Skip to main content

Musashi-2 Antibody (PSH01-17)

Novus Biologicals, part of Bio-Techne | Catalog # NBP3-32608

Recombinant Monoclonal Antibody
Novus Biologicals, part of Bio-Techne
Catalog #
Availability
Size / Price
Qty
Loading...
NBP3-32608

Key Product Details

Species Reactivity

Human, Mouse, Rat

Applications

Immunohistochemistry, Immunohistochemistry-Paraffin, Western Blot, Immunocytochemistry/ Immunofluorescence

Label

Unconjugated

Antibody Source

Recombinant Monoclonal Rabbit IgG Clone # PSH01-17 expressed in HEK293

Concentration

1 mg/ml

Product Specifications

Immunogen

Recombinant protein within human Musashi-2 aa 1-185 / 328. (Uniprot: Q96DH6)

Localization

Cytoplasm.

Clonality

Monoclonal

Host

Rabbit

Isotype

IgG

Theoretical MW

35 kDa.
Disclaimer note: The observed molecular weight of the protein may vary from the listed predicted molecular weight due to post translational modifications, post translation cleavages, relative charges, and other experimental factors.

Description

Novus Biologicals Rabbit Musashi-2 Antibody (PSH01-17) (NBP3-32608) is a recombinant monoclonal antibody validated for use in IHC, WB and ICC/IF. All Novus Biologicals antibodies are covered by our 100% guarantee.

Scientific Data Images for Musashi-2 Antibody (PSH01-17)

Musashi-2 Antibody (PSH01-17)

Western Blot: Musashi-2 Antibody (PSH01-17) [NBP3-32608]

Western Blot: Musashi-2 Antibody (PSH01-17) [NBP3-32608] - Western blot analysis of Musashi-2 on different lysates with Rabbit anti-Musashi-2 antibody (NBP3-32608) at 1/1,000 dilution.

Lane 1: PC-12 cell lysate (20 ug/Lane)
Lane 2: K-562 cell lysate (20 ug/Lane)
Lane 3: Human placenta tissue lysate (40 ug/Lane)
Lane 4: Mouse brain tissue lysate (40 ug/Lane)
Lane 5: Rat brain tissue lysate (40 ug/Lane)
Lane 6: Rat testis tissue lysate (40 ug/Lane)

Predicted band size: 35 kDa
Observed band size: 35/37 kDa

Exposure time: 3 minutes;

4-20% SDS-PAGE gel.

Proteins were transferred to a PVDF membrane and blocked with 5% NFDM/TBST for 1 hour at room temperature. The primary antibody (NBP3-32608) at 1/1,000 dilution was used in 5% NFDM/TBST at room temperature for 2 hours. Goat Anti-Rabbit IgG - HRP Secondary Antibody at 1:200,000 dilution was used for 1 hour at room temperature.
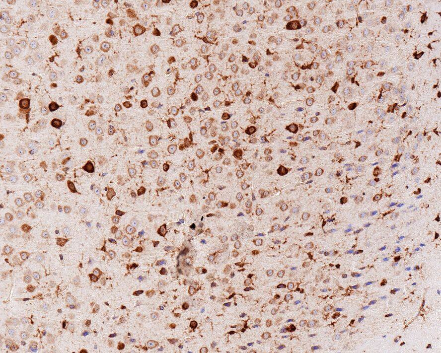
Musashi-2 Antibody (PSH01-17)

Immunohistochemistry: Musashi-2 Antibody (PSH01-17) [NBP3-32608]

Immunohistochemistry: Musashi-2 Antibody (PSH01-17) [NBP3-32608] - Immunohistochemical analysis of paraffin-embedded mouse brain tissue with Rabbit anti-Musashi-2 antibody (NBP3-32608) at 1/1,000 dilution.

The section was pre-treated using heat mediated antigen retrieval with Tris-EDTA buffer (pH 9.0) for 20 minutes. The tissues were blocked in 1% BSA for 20 minutes at room temperature, washed with ddH2O and PBS, and then probed with the primary antibody (NBP3-32608) at 1/1,000 dilution for 1 hour at room temperature. The detection was performed using an HRP conjugated compact polymer system. DAB was used as the chromogen. Tissues were counterstained with hematoxylin and mounted with DPX.
Musashi-2 Antibody (PSH01-17)

Immunocytochemistry/ Immunofluorescence: Musashi-2 Antibody (PSH01-17) [NBP3-32608]

Immunocytochemistry/ Immunofluorescence: Musashi-2 Antibody (PSH01-17) [NBP3-32608] - Immunocytochemistry analysis of HeLa cells labeling Musashi-2 with Rabbit anti-Musashi-2 antibody (NBP3-32608) at 1/100 dilution.

Cells were fixed in 4% paraformaldehyde for 20 minutes at room temperature, permeabilized with 0.1% Triton X-100 in PBS for 5 minutes at room temperature, then blocked with 1% BSA in 10% negative goat serum for 1 hour at room temperature. Cells were then incubated with Rabbit anti-Musashi-2 antibody (NBP3-32608) at 1/100 dilution in 1% BSA in PBST overnight at 4 ℃. Goat Anti-Rabbit IgG H&L (iFluor™ 488) was used as the secondary antibody at 1/1,000 dilution. PBS instead of the primary antibody was used as the secondary antibody only control. Nuclear DNA was labelled in blue with DAPI.

Beta tubulin (red) was stained at 1/100 dilution overnight at +4℃. Goat Anti-Mouse IgG H&L (iFluor™ 594) was used as the secondary antibody at 1/1,000 dilution.

Applications for Musashi-2 Antibody (PSH01-17)

Application
Recommended Usage

Immunocytochemistry/ Immunofluorescence

1:100

Immunohistochemistry-Paraffin

1:1000

Western Blot

1:1000

Formulation, Preparation, and Storage

Purification

Protein A purified

Formulation

PBS (pH7.4), 0.1% BSA and 40% Glycerol

Preservative

0.05% Sodium Azide

Concentration

1 mg/ml

Shipping

The product is shipped with polar packs. Upon receipt, store it immediately at the temperature recommended below.

Stability & Storage

Store at 4C short term. Aliquot and store at -20C long term. Avoid freeze-thaw cycles.

Background: Musashi-2

Musashi 2 encodes a protein containing two conserved tandem RNA recognition motifs. Similar proteins in other species function as RNA-binding proteins and play central roles in posttranscriptional gene regulation. Two transcript variants encoding distinct isoforms have been identified for this gene.

Alternate Names

MSI2, Musashi2

Gene Symbol

MSI2

Additional Musashi-2 Products

Product Documents for Musashi-2 Antibody (PSH01-17)

Certificate of Analysis

To download a Certificate of Analysis, please enter a lot number in the search box below.

Product Specific Notices for Musashi-2 Antibody (PSH01-17)

This product is for research use only and is not approved for use in humans or in clinical diagnosis. Primary Antibodies are guaranteed for 1 year from date of receipt.

Loading...
Loading...
Loading...
Loading...