1:5000-1:20000
Formulation, Preparation, and Storage
Purification
Antigen Affinity-purified
Formulation
0.1M Tris, 0.1M Glycine, 20% Glycerol
Format
BSA Free
Preservative
0.01% Thimerosal
Concentration
Concentrations vary lot to lot. See vial label for concentration. If unlisted please contact technical services.
Shipping
The product is shipped with polar packs. Upon receipt, store it immediately at the temperature recommended below.
Stability & Storage
Aliquot and store at -20C or -80C. Avoid freeze-thaw cycles.
Background: NARG1
Alternate Names
FLJ13340, GA19, Gastric cancer antigen Ga19, N(alpha)-acetyltransferase 15, NatA auxiliary subunit, NARG1, NATHGa19, NMDA receptor-regulated protein 1, N-terminal acetyltransferase, Protein tubedown-1, Tbdn100, TBDN100NatA auxiliary subunit, transcriptional coactivator tubedown-100, tubedown-1
Gene Symbol
NAA15
UniProt
Additional NARG1 Products
Product Documents for NARG1 Antibody - BSA Free
Product Specific Notices for NARG1 Antibody - BSA Free
This product is for research use only and is not approved for use in humans or in clinical diagnosis. Primary Antibodies are guaranteed for 1 year from date of receipt.
Loading...
Loading...
Loading...
Loading...
⚠ WARNING: This product can expose you to chemicals including mercury, which is known to the State of California to cause reproductive toxicity with developmental effects. For more information go to www.P65Warnings.ca.gov.