Skip to main content

N-Cadherin Antibody (13A9) - Azide and BSA Free

Novus Biologicals, part of Bio-Techne | Catalog # NBP2-80868

Novus Biologicals, part of Bio-Techne
Catalog #
Availability
Size / Price
Qty
Loading...
NBP2-80868
Forumulation
Catalog #

Key Product Details

Species Reactivity

Human, Mouse, Rat

Applications

Immunohistochemistry, Immunohistochemistry-Paraffin, Western Blot, Flow Cytometry, Flow (Intracellular), Immunocytochemistry/ Immunofluorescence, Simple Western, Immunoprecipitation

Label

Unconjugated

Antibody Source

Monoclonal Mouse IgG1 Clone # 13A9

Format

Azide and BSA Free

Concentration

1 mg/ml

Product Specifications

Immunogen

This N-Cadherin Antibody (13A9) - Azide and BSA Free was developed against the cytoplasmic domain of human N Cadherin [Swiss-Prot# P19022].

Localization

Cell membrane; Single-pass type I membrane protein.

Clonality

Monoclonal

Host

Mouse

Isotype

IgG1

Theoretical MW

140 kDa.
Disclaimer note: The observed molecular weight of the protein may vary from the listed predicted molecular weight due to post translational modifications, post translation cleavages, relative charges, and other experimental factors.

Description

Novus Biologicals Mouse N-Cadherin Antibody (13A9) - Azide and BSA Free (NBP1-48309) is a monoclonal antibody validated for use in IHC, WB, Flow, ICC/IF, Simple Western and IP. All Novus Biologicals antibodies are covered by our 100% guarantee.

Scientific Data Images for N-Cadherin Antibody (13A9) - Azide and BSA Free

Western Blot: N-Cadherin Antibody (13A9)Azide and BSA Free [NBP2-80868]

Western Blot: N-Cadherin Antibody (13A9)Azide and BSA Free [NBP2-80868]

Western Blot: N-Cadherin Antibody (13A9) - Azide and BSA Free [NBP2-80868] - Analysis of N Cadherin expression in HeLa whole cell lysate. Image from the standard format of this antibody.
Immunocytochemistry/ Immunofluorescence: N-Cadherin Antibody (13A9) - Azide and BSA Free [NBP2-80868]

Immunocytochemistry/ Immunofluorescence: N-Cadherin Antibody (13A9) - Azide and BSA Free [NBP2-80868]

Immunocytochemistry/Immunofluorescence: N-Cadherin Antibody (13A9) - Azide and BSA Free [NBP2-80868] - Hek293 cells were fixed for 10 minutes using 10% formalin and then permeabilized for 5 minutes using 1X PBS + 0.5% Triton-X100. The cells were incubated with anti-N-Cadherin Antibody (13A9) at 5 ug/ml overnight at 4C and detected with an anti-mouse Dylight 488 (Green) at a 1:500 dilution. Actin was detected with Phalloidin 568 (Red) at a 1:200 dilution. Nuclei were counterstained with DAPI (Blue). Cells were imaged using a 40X objective. Image from the standard format of this antibody.
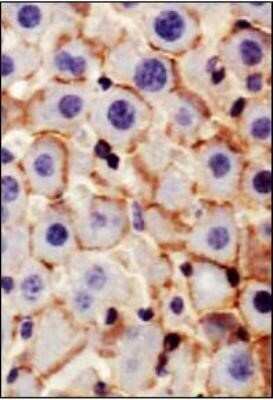
Immunohistochemistry: N-Cadherin Antibody (13A9) - Azide and BSA Free [NBP2-80868]

Immunohistochemistry: N-Cadherin Antibody (13A9) - Azide and BSA Free [NBP2-80868]

Immunohistochemistry: N-Cadherin Antibody (13A9) - Azide and BSA Free [NBP2-80868] - IHC analysis of N Cadherin in mouse liver using DAB with hematoxylin counterstain. Image from the standard format of this antibody.

Applications for N-Cadherin Antibody (13A9) - Azide and BSA Free

Application
Recommended Usage

Immunocytochemistry/ Immunofluorescence

1:100

Immunohistochemistry

1:50-1:200

Immunohistochemistry-Paraffin

1:50-1:100

Immunoprecipitation

1:10-1:500

Simple Western

1:50

Western Blot

0.5 ug/ml
Application Notes
In Western Blot a band is observed at approx. 140 kDa.

In Simple Western only 10 - 15 uL of the recommended dilution is used per data point.
See Simple Western Antibody Database for Simple Western validation: antibody dilution of 1:50. Separated by Size-Wes, Sally Sue/Peggy Sue.
The observed molecular weight of the protein may vary from the listed predicted molecular weight due to post translational modifications, post translation cleavages, relative charges, and other experimental factors.

