Skip to main content

mtTFA Antibody (HL2012)

Novus Biologicals, part of Bio-Techne | Catalog # NBP3-48669

Recombinant Monoclonal Antibody
Novus Biologicals, part of Bio-Techne
Catalog #
Availability
Size / Price
Qty
Loading...
NBP3-48669

Key Product Details

Validated by

Knockout/Knockdown, Orthogonal Validation

Species Reactivity

Human

Applications

Immunohistochemistry, Immunohistochemistry-Paraffin, Western Blot

Label

Unconjugated

Antibody Source

Recombinant Monoclonal Rabbit IgG Clone # HL2012

Concentration

Concentrations vary lot to lot. See vial label for concentration. If unlisted please contact technical services.

Product Specifications

Immunogen

Full length human mtTFA recombinant protein

Clonality

Monoclonal

Host

Rabbit

Isotype

IgG

Description

Novus Biologicals Rabbit mtTFA Antibody (HL2012) (NBP3-48669) is a recombinant monoclonal antibody validated for use in IHC and WB. All Novus Biologicals antibodies are covered by our 100% guarantee.

Scientific Data Images for mtTFA Antibody (HL2012)

mtTFA Antibody (HL2012)

Western Blot: mtTFA Antibody (HL2012) [NBP3-48669] -

Non-transfected (-) and transfected (+) 293T whole cell extracts (30 ug) were separated by 12% SDS-PAGE, and the membrane was blotted with mtTFA antibody [HL2012] (NBP3-48669) diluted at 1:50000. The HRP-conjugated anti-rabbit IgG antibody was used to detect the primary antibody.
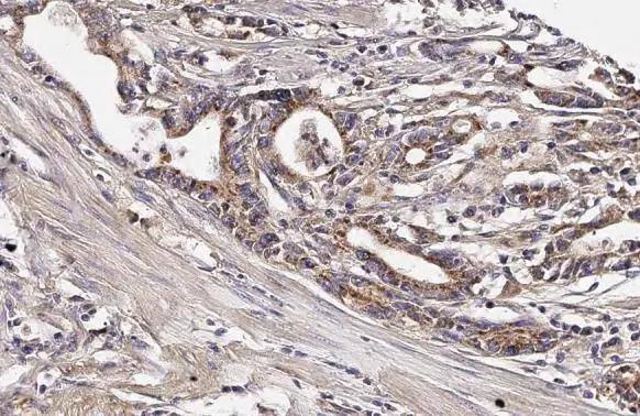
mtTFA Antibody (HL2012)

Immunohistochemistry-Paraffin: mtTFA Antibody (HL2012) [NBP3-48669] -

mtTFA antibody [HL2012] detects mtTFA protein at mitochondria by immunohistochemical analysis.Sample: Paraffin-embedded human colon cancer.mtTFA stained by mtTFA antibody [HL2012] (NBP3-48669) diluted at 1:100.Antigen Retrieval: Citrate buffer, pH 6.0, 15 min
mtTFA Antibody (HL2012)

Western Blot: mtTFA Antibody (HL2012) [NBP3-48669] -

Various whole cell extracts (30 ug) were separated by 12% SDS-PAGE, and the membrane was blotted with mtTFA antibody [HL2012] (NBP3-48669) diluted at 1:5000. The HRP-conjugated anti-rabbit IgG antibody was used to detect the primary antibody.Corresponding RNA expression data for the same cell lines are based on Human Protein Atlas program.

Applications for mtTFA Antibody (HL2012)

Application
Recommended Usage

Western Blot

1:500-1:3000

Formulation, Preparation, and Storage

Purification

Protein A purified

Formulation

PBS

Preservative

No Preservative

Concentration

Concentrations vary lot to lot. See vial label for concentration. If unlisted please contact technical services.

Shipping

The product is shipped with polar packs. Upon receipt, store it immediately at the temperature recommended below.

Stability & Storage

Store at 4C short term. Aliquot and store at -20C long term. Avoid freeze-thaw cycles.

Background: mtTFA

TFAM a mitochondrial transcription factor that is a key activator of mitochondrial transcription as well as a participant in mitochondrial genome replication. Studies in mice have demonstrated that this protein is required to regulate the mitochondrial genome copy number and is essential for embryonic development. A mouse model for Kearns-Sayre syndrome was produced when expression of the gene was eliminated by targeted disruption in heart and muscle cells.

Alternate Names

mitochondrial transcription factor A, MTTF1, mtTFA, TCF-6, TCF6L1, TCF6L2Mitochondrial transcription factor 1, TCF6TCF6L3, Transcription factor 6, Transcription factor 6-like 2, Transcription factor 6-like 2 (mitochondrial transcription factor), transcription factor A, mitochondrial

Gene Symbol

TFAM

Additional mtTFA Products

Product Documents for mtTFA Antibody (HL2012)

Certificate of Analysis

To download a Certificate of Analysis, please enter a lot number in the search box below.

Product Specific Notices for mtTFA Antibody (HL2012)

This product is for research use only and is not approved for use in humans or in clinical diagnosis. Primary Antibodies are guaranteed for 1 year from date of receipt.

Loading...
Loading...
Loading...
Loading...