Skip to main content

NARG1 Antibody - BSA Free

Novus Biologicals, part of Bio-Techne | Catalog # NBP1-92165

Novus Biologicals, part of Bio-Techne
Catalog #
Availability
Size / Price
Qty
Loading...
NBP1-92165

Key Product Details

Species Reactivity

Validated:

Human

Predicted:

Mouse (99%), Rat (98%). Backed by our 100% Guarantee.

Applications

Immunohistochemistry, Immunohistochemistry-Paraffin, Western Blot, Immunocytochemistry/ Immunofluorescence

Label

Unconjugated

Antibody Source

Polyclonal Rabbit IgG

Format

BSA Free

Concentration

Concentrations vary lot to lot. See vial label for concentration. If unlisted please contact technical services.

Product Specifications

Immunogen

This antibody was developed against Recombinant Protein corresponding to amino acids: ALEHLCTYEKQICDKLAVEETKGELLLQLCRLEDAADVYRGLQERNPENWAYYKGLEKALKPANMLERLKIYEEAWTKYPRGLVPRRLPLNFLSGEKFKECLDKFLRMNFSKG

Clonality

Polyclonal

Host

Rabbit

Isotype

IgG

Description

Novus Biologicals Rabbit NARG1 Antibody - BSA Free (NBP1-92165) is a polyclonal antibody validated for use in IHC, WB and ICC/IF. All Novus Biologicals antibodies are covered by our 100% guarantee.

Scientific Data Images for NARG1 Antibody - BSA Free

Western Blot: NARG1 Antibody [NBP1-92165]

Western Blot: NARG1 Antibody [NBP1-92165]

Western Blot: NARG1 Antibody [NBP1-92165] - Analysis in human cell line Daudi.
Immunocytochemistry/ Immunofluorescence: NARG1 Antibody [NBP1-92165]

Immunocytochemistry/ Immunofluorescence: NARG1 Antibody [NBP1-92165]

Immunocytochemistry/Immunofluorescence: NARG1 Antibody [NBP1-92165] - Staining of human cell line U-251 MG shows localization to cytosol. Antibody staining is shown in green.
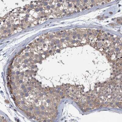
Immunohistochemistry-Paraffin: NARG1 Antibody [NBP1-92165]

Immunohistochemistry-Paraffin: NARG1 Antibody [NBP1-92165]

Immunohistochemistry-Paraffin: NARG1 Antibody [NBP1-92165] - Staining of human testis shows weak to moderate cytoplasmic positivity in cells in seminiferous ducts.

Applications for NARG1 Antibody - BSA Free

Application
Recommended Usage

Immunocytochemistry/ Immunofluorescence

0.25-2 ug/ml

Immunohistochemistry

1:20 - 1:50

Immunohistochemistry-Paraffin

1:20 - 1:50

Western Blot

0.04-0.4 ug/ml
Application Notes
For IHC-Paraffin, HIER pH 6 retrieval is recommended. ICC/IF Fixation Permeabilization: Use PFA/Triton X-100.

Formulation, Preparation, and Storage

Purification

Immunogen affinity purified

Formulation

PBS (pH 7.2) and 40% Glycerol

Format

BSA Free

Preservative

0.02% Sodium Azide

Concentration

Concentrations vary lot to lot. See vial label for concentration. If unlisted please contact technical services.

Shipping

The product is shipped with polar packs. Upon receipt, store it immediately at the temperature recommended below.

Stability & Storage

Store at 4C short term. Aliquot and store at -20C long term. Avoid freeze-thaw cycles.

Background: NARG1

NARG1 (NMDA receptor-regulated 1) is also known as NATH (N-acetyltransferase). The NARG1 gene, along with NARG2 and NARG3, was originally identified as a gene regulated by NMDA receptors in developing neurons. The NARG1 gene was found to be a homolog of a yeast N-terminal acetyltransferase that functions in control of the G(0) phase of the cell cycle. NARG1 was also identified as NATH in experiments set out to identify genes differentially expressed in papillary thyroid carcinoma (PTC). The NATH protein has been shown to form a complex with human ARD1 where they function as an acetyltransferase and interact with ribosomal subunits. The ARD1/NATH complex plays an important role in cell survival. Alternative names for NARG1 include protein tubedown-1, Tbdn100, gastric cancer antigen Ga19, and GA19.

Alternate Names

FLJ13340, GA19, Gastric cancer antigen Ga19, N(alpha)-acetyltransferase 15, NatA auxiliary subunit, NARG1, NATHGa19, NMDA receptor-regulated protein 1, N-terminal acetyltransferase, Protein tubedown-1, Tbdn100, TBDN100NatA auxiliary subunit, transcriptional coactivator tubedown-100, tubedown-1

Gene Symbol

NAA15

Additional NARG1 Products

Product Documents for NARG1 Antibody - BSA Free

Certificate of Analysis

To download a Certificate of Analysis, please enter a lot number in the search box below.

Product Specific Notices for NARG1 Antibody - BSA Free

This product is for research use only and is not approved for use in humans or in clinical diagnosis. Primary Antibodies are guaranteed for 1 year from date of receipt.

Loading...
Loading...
Loading...
Loading...