Formulation, Preparation, and Storage

Purification

Protein G purified

Formulation

Tris-Glycine, 0.15M NaCl

Format

Azide and BSA Free

Preservative

No Preservative

Concentration

1 mg/ml

Shipping

The product is shipped with polar packs. Upon receipt, store it immediately at the temperature recommended below.

Stability & Storage

Store at 4C short term. Aliquot and store at -20C long term. Avoid freeze-thaw cycles.

Background: N-Cadherin

N-Cadherin, also referred to as Neural Cadherin (NCAD) or Cadherin-2 (CHD2), is a 130 kDa protein that is a member of the calcium-dependent adhesion molecule family of classical (type I) cadherins (1-4). Under the CDH2 gene, human N-cadherin is synthesized as a 906 amino acid protein with a theoretical molecular weight of 99.8 kDa (5). The N-cadherin protein structure is similar to other classical type I cadherins including epithelial (E-) cadherin and placental (P-) cadherin (1,2). N-cadherin consists of a 25 amino acid (aa) N-terminal signal peptide and 134 aa pro-peptide, a 565 aa extracellular domain (ECD) with five cadherin repeats, a 21 aa transmembrane segment, and a 161 aa cytoplasmic domain (1-3,5). The ECD of N-cadherin monomers is responsible for homotypic binding through either cis or trans adhesion (2,3).

N-cadherin is expressed on multiple cell types but is most highly expressed by mesenchymal cells and neural tissue (2). Functionally, N-cadherin has a number of roles including maintaining structural integrity and adhesion, cell signaling, and formation of neuronal synapses and the vascular wall (2). The cytoplasmic tail interacts with beta-catenin which then binds with alpha-catenin, forming the cadherin-catenin adhesion complex, an important component of adhesions junctions (1-3). Given its role in adhesion, N-cadherin serves as an indicator of epithelial-to-mesenchymal transition (EMT) (1-4). The loss of E-cadherin during EMT corresponds with an increase in N-cadherin expression (1-4). This "cadherin-switch" is associated with increased migratory and invasive behavior observed in tumor progress (1-4). Proteases including activity of a disintegrin and metalloprotease 10 (ADAM10), matrix metalloproteinases (MMPs), caspase 3, presenilin, and calpain can cleave N-cadherin as a mechanism for regulating Wnt/beta-catenin signaling and inducing oncogenic signals (3,4). In addition to its expression in solid tumors, N-cadherin has been indicated in hematological disorders such as leukemia and multiple myeloma (1). N-cadherin antagonists are currently being studied as potential therapeutics for a variety of cancer studies (1-2).

References

1. Mrozik, K. M., Blaschuk, O. W., Cheong, C. M., Zannettino, A., & Vandyke, K. (2018). N-cadherin in cancer metastasis, its emerging role in haematological malignancies and potential as a therapeutic target in cancer. BMC Cancer. https://doi.org/10.1186/s12885-018-4845-0

2. Loh, C. Y., Chai, J. Y., Tang, T. F., Wong, W. F., Sethi, G., Shanmugam, M. K., Chong, P. P., & Looi, C. Y. (2019). The E-Cadherin and N-Cadherin Switch in Epithelial-to-Mesenchymal Transition: Signaling, Therapeutic Implications, and Challenges. Cells. https://doi.org/10.3390/cells8101118

3. Derycke, L. D., & Bracke, M. E. (2004). N-cadherin in the spotlight of cell-cell adhesion, differentiation, embryogenesis, invasion and signalling. The International Journal of Developmental Biology. https://doi.org/10.1387/ijdb.041793ld

4. Yu, W., Yang, L., Li, T., & Zhang, Y. (2019). Cadherin Signaling in Cancer: Its Functions and Role as a Therapeutic Target. Frontiers in Oncology. https://doi.org/10.3389/fonc.2019.00989

5. Unitprot (P1903)

Long Name

Neural Cadherin

Alternate Names

Cadherin-2, CD325, CDH2, NCadherin

Gene Symbol

CDH2

Additional N-Cadherin Products

Product Documents for N-Cadherin Antibody (13A9) - Azide and BSA Free

Certificate of Analysis

To download a Certificate of Analysis, please enter a lot number in the search box below.

Product Specific Notices for N-Cadherin Antibody (13A9) - Azide and BSA Free

This product is for research use only and is not approved for use in humans or in clinical diagnosis. Primary Antibodies are guaranteed for 1 year from date of receipt.

Loading...
Loading...
Loading...
Loading...
Loading...