MTHFD1L Antibody
Novus Biologicals, part of Bio-Techne | Catalog # NBP1-78279
Key Product Details
Species Reactivity
Validated:
Human, Mouse, Rat
Predicted:
Bovine (100%), Canine (100%), Porcine (100%). Backed by our 100% Guarantee.
Applications
Immunohistochemistry, Immunohistochemistry-Paraffin, Western Blot, Peptide ELISA
Label
Unconjugated
Antibody Source
Polyclonal Goat IgG
Concentration
0.5 mg/ml
Product Specifications
Immunogen
Peptide with sequence C-DTNDRFLRKITIGQ corresponding to internal region according to NP_056255.2.
Epitope
aa535-538
Clonality
Polyclonal
Host
Goat
Isotype
IgG
Scientific Data Images for MTHFD1L Antibody
Western Blot: MTHFD1L Antibody [NBP1-78279]
Western Blot: MTHFD1L Antibody [NBP1-78279] - A. NIH3T3, B. Mouse Brain and C. Rat Brain lysates (35 ug protein in RIPA buffer). Antibody at 0.1 ug/mL. Detected by chemiluminescence.Immunohistochemistry-Paraffin: MTHFD1L Antibody [NBP1-78279]
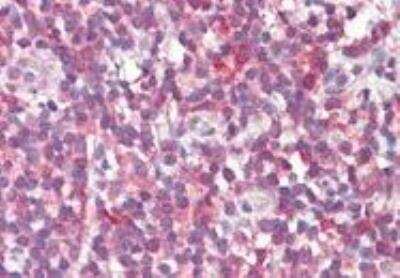
Immunohistochemistry-Paraffin: MTHFD1L Antibody [NBP1-78279] - Human Tonsil tissue. Antibody at 5 ug/mL. Steamed antigen retrieval with citrate buffer pH 6, AP-staining.Western Blot: MTHFD1L Antibody [NBP1-78279]
Western Blot: MTHFD1L Antibody [NBP1-78279] - Human Cer (35 ug protein in RIPA buffer). Antibody at 0.1 ug/mL. Primary incubation was 1 hour. Detected by chemiluminescence.Applications for MTHFD1L Antibody
Application
Recommended Usage
Immunohistochemistry-Paraffin
5 ug/mL
Peptide ELISA
Detection limit 1:32000
Western Blot
0.1 - 0.3 ug/mL
Application Notes
WB: Approx. 110 kDa band observed in human brain (cerebellum) (calculated MW of 106 kDa band according to NP_056255.2). The same band is observed in lysates of NIH3T3, mouse brain and rat brain.
Formulation, Preparation, and Storage
Purification
Immunogen affinity purified
Formulation
Tris saline (20 mM Tris pH 7.3, 150 mM NaCl), 0.5% BSA
Preservative
0.02% Sodium Azide
Concentration
0.5 mg/ml
Shipping
The product is shipped with polar packs. Upon receipt, store it immediately at the temperature recommended below.
Stability & Storage
Store at -20C. Avoid freeze-thaw cycles.
Background: MTHFD1L
Alternate Names
10-formyl-THF synthetase, dJ292B18.2, DKFZp586G1517, EC 6.3.4.3, FLJ21145, Formyltetrahydrofolate synthetase, formyltetrahydrofolate synthetase domain containing 1, FTHFSDC1, methylenetetrahydrofolate dehydrogenase (NADP+ dependent) 1-like, mitochondrial C1-tetrahydrofolate synthase, mitochondrial C1-tetrahydrofolate synthetase, monofunctional C1-tetrahydrofolate synthase, mitochondrial, MTC1THFS
Gene Symbol
MTHFD1L
Additional MTHFD1L Products
Product Documents for MTHFD1L Antibody
Product Specific Notices for MTHFD1L Antibody
This product is for research use only and is not approved for use in humans or in clinical diagnosis. Primary Antibodies are guaranteed for 1 year from date of receipt.
Loading...
Loading...
Loading...
Loading...