Skip to main content

NAA10 Antibody - BSA Free

Novus Biologicals, part of Bio-Techne | Catalog # NBP2-33934

Novus Biologicals, part of Bio-Techne
Catalog #
Availability
Size / Price
Qty
Loading...
NBP2-33934-25ul
NBP2-33934

Key Product Details

Species Reactivity

Validated:

Human

Predicted:

Mouse (90%). Backed by our 100% Guarantee.

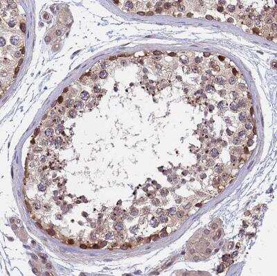
Applications

Immunohistochemistry, Immunohistochemistry-Paraffin, Western Blot, Immunocytochemistry/ Immunofluorescence

Label

Unconjugated

Antibody Source

Polyclonal Rabbit IgG

Format

BSA Free

Concentration

Concentrations vary lot to lot. See vial label for concentration. If unlisted please contact technical services.

Product Specifications

Immunogen

This antibody was developed against a recombinant protein corresponding to amino acids: AIENKVESKGNSPPSSGEACREEKGLAAEDSGGDSKDLSEVSETTESTDVKDSSEASDSAS

Reactivity Notes

Immunogen displays the following percentage of sequence identity for non-tested species: Rat (89%)

Clonality

Polyclonal

Host

Rabbit

Isotype

IgG

Description

Novus Biologicals Rabbit NAA10 Antibody - BSA Free (NBP2-33934) is a polyclonal antibody validated for use in IHC, WB and ICC/IF. All Novus Biologicals antibodies are covered by our 100% guarantee.

Scientific Data Images for NAA10 Antibody - BSA Free

Western Blot: NAA10 Antibody [NBP2-33934]

Western Blot: NAA10 Antibody [NBP2-33934]

Western Blot: NAA10 Antibody [NBP2-33934] - Lane 1: Marker [kDa] 230, 130, 95, 72, 56, 36, 28, 17, 11. Lane 2: Human cell line RT-4. Lane 3: Human cell line U-251MG sp. Lane 4: Human plasma (IgG/HSA depleted). Lane 5: Human liver tissue. Lane 6: Human tonsil tissue
Immunocytochemistry/ Immunofluorescence: NAA10 Antibody [NBP2-33934]

Immunocytochemistry/ Immunofluorescence: NAA10 Antibody [NBP2-33934]

Immunocytochemistry/Immunofluorescence: NAA10 Antibody [NBP2-33934] - Staining of human cell line U-2 OS shows localization to cytosol. Antibody staining is shown in green.
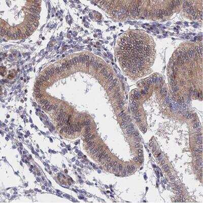
Immunohistochemistry-Paraffin: NAA10 Antibody [NBP2-33934]

Immunohistochemistry-Paraffin: NAA10 Antibody [NBP2-33934]

Immunohistochemistry-Paraffin: NAA10 Antibody [NBP2-33934] - Staining of human fallopian tube shows moderate to strong cytoplasmic positivity in glandular cells.

Applications for NAA10 Antibody - BSA Free

Application
Recommended Usage

Immunocytochemistry/ Immunofluorescence

0.25-2 ug/ml

Immunohistochemistry

1:50 - 1:200

Immunohistochemistry-Paraffin

1:50 - 1:200

Western Blot

0.04-0.4 ug/ml
Application Notes
For IHC-Paraffin, HIER pH 6 retrieval is recommended. ICC/IF Fixation Permeabilization: Use PFA/Triton X-100.

Formulation, Preparation, and Storage

Purification

Affinity purified

Formulation

PBS (pH 7.2) and 40% Glycerol

Format

BSA Free

Preservative

0.02% Sodium Azide

Concentration

Concentrations vary lot to lot. See vial label for concentration. If unlisted please contact technical services.

Shipping

The product is shipped with polar packs. Upon receipt, store it immediately at the temperature recommended below.

Stability & Storage

Store at 4C short term. Aliquot and store at -20C long term. Avoid freeze-thaw cycles.

Background: NAA10

N-alpha-acetylation is one of the most common protein modifications that occurs during protein synthesis and involves the transfer of an acetyl group from acetyl-coenzyme A to the protein alpha-amino group. ARD1A, together with NATH (NARG1; MIM 608000), is part of a major N-alpha-acetyltransferase complex responsible for alpha-acetylation of proteins and peptides (Sanchez-Puig and Fersht, 2006 [PubMed 16823041]).[supplied by OMIM]

Alternate Names

ARD1, ARD1 homolog A, N-acetyltransferase (S. cerevisiae), ARD1 homolog, N-acetyltransferase (S. cerevisiae), ARD1AARD1 homolog, N-acetyltransferase, EC 2.3.1.-, EC 2.3.1.88, MGC71248, N(alpha)-acetyltransferase 10, NatA catalytic subunit, N-acetyltransferase, N-acetyltransferase ARD1, human homolog of, N-alpha-acetyltransferase 10, NatA catalytic subunit, N-terminal acetyltransferase complex ARD1 subunit homolog A

Gene Symbol

NAA10

UniProt

Additional NAA10 Products

Product Documents for NAA10 Antibody - BSA Free

Certificate of Analysis

To download a Certificate of Analysis, please enter a lot number in the search box below.

Product Specific Notices for NAA10 Antibody - BSA Free

This product is for research use only and is not approved for use in humans or in clinical diagnosis. Primary Antibodies are guaranteed for 1 year from date of receipt.

Loading...
Loading...
Loading...
Loading...