Skip to main content

MUC13 Antibody (MUC13/13111)

Novus Biologicals, part of Bio-Techne | Catalog # NBP3-44615

Novus Biologicals, part of Bio-Techne
Catalog #
Availability
Size / Price
Qty
Loading...
NBP3-44615-100ug
NBP3-44615-20ug

Key Product Details

Species Reactivity

Human

Applications

Immunohistochemistry

Label

Unconjugated

Antibody Source

Monoclonal Mouse IgG1 kappa Clone # MUC13/13111

Concentration

0.2 mg/ml

Product Specifications

Immunogen

Recombinant fragment (around aa100-300) of human MUC13 protein (Uniprot: Q9H3R2). Exact sequence is proprietary.

Localization

Cell membrane

Clonality

Monoclonal

Host

Mouse

Isotype

IgG1 kappa

Theoretical MW

58 kDa.
Disclaimer note: The observed molecular weight of the protein may vary from the listed predicted molecular weight due to post translational modifications, post translation cleavages, relative charges, and other experimental factors.

Description

200ug/ml of antibody purified from Bioreactor Concentrate by Protein A/G. Prepared in 10 mM PBS with 0.05% BSA & 0.05% azide. Also available WITHOUT BSA & azide at 1.0 mg/ml.

Antibody with azide - store at 2 to 8C. Antibody without azide - store at -20 to -80C. Non-hazardous. No MSDS required.

Scientific Data Images for MUC13 Antibody (MUC13/13111)

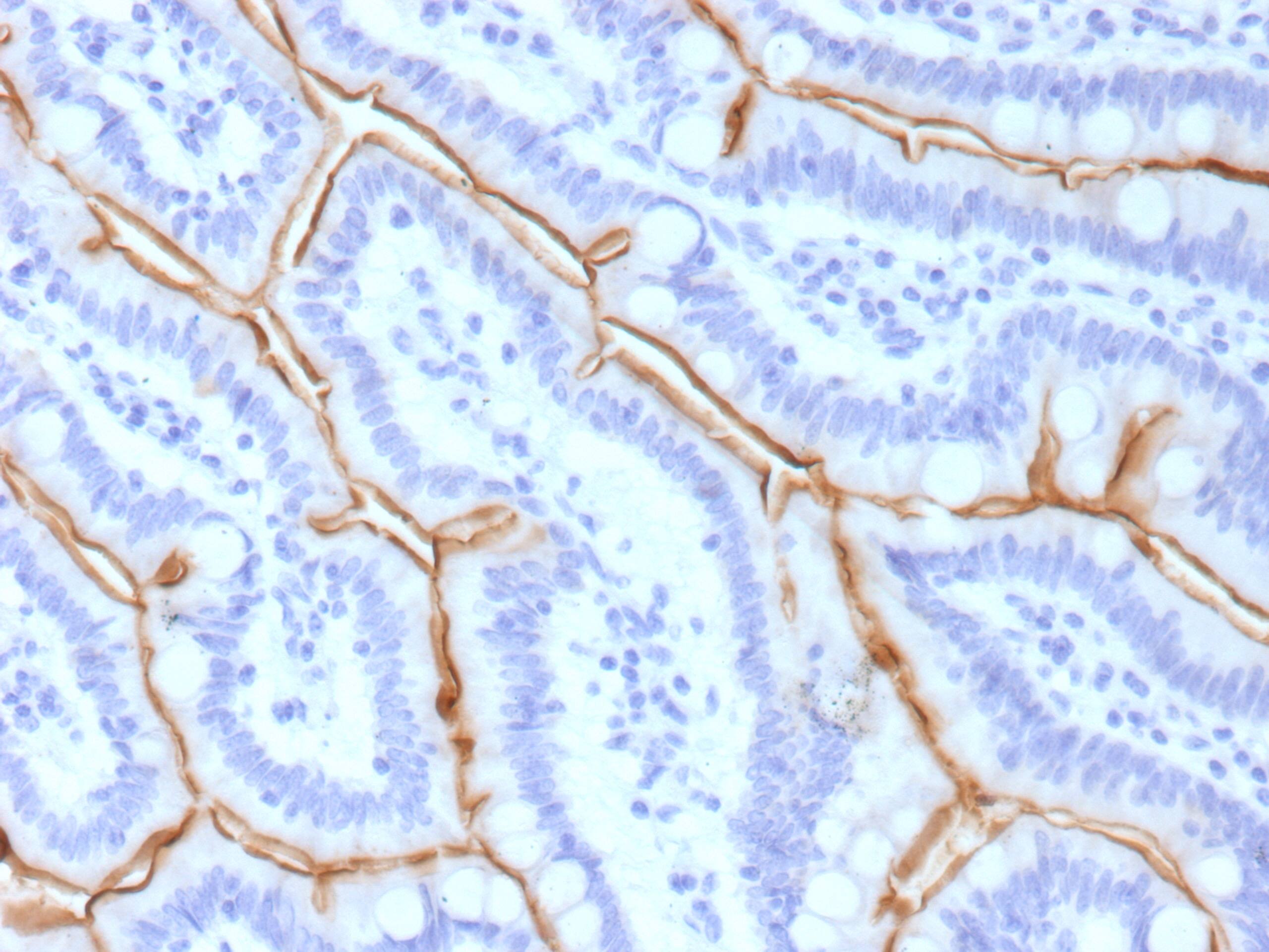
MUC13 Antibody (MUC13/13111)

Immunohistochemistry-Paraffin: MUC13 Antibody (MUC13/13111) [NBP3-44615] -

Formalin-fixed, paraffin-embedded human small intestine stained with MUC13 Antibody (MUC13/13111)). HIER: Tris/EDTA, pH9.0, 45min. 2 : HRP-polymer, 30min. DAB, 5min.

Applications for MUC13 Antibody (MUC13/13111)

Application
Recommended Usage

Immunohistochemistry

1-2ug/ml
Application Notes
Immunohistochemistry: 30 min at RT. Staining of formalin-fixed tissues requires heating tissue sections in 10mM Tris with 1mM EDTA, pH 9.0, for 45 min at 95C followed by cooling at RT for 20 minutes.

Formulation, Preparation, and Storage

Purification

Protein G purified

Formulation

10 mM PBS with 0.05% BSA

Preservative

0.05% Sodium Azide

Concentration

0.2 mg/ml

Shipping

The product is shipped with polar packs. Upon receipt, store it immediately at the temperature recommended below.

Stability & Storage

Store at 4C.

Background: MUC13

Epithelial mucins, such as MUC13, are a family of secreted and cell surface glycoproteins expressed by ductal and glandular epithelial tissues (Williams et al., 2001 [PubMed 11278439]).

Alternate Names

Down-regulated in colon cancer 1FLJ20063, DRCC1, MUC-13, mucin 13, cell surface associated, mucin 13, epithelial transmembrane, mucin-13, RECC

Gene Symbol

MUC13

Additional MUC13 Products

Product Documents for MUC13 Antibody (MUC13/13111)

Certificate of Analysis

To download a Certificate of Analysis, please enter a lot number in the search box below.

Product Specific Notices for MUC13 Antibody (MUC13/13111)

This product is for research use only and is not approved for use in humans or in clinical diagnosis. Primary Antibodies are guaranteed for 1 year from date of receipt.

Loading...
Loading...
Loading...
Loading...