Skip to main content

MTRF1 Antibody - BSA Free

Novus Biologicals, part of Bio-Techne | Catalog # NBP3-46998

Novus Biologicals, part of Bio-Techne
Catalog #
Availability
Size / Price
Qty
Loading...
NBP3-46998

Key Product Details

Species Reactivity

Human, Mouse

Applications

Immunohistochemistry, Western Blot, ELISA

Label

Unconjugated

Antibody Source

Polyclonal Rabbit IgG

Format

BSA Free

Concentration

Please see the vial label for concentration. If unlisted please contact technical services.

Product Specifications

Immunogen

mitochondrial translational release factor 1. (Uniprot# O75570)

Clonality

Polyclonal

Host

Rabbit

Isotype

IgG

Theoretical MW

52 kDa.
Disclaimer note: The observed molecular weight of the protein may vary from the listed predicted molecular weight due to post translational modifications, post translation cleavages, relative charges, and other experimental factors.

Description

Novus Biologicals Rabbit MTRF1 Antibody - BSA Free (NBP3-46998) is a polyclonal antibody validated for use in IHC, WB and ELISA. All Novus Biologicals antibodies are covered by our 100% guarantee.

Scientific Data Images for MTRF1 Antibody - BSA Free

MTRF1 Antibody - BSA Free

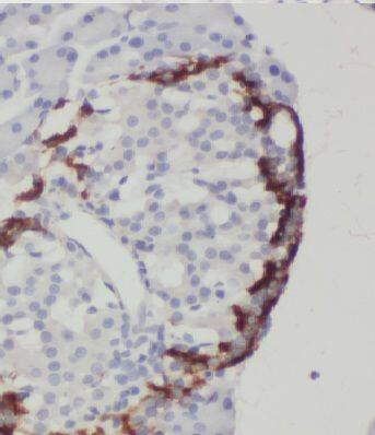
Immunohistochemistry: MTRF1 Antibody - BSA Free [NBP3-46998] -

Immunohistochemistry: MTRF1 Antibody - BSA Free [NBP3-46998] - Immunohistochemistry of paraffin-embedded human pancreas cancer using (MTRF1 antibody) at dilution of 1:50
MTRF1 Antibody - BSA Free

Western Blot: MTRF1 Antibody - BSA Free [NBP3-46998] -

Western Blot: MTRF1 Antibody - BSA Free [NBP3-46998] - Mouse liver tissue were subjected to SDS PAGE followed by western blot with (MTRF1 antibody) at dilution of 1:300

Applications for MTRF1 Antibody - BSA Free

Application
Recommended Usage

Immunohistochemistry

1:20-1:200

Western Blot

1:500-1:2000

Formulation, Preparation, and Storage

Purification

Immunogen affinity purified

Formulation

PBS, 50% Glycerol, pH (7.3)

Format

BSA Free

Preservative

0.02% Sodium Azide

Concentration

Please see the vial label for concentration. If unlisted please contact technical services.

Shipping

The product is shipped with polar packs. Upon receipt, store it immediately at the temperature recommended below.

Stability & Storage

Store at -20C. Avoid freeze-thaw cycles.

Background: MTRF1

MTRF1 is encoded by this gene was determined by in silico methods to be a mitochondrial protein with similarity to the peptide chain release factors (RFs) discovered in bacteria and yeast. The peptide chain release factors direct the termination of translation in response to the peptide chain termination codons. Initially thought to have a role in the termination of mitochondria protein synthesis, a recent publication found no mitochondrial translation release functionality. Multiple alternatively spliced transcript variants have been suggested by mRNA and EST data; however, their full-length natures are not clear. [provided by RefSeq]

Alternate Names

mitochondrial, mitochondrial translational release factor 1, MRF1, MRF-1, MtRF-1

Gene Symbol

MTRF1

Additional MTRF1 Products

Product Documents for MTRF1 Antibody - BSA Free

Certificate of Analysis

To download a Certificate of Analysis, please enter a lot number in the search box below.

Product Specific Notices for MTRF1 Antibody - BSA Free

This product is for research use only and is not approved for use in humans or in clinical diagnosis. Primary Antibodies are guaranteed for 1 year from date of receipt.

Loading...
Loading...
Loading...
Loading...