Skip to main content

Musashi-2 Antibody (RM422)

Novus Biologicals, part of Bio-Techne | Catalog # NBP3-09175

Recombinant Monoclonal Antibody
Novus Biologicals, part of Bio-Techne
Catalog #
Availability
Size / Price
Qty
Loading...
NBP3-09175-25ul
NBP3-09175-100ul

Key Product Details

Species Reactivity

Human, Mouse, Rat

Applications

Immunohistochemistry, Immunohistochemistry-Paraffin, Western Blot

Label

Unconjugated

Antibody Source

Recombinant Monoclonal Rabbit IgG Clone # RM422 expressed in HEK293

Concentration

Please see the vial label for concentration. If unlisted please contact technical services.

Product Specifications

Immunogen

A peptide corresponding to the internal region of human Musashi-2

Reactivity Notes

This antibody may also react to mouse or rat Musashi-2, as predicted by immunogen homology.

Clonality

Monoclonal

Host

Rabbit

Isotype

IgG

Description

Novus Biologicals Rabbit Musashi-2 Antibody (RM422) (NBP3-09175) is a recombinant monoclonal antibody validated for use in IHC and WB. All Novus Biologicals antibodies are covered by our 100% guarantee.

Scientific Data Images for Musashi-2 Antibody (RM422)

Western Blot: Musashi-2 Antibody (RM422) [NBP3-09175]

Western Blot: Musashi-2 Antibody (RM422) [NBP3-09175]

Western Blot: Musashi-2 Antibody (RM422) [NBP3-09175] - Western Blot of mouse brain tissue lysate using NBP3-09175 at a 1:2000 dilution.
Immunohistochemistry-Paraffin: Musashi-2 Antibody (RM422) [NBP3-09175]

Immunohistochemistry-Paraffin: Musashi-2 Antibody (RM422) [NBP3-09175]

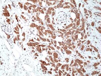
Immunohistochemistry-Paraffin: Musashi-2 Antibody (RM422) [NBP3-09175] - Immunohistochemical staining of formalin fixed and paraffin embedded human esophageal squamous carcinoma tissue section using NBP3-09175 at a 1:100 dilution.
Immunohistochemistry-Paraffin: Musashi-2 Antibody (RM422) [NBP3-09175]

Immunohistochemistry-Paraffin: Musashi-2 Antibody (RM422) [NBP3-09175]

Immunohistochemistry-Paraffin: Musashi-2 Antibody (RM422) [NBP3-09175] - Immunohistochemical staining of formalin fixed and paraffin embedded human breast ductal carcinoma tissue section using NBP3-09175 at a 1:400 dilution.

Applications for Musashi-2 Antibody (RM422)

Application
Recommended Usage

Immunohistochemistry

1:100-1:400

Immunohistochemistry-Paraffin

1:100 -1:400

Western Blot

1:1000 - 1:2000

Formulation, Preparation, and Storage

Purification

Protein A purified

Formulation

50% Glycerol/PBS, 1% BSA

Preservative

0.09% Sodium Azide

Concentration

Please see the vial label for concentration. If unlisted please contact technical services.

Shipping

The product is shipped with polar packs. Upon receipt, store it immediately at the temperature recommended below.

Stability & Storage

Store at -20C.

Background: Musashi-2

Musashi 2 encodes a protein containing two conserved tandem RNA recognition motifs. Similar proteins in other species function as RNA-binding proteins and play central roles in posttranscriptional gene regulation. Two transcript variants encoding distinct isoforms have been identified for this gene.

Alternate Names

MSI2, Musashi2

Gene Symbol

MSI2

Additional Musashi-2 Products

Product Documents for Musashi-2 Antibody (RM422)

Certificate of Analysis

To download a Certificate of Analysis, please enter a lot number in the search box below.

Product Specific Notices for Musashi-2 Antibody (RM422)

This product is for research use only and is not approved for use in humans or in clinical diagnosis. Primary Antibodies are guaranteed for 1 year from date of receipt.

Loading...
Loading...
Loading...
Loading...