Skip to main content

MURF3 Antibody (OTI7F8)

Novus Biologicals, part of Bio-Techne | Catalog # NBP2-46224

Novus Biologicals, part of Bio-Techne

Key Product Details

Species Reactivity

Human, Mouse, Rat

Applications

Immunohistochemistry, Immunohistochemistry-Paraffin, Western Blot

Label

Unconjugated

Antibody Source

Monoclonal Mouse IgG1 Clone # OTI7F8

Concentration

1 mg/ml

Product Specifications

Immunogen

Human recombinant protein fragment corresponding to amino acids 166-400 of human TRIM54 (NP_115935) produced in E.coli.

Reactivity Notes

Please note that this antibody is reactive to Mouse and derived from the same host, Mouse. Mouse-On-Mouse blocking reagent may be needed for IHC and ICC experiments to reduce high background signal. You can find these reagents under catalog numbers PK-2200-NB and MP-2400-NB. Please contact Technical Support if you have any questions.

Clonality

Monoclonal

Host

Mouse

Isotype

IgG1

Description

Novus Biologicals Mouse MURF3 Antibody (OTI7F8) (NBP2-46224) is a monoclonal antibody validated for use in IHC and WB. All Novus Biologicals antibodies are covered by our 100% guarantee.

Scientific Data Images for MURF3 Antibody (OTI7F8)

Western Blot: MURF3 Antibody (OTI7F8) [NBP2-46224]

Western Blot: MURF3 Antibody (OTI7F8) [NBP2-46224]

Western Blot: MURF3 Antibody (7F8) [NBP2-46224] - Analysis of HEK293T cells were transfected with the pCMV6-ENTRY control (Left lane) or pCMV6-ENTRY MURF3.
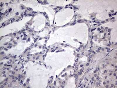
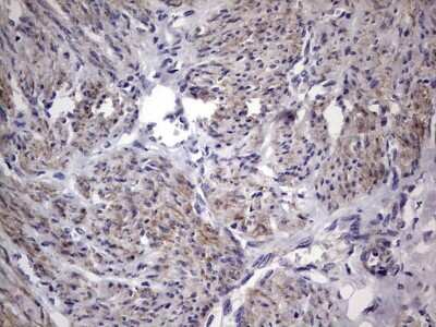
Immunohistochemistry: MURF3 Antibody (OTI7F8) [NBP2-46224]

Immunohistochemistry: MURF3 Antibody (OTI7F8) [NBP2-46224]

Immunohistochemistry: MURF3 Antibody (7F8) [NBP2-46224] - Analysis of Human lymph node tissue.
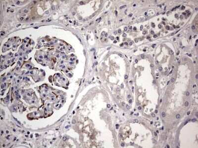
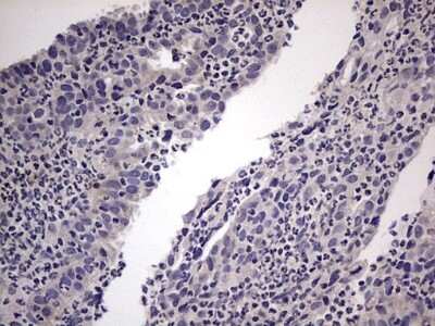
Immunohistochemistry: MURF3 Antibody (OTI7F8) [NBP2-46224]

Immunohistochemistry: MURF3 Antibody (OTI7F8) [NBP2-46224]

Immunohistochemistry: MURF3 Antibody (7F8) [NBP2-46224] - Analysis of Human Kidney tissue.

Applications for MURF3 Antibody (OTI7F8)

Application
Recommended Usage

Immunohistochemistry

1:150

Western Blot

1:2000

Formulation, Preparation, and Storage

Purification

Immunogen affinity purified

Formulation

PBS (pH 7.3), 1.0% BSA and 50% Glycerol

Preservative

0.02% Sodium Azide

Concentration

1 mg/ml

Shipping

The product is shipped with polar packs. Upon receipt, store it immediately at the temperature recommended below.

Stability & Storage

Store at -20C. Avoid freeze-thaw cycles.

Background: MURF3

MURF3 is encoded by this gene contains a RING finger motif and is highly similar to the ring finger proteins RNF28/MURF1 and RNF29/MURF2. In vitro studies demonstrated that this protein, RNF28, and RNF29 form heterodimers, which may be important for the regulation of titin kinase and microtubule-dependent signal pathways in striated muscles. Alternatively spliced transcript variants encoding distinct isoforms have been reported.

Alternate Names

MuRF, MURF3, MURF-3, MURFtripartite motif-containing protein 54, Muscle-specific RING finger protein, Muscle-specific RING finger protein 3, RING finger protein 30muscle-specific RING-finger protein 3, RNF30, tripartite motif containing 54, tripartite motif-containing 54

Gene Symbol

TRIM54

Additional MURF3 Products

Product Documents for MURF3 Antibody (OTI7F8)

Certificate of Analysis

To download a Certificate of Analysis, please enter a lot number in the search box below.

Product Specific Notices for MURF3 Antibody (OTI7F8)

This product is for research use only and is not approved for use in humans or in clinical diagnosis. Primary Antibodies are guaranteed for 1 year from date of receipt.

Loading...
Loading...
Loading...
Loading...