Skip to main content

MYO5C Antibody - BSA Free

Novus Biologicals, part of Bio-Techne | Catalog # NBP2-58564

Novus Biologicals, part of Bio-Techne
Catalog #
Availability
Size / Price
Qty
Loading...
NBP2-58564
NBP2-58564-25ul

Key Product Details

Validated by

Orthogonal Validation

Species Reactivity

Human

Applications

Immunohistochemistry, Immunohistochemistry-Paraffin

Label

Unconjugated

Antibody Source

Polyclonal Rabbit IgG

Format

BSA Free

Concentration

Concentrations vary lot to lot. See vial label for concentration. If unlisted please contact technical services.

Product Specifications

Immunogen

This antibody was developed against a recombinant protein corresponding to the following amino acid sequence: YRVQRLQKKLEDQNKENHGLVEKLTSLAALRAGDVEKIQKLEAELEKAATHRRNYEEKGKRYRDAVEEKLAKLQKHNSELETQKEQI

Reactivity Notes

Mouse 83%, Rat 80%

Clonality

Polyclonal

Host

Rabbit

Isotype

IgG

Description

Novus Biologicals Rabbit MYO5C Antibody - BSA Free (NBP2-58564) is a polyclonal antibody validated for use in IHC. All Novus Biologicals antibodies are covered by our 100% guarantee.

Scientific Data Images for MYO5C Antibody - BSA Free

Immunohistochemistry-Paraffin: MYO5C Antibody [NBP2-58564]

Immunohistochemistry-Paraffin: MYO5C Antibody [NBP2-58564]

Immunohistochemistry-Paraffin: MYO5C Antibody [NBP2-58564] - Staining of human thyroid gland shows high expression.
Immunohistochemistry-Paraffin: MYO5C Antibody [NBP2-58564]

Immunohistochemistry-Paraffin: MYO5C Antibody [NBP2-58564]

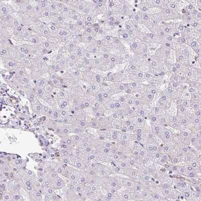
Immunohistochemistry-Paraffin: MYO5C Antibody [NBP2-58564] - Staining of human liver shows low expression as expected.
Immunohistochemistry-Paraffin: MYO5C Antibody [NBP2-58564]

Immunohistochemistry-Paraffin: MYO5C Antibody [NBP2-58564]

Immunohistochemistry-Paraffin: MYO5C Antibody [NBP2-58564] - Staining in human thyroid gland and liver tissues using anti-MYO5C antibody. Corresponding MYO5C RNA-seq data are presented for the same tissues.

Applications for MYO5C Antibody - BSA Free

Application
Recommended Usage

Immunohistochemistry

1:1000 - 1:2500

Immunohistochemistry-Paraffin

1:1000 - 1:2500
Application Notes
For IHC-Paraffin, HIER pH 6 retrieval is recommended.

Formulation, Preparation, and Storage

Purification

Affinity purified

Formulation

PBS (pH 7.2) and 40% Glycerol

Format

BSA Free

Preservative

0.02% Sodium Azide

Concentration

Concentrations vary lot to lot. See vial label for concentration. If unlisted please contact technical services.

Shipping

The product is shipped with polar packs. Upon receipt, store it immediately at the temperature recommended below.

Stability & Storage

Store at 4C short term. Aliquot and store at -20C long term. Avoid freeze-thaw cycles.

Background: MYO5C

MYO5C may be involved in transferrin trafficking. Likely to power actin-based membrane trafficking in many physiologically crucial tissues

Alternate Names

MGC74969, myosin 5C, myosin VC, myosin-Vc

Gene Symbol

MYO5C

Additional MYO5C Products

Product Documents for MYO5C Antibody - BSA Free

Certificate of Analysis

To download a Certificate of Analysis, please enter a lot number in the search box below.

Product Specific Notices for MYO5C Antibody - BSA Free

This product is for research use only and is not approved for use in humans or in clinical diagnosis. Primary Antibodies are guaranteed for 1 year from date of receipt.

Loading...
Loading...
Loading...
Loading...