Myelin PLP Antibody - BSA Free
Novus Biologicals, part of Bio-Techne | Catalog # NBP3-35912
Key Product Details
Species Reactivity
Human, Mouse, Rat
Applications
Immunohistochemistry, Immunohistochemistry-Paraffin, Western Blot, ELISA, Immunocytochemistry/ Immunofluorescence
Label
Unconjugated
Antibody Source
Polyclonal Rabbit IgG
Format
BSA Free
Concentration
Please see the vial label for concentration. If unlisted please contact technical services.
Product Specifications
Immunogen
Recombinant fusion protein containing a sequence corresponding to amino acids 90-150 of human Myelin PLP (NP_000524.3).
Sequence:
GFYTTGAVRQIFGDYKTTICGKGLSATVTGGQKGRGSRGQHQAHSLERVCHCLGKWLGHPD
Sequence:
GFYTTGAVRQIFGDYKTTICGKGLSATVTGGQKGRGSRGQHQAHSLERVCHCLGKWLGHPD
Clonality
Polyclonal
Host
Rabbit
Isotype
IgG
Theoretical MW
30 kDa.
Disclaimer note: The observed molecular weight of the protein may vary from the listed predicted molecular weight due to post translational modifications, post translation cleavages, relative charges, and other experimental factors.
Disclaimer note: The observed molecular weight of the protein may vary from the listed predicted molecular weight due to post translational modifications, post translation cleavages, relative charges, and other experimental factors.
Scientific Data Images for Myelin PLP Antibody - BSA Free
Western Blot: Myelin PLP Antibody [NBP3-35912] -
Western Blot: Myelin PLP Antibody [NBP3-35912] - Western blot analysis of various lysates, using Myelin PLP Rabbit pAb at 1:2000 dilution.Secondary antibody: HRP-conjugated Goat anti-Rabbit IgG (H+L) at 1:10000 dilution.
Lysates/proteins: 25ug per lane.
Blocking buffer: 3% nonfat dry milk in TBST.
Detection: ECL Basic Kit.
Exposure time: 30s.
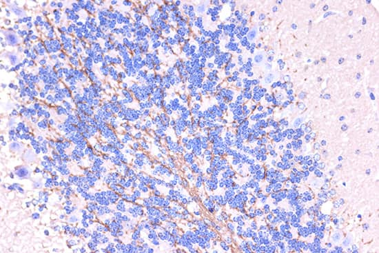
Immunohistochemistry: Myelin PLP Antibody [NBP3-35912] -
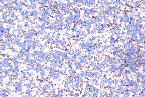
Immunohistochemistry: Myelin PLP Antibody [NBP3-35912] - Immunohistochemistry analysis of paraffin-embedded Mouse brain using Myelin PLP Rabbit pAb at dilution of 1:100 (40x lens). Microwave antigen retrieval performed with 0.01M PBS Buffer (pH 7.2) prior to IHC staining.Immunocytochemistry/ Immunofluorescence: Myelin PLP Antibody [NBP3-35912] -
Immunocytochemistry/ Immunofluorescence: Myelin PLP Antibody [NBP3-35912] - Immunofluorescence analysis of paraffin-embedded mouse brain using Myelin PLP Rabbit pAb at dilution of 1:100 (40x lens). Secondary antibody: Cy3-conjugated Goat anti-Rabbit IgG (H+L) at 1:500 dilution. Blue: DAPI for nuclear staining.Applications for Myelin PLP Antibody - BSA Free
Application
Recommended Usage
Immunocytochemistry/ Immunofluorescence
1:50 - 1:200
Immunohistochemistry-Paraffin
1:50 - 1:200
Western Blot
1:1000 - 1:5000
Formulation, Preparation, and Storage
Purification
Affinity purified
Formulation
PBS (pH 7.3), 50% glycerol
Format
BSA Free
Preservative
0.02% Sodium Azide
Concentration
Please see the vial label for concentration. If unlisted please contact technical services.
Shipping
The product is shipped with polar packs. Upon receipt, store it immediately at the temperature recommended below.
Stability & Storage
Store at -20C. Avoid freeze-thaw cycles.
Background: Myelin PLP
Long Name
Proteolipid Protein
Alternate Names
DM-20, Lipophilin, MMPL, PLP1, SPG2
Gene Symbol
PLP1
Additional Myelin PLP Products
Product Documents for Myelin PLP Antibody - BSA Free
Product Specific Notices for Myelin PLP Antibody - BSA Free
This product is for research use only and is not approved for use in humans or in clinical diagnosis. Primary Antibodies are guaranteed for 1 year from date of receipt.
Loading...
Loading...
Loading...
Loading...