Skip to main content

mtTFA Antibody (18G102B2E11) - Azide and BSA Free

Novus Biologicals, part of Bio-Techne | Catalog # NBP2-80858

Novus Biologicals, part of Bio-Techne
Catalog #
Availability
Size / Price
Qty
Loading...
NBP2-80858

Key Product Details

Species Reactivity

Human, Mouse (Negative)

Applications

Knockout Validated, Immunohistochemistry, Immunohistochemistry-Paraffin, Western Blot, Immunocytochemistry/ Immunofluorescence, Simple Western, Knockdown Validated

Label

Unconjugated

Antibody Source

Monoclonal Mouse IgG2b Kappa Clone # 18G102B2E11

Format

Azide and BSA Free

Concentration

1 mg/ml

Product Specifications

Immunogen

Human mtTFA [Swiss-Prot# Q00059]

Localization

Mitochondrion.

Clonality

Monoclonal

Host

Mouse

Isotype

IgG2b Kappa

Description

Novus Biologicals Knockout (KO) Validated Mouse mtTFA Antibody (18G102B2E11) - Azide and BSA Free (NBP1-71648) is a monoclonal antibody validated for use in IHC, WB, ICC/IF and Simple Western. All Novus Biologicals antibodies are covered by our 100% guarantee.

Scientific Data Images for mtTFA Antibody (18G102B2E11) - Azide and BSA Free

Western Blot: mtTFA Antibody (18G102B2E11)Azide and BSA Free [NBP2-80858]

Western Blot: mtTFA Antibody (18G102B2E11)Azide and BSA Free [NBP2-80858]

Western Blot: mtTFA Antibody (18G102B2E11) - Azide and BSA Free [NBP2-80858] - Analysis of mtTFA expression in HeLa whole cell lysate. Image from the standard format of this antibody.
Immunocytochemistry/ Immunofluorescence: mtTFA Antibody (18G102B2E11) - Azide and BSA Free [NBP2-80858]

Immunocytochemistry/ Immunofluorescence: mtTFA Antibody (18G102B2E11) - Azide and BSA Free [NBP2-80858]

Immunocytochemistry/Immunofluorescence: mtTFA Antibody (18G102B2E11) - Azide and BSA Free [NBP2-80858] - Immunostaining in HeLa cells. C1: DAPI staining 2 nuclei, C2: anti-mtTFA stain with Alexa Fluor 488 secondary ab (green), C3: Mitotracker Red staining mitochondria. Image courtesy of Elizabeth Wang. Image from the standard format of this antibody.
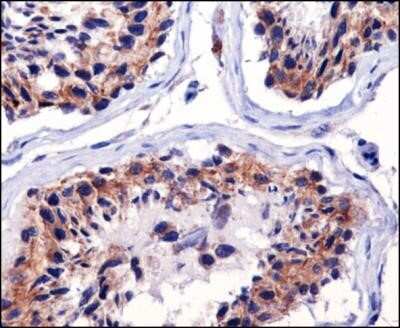
Immunohistochemistry: mtTFA Antibody (18G102B2E11) - Azide and BSA Free [NBP2-80858]

Immunohistochemistry: mtTFA Antibody (18G102B2E11) - Azide and BSA Free [NBP2-80858]

Immunohistochemistry: mtTFA Antibody (18G102B2E11) - Azide and BSA Free [NBP2-80858] - IHC staining of mtTFA on human testis using DAB with hematoxylin counterstain. Image from the standard format of this antibody.

Applications for mtTFA Antibody (18G102B2E11) - Azide and BSA Free

Application
Recommended Usage

Immunocytochemistry/ Immunofluorescence

1:50

Immunohistochemistry

1:200

Immunohistochemistry-Paraffin

1:200

Simple Western

1:20

Western Blot

1:1000
Application Notes
This mtTFA (18G102B2E11) antibody is useful for Immunocytochemistry/Immunofluorescence, Immunohistochemistry on paraffin-embedded sections and Western blot, where a band can be seen around 20 - 25 kDa.

In Simple Western only 10 - 15 uL of the recommended dilution is used per data point.
See Simple Western Antibody Database for Simple Western validation: antibody dilution of 1:20. Separated by Size-Wes, Sally Sue/Peggy Sue.

Formulation, Preparation, and Storage

Purification

Protein G purified

Formulation

Tris-Glycine, 0.15 M NaCl

Format

Azide and BSA Free

Preservative

No Preservative

Concentration

1 mg/ml

Shipping

The product is shipped with polar packs. Upon receipt, store it immediately at the temperature recommended below.

Stability & Storage

Store at 4C short term. Aliquot and store at -20C long term. Avoid freeze-thaw cycles.

Background: mtTFA

mtTFA (transcription factor A, mitochondrial) is an essential protein that binds mitochondrial DNA (mtDNA) with or without sequence specificity to control mitochondrial transcription initiation and mtDNA copy number. mtTFA exists as monomer localized in mitochondrion matrix/nucleoid where it binds DNA and interacts with TFB1M/TFB2M. mtTFA associates with mitochondrial light strand promoter for controlling transcription and is essential for correct/efficient mtRNA polymerase promoter recognition. mtTFA is capable of unwinding DNA and bending mitochondrial light strand promoter DNA into a U-turn shape via its HMG boxes, and mtTFA is essential for controlling mtDNA levels as well as its organization/compaction. mtDNA is a multicopy, circular genome that is required for respiratory function and interference with mitochondrial genome sequence fidelity, transcription, or translation can cause ATP insufficiency and several pathologies including progressive external ophthalmoplegia, amyotrophic lateral sclerosis (ALS), Alpers' disease, Parkinson's disease, Alzheimer's disease, aging, cardiovascular disease, diabetes and cancer.

Alternate Names

mitochondrial transcription factor A, MTTF1, mtTFA, TCF-6, TCF6L1, TCF6L2Mitochondrial transcription factor 1, TCF6TCF6L3, Transcription factor 6, Transcription factor 6-like 2, Transcription factor 6-like 2 (mitochondrial transcription factor), transcription factor A, mitochondrial

Gene Symbol

TFAM

Additional mtTFA Products

Product Documents for mtTFA Antibody (18G102B2E11) - Azide and BSA Free

Certificate of Analysis

To download a Certificate of Analysis, please enter a lot number in the search box below.

Product Specific Notices for mtTFA Antibody (18G102B2E11) - Azide and BSA Free

This product is for research use only and is not approved for use in humans or in clinical diagnosis. Primary Antibodies are guaranteed for 1 year from date of receipt.

Loading...
Loading...
Loading...
Loading...