Myosin 1E Antibody - BSA Free
Novus Biologicals, part of Bio-Techne | Catalog # NBP1-92158
Key Product Details
Species Reactivity
Validated:
Human
Predicted:
Mouse (94%), Rat (92%). Backed by our 100% Guarantee.
Applications
Immunohistochemistry, Immunohistochemistry-Paraffin, Western Blot
Label
Unconjugated
Antibody Source
Polyclonal Rabbit IgG
Format
BSA Free
Concentration
Concentrations vary lot to lot. See vial label for concentration. If unlisted please contact technical services.
Product Specifications
Immunogen
This antibody was developed against Recombinant Protein corresponding to amino acids: VIRNQYVPYPHAPGSQRSNQKSLYTSMARPPLPRQQSTSSDRVSQTPESLDFLKVPDQGAAGVRRQTTSRPPPAGGRPKPQPKPKPQVPQCKALYAYDAQDTDELSFNANDIIDIIKEDPSGWWTGRLRGKQG
Clonality
Polyclonal
Host
Rabbit
Isotype
IgG
Scientific Data Images for Myosin 1E Antibody - BSA Free
Western Blot: Myosin 1E Antibody [NBP1-92158]
Western Blot: Myosin 1E Antibody [NBP1-92158] - Analysis in human cell line A-549.Immunohistochemistry: Myosin 1E Antibody - BSA Free [NBP1-92158]
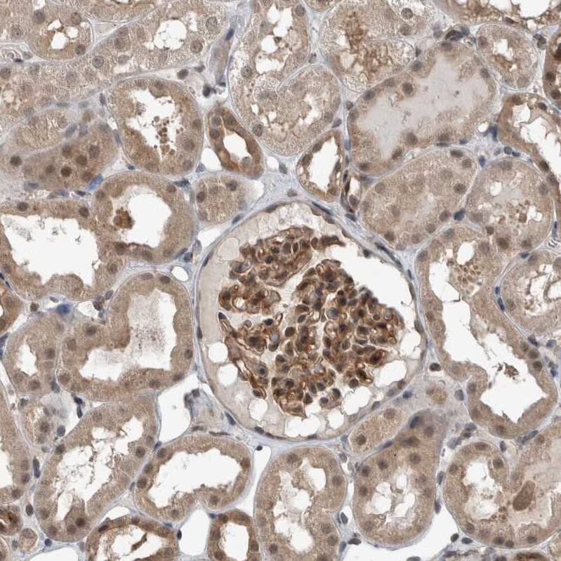
Staining of human kidney shows moderate cytoplasmic positivity in cells in glomeruli cells in tubules.Immunohistochemistry: Myosin 1E Antibody - BSA Free [NBP1-92158]
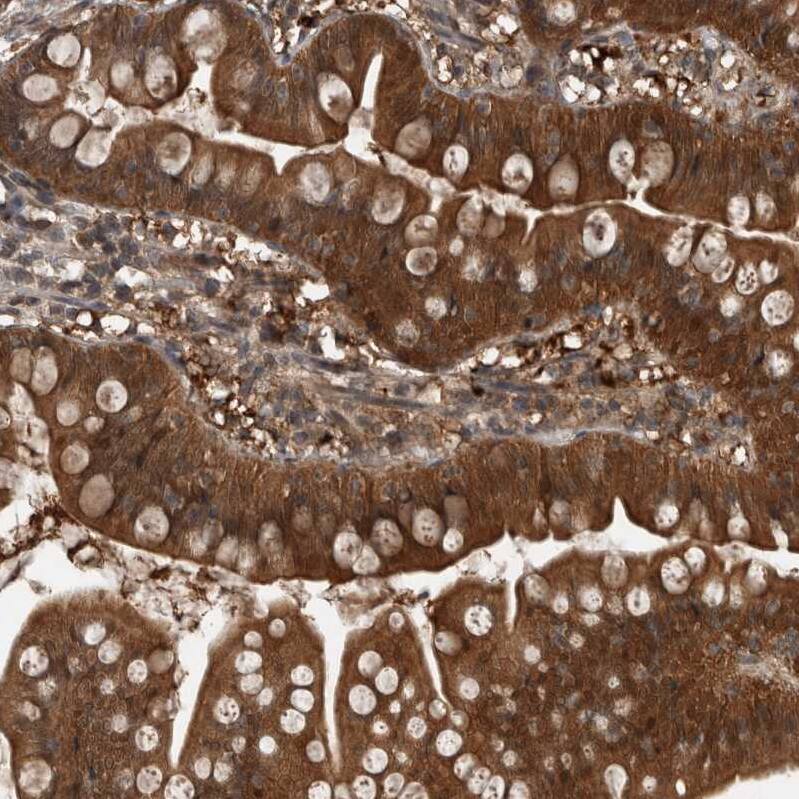
Staining of human small intestine shows strong cytoplasmic positivity in glandular cells and moderate cytoplasmic positivity in goblet cells.Applications for Myosin 1E Antibody - BSA Free
Application
Recommended Usage
Immunohistochemistry
1:200 - 1:500
Immunohistochemistry-Paraffin
1:200 - 1:500
Western Blot
0.04-0.4 ug/ml
Application Notes
IHC-Paraffin, HIER pH 6 retrieval is recommended.
Formulation, Preparation, and Storage
Purification
Affinity purified
Formulation
PBS (pH 7.2) and 40% Glycerol
Format
BSA Free
Preservative
0.02% Sodium Azide
Concentration
Concentrations vary lot to lot. See vial label for concentration. If unlisted please contact technical services.
Shipping
The product is shipped with polar packs. Upon receipt, store it immediately at the temperature recommended below.
Stability & Storage
Store at 4C short term. Aliquot and store at -20C long term. Avoid freeze-thaw cycles.
Background: Myosin 1E
Alternate Names
HuncM-IC, MGC104638, MYO1Cmyosin-IC, MYO1E variant protein, myosin IE, Myosin-Ic, myosin-Ie
Gene Symbol
MYO1E
Additional Myosin 1E Products
Product Documents for Myosin 1E Antibody - BSA Free
Product Specific Notices for Myosin 1E Antibody - BSA Free
This product is for research use only and is not approved for use in humans or in clinical diagnosis. Primary Antibodies are guaranteed for 1 year from date of receipt.
Loading...
Loading...
Loading...
Loading...