Skip to main content

Myosin heavy chain 11 Antibody (JA03-35)

Novus Biologicals, part of Bio-Techne | Catalog # NBP2-66967

Recombinant Monoclonal Antibody.
Novus Biologicals, part of Bio-Techne
Catalog #
Availability
Size / Price
Qty
Loading...
NBP2-66967

Key Product Details

Species Reactivity

Validated:

Human, Mouse, Rat

Cited:

Mouse

Applications

Validated:

Immunohistochemistry, Immunohistochemistry-Paraffin, Western Blot, Immunocytochemistry/ Immunofluorescence

Cited:

Immunocytochemistry/ Immunofluorescence

Label

Unconjugated

Antibody Source

Recombinant Monoclonal Rabbit IgG Clone # JA03-35 expressed in HEK293

Concentration

1 mg/ml

Product Specifications

Immunogen

Synthetic peptide within human smooth muscle Myosin heavy chain 11 aa 1935-1972/1972. (SwissProt: P35749 Human; SwissProt: Q63862 Rat)

Reactivity Notes

Use in Mouse reported in scientific literature (PMID:34411694).

Localization

Melanosome.

Clonality

Monoclonal

Host

Rabbit

Isotype

IgG

Description

Novus Biologicals Rabbit Myosin heavy chain 11 Antibody (JA03-35) (NBP2-66967) is a recombinant monoclonal antibody validated for use in IHC, WB and ICC/IF. Anti-Myosin heavy chain 11 Antibody: Cited in 3 publications. All Novus Biologicals antibodies are covered by our 100% guarantee.

Scientific Data Images for Myosin heavy chain 11 Antibody (JA03-35)

Immunocytochemistry/ Immunofluorescence: Myosin heavy chain 11 Antibody (JA03-35) [NBP2-66967]

Immunocytochemistry/ Immunofluorescence: Myosin heavy chain 11 Antibody (JA03-35) [NBP2-66967]

Immunocytochemistry/Immunofluorescence: Myosin heavy chain 11 Antibody (JA03-35) [NBP2-66967] - Staining smooth muscle Myosin heavy chain 11 in Hela cells (green). The nuclear counter stain is DAPI (blue). Cells were fixed in paraformaldehyde, permeabilised with 0.25% Triton X100/PBS.
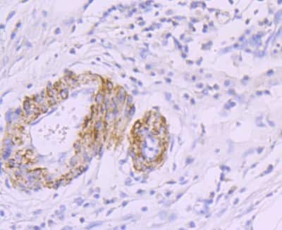
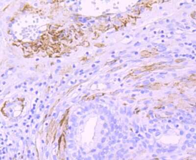
Immunohistochemistry-Paraffin: Myosin heavy chain 11 Antibody (JA03-35) [NBP2-66967]

Immunohistochemistry-Paraffin: Myosin heavy chain 11 Antibody (JA03-35) [NBP2-66967]

Immunohistochemistry-Paraffin: Myosin heavy chain 11 Antibody (JA03-35) [NBP2-66967] - Analysis of paraffin-embedded rat trachea tissue using anti-smooth muscle Myosin heavy chain 11 antibody. Counter stained with hematoxylin.
Immunocytochemistry/ Immunofluorescence: Myosin heavy chain 11 Antibody (JA03-35) [NBP2-66967]

Immunocytochemistry/ Immunofluorescence: Myosin heavy chain 11 Antibody (JA03-35) [NBP2-66967]

Immunocytochemistry/Immunofluorescence: Myosin heavy chain 11 Antibody (JA03-35) [NBP2-66967] - Staining smooth muscle Myosin heavy chain 11 in 293T cells (green). The nuclear counter stain is DAPI (blue). Cells were fixed in paraformaldehyde, permeabilised with 0.25% Triton X100/PBS.

Applications for Myosin heavy chain 11 Antibody (JA03-35)

Application
Recommended Usage

Immunocytochemistry/ Immunofluorescence

1:50-1:200

Immunohistochemistry-Paraffin

1:50-1:200

Western Blot

1:500

Formulation, Preparation, and Storage

Purification

Protein A purified

Formulation

TBS (pH7.4), 0.05% BSA, 40% Glycerol

Preservative

0.05% Sodium Azide

Concentration

1 mg/ml

Shipping

The product is shipped with polar packs. Upon receipt, store it immediately at the temperature recommended below.

Stability & Storage

Store at 4C short term. Aliquot and store at -20C long term. Avoid freeze-thaw cycles.

Background: Myosin heavy chain 11

The protein encoded by the MYH11 gene is a smooth muscle myosin belonging to the myosin heavy chain family. The gene product is a subunit of a hexameric protein that consists of two heavy chain subunits and two pairs of non-identical light chain subunits. MYH11 functions as a major contractile protein, converting chemical energy into mechanical energy through the hydrolysis of ATP. The gene encoding a human ortholog of rat NUDE1 is transcribed from the reverse strand of this gene, and its 3' end overlaps with that of the latter. The pericentric inversion of chromosome 16 [inv(16)(p13q22)] produces a chimeric transcript that encodes a protein consisting of the first 165 residues from the N terminus of core-binding factor beta in a fusion with the C-terminal portion of the smooth muscle myosin heavy chain. This chromosomal rearrangement is associated with acute myeloid leukemia of the M4Eo subtype. Alternative splicing generates isoforms that are differentially expressed, with ratios changing during muscle cell maturation. Alternatively spliced transcript variants encoding different isoforms have been identified.

Alternate Names

AAT4, FAA4, MYH11, MYH11 myosin, heavy chain 11, smooth muscle, SMHC, SMMHC, Smooth muscle myosin heavy chain

Gene Symbol

MYH11

Additional Myosin heavy chain 11 Products

Product Documents for Myosin heavy chain 11 Antibody (JA03-35)

Certificate of Analysis

To download a Certificate of Analysis, please enter a lot number in the search box below.

Product Specific Notices for Myosin heavy chain 11 Antibody (JA03-35)

This product is for research use only and is not approved for use in humans or in clinical diagnosis. Primary Antibodies are guaranteed for 1 year from date of receipt.

Loading...
Loading...
Loading...
Loading...