Skip to main content

MS4A10 Antibody (PSH0-71)

Novus Biologicals, part of Bio-Techne | Catalog # NBP3-32603

Recombinant Monoclonal Antibody
Novus Biologicals, part of Bio-Techne
Catalog #
Availability
Size / Price
Qty
Loading...
NBP3-32603

Key Product Details

Species Reactivity

Mouse, Rat

Applications

Immunohistochemistry, Immunohistochemistry-Paraffin, Western Blot

Label

Unconjugated

Antibody Source

Recombinant Monoclonal Rabbit IgG Clone # PSH0-71 expressed in HEK293

Concentration

1 mg/ml

Product Specifications

Immunogen

Synthetic peptide within mouse MS4A10 aa 218-267 / 267. (Uniprot: Q99N03)

Localization

Membrane.

Clonality

Monoclonal

Host

Rabbit

Isotype

IgG

Theoretical MW

29 kDa.
Disclaimer note: The observed molecular weight of the protein may vary from the listed predicted molecular weight due to post translational modifications, post translation cleavages, relative charges, and other experimental factors.

Description

Novus Biologicals Rabbit MS4A10 Antibody (PSH0-71) (NBP3-32603) is a recombinant monoclonal antibody validated for use in IHC and WB. All Novus Biologicals antibodies are covered by our 100% guarantee.

Scientific Data Images for MS4A10 Antibody (PSH0-71)

MS4A10 Antibody (PSH0-71)

Western Blot: MS4A10 Antibody (PSH0-71) [NBP3-32603]

Western Blot: MS4A10 Antibody (PSH0-71) [NBP3-32603] - Western blot analysis of MS4A10 on different lysates with Rabbit anti-MS4A10 antibody (NBP3-32603) at 1/1,000 dilution.

Lane 1: HeLa whole cell lysate
Lane 2: HeLa overexpress mouse Ms4a10 whole cell lysate

Lysates/proteins at 30 ug/Lane.

Predicted band size: 29 kDa
Observed band size: 29/25 kDa

Exposure time: 4 seconds;

4-20% SDS-PAGE gel.

Proteins were transferred to a PVDF membrane and blocked with 5% NFDM/TBST for 1 hour at room temperature. The primary antibody (NBP3-32603) at 1/1,000 dilution was used in 5% NFDM/TBST at room temperature for 2 hours. Goat Anti-Rabbit IgG - HRP Secondary Antibody at 1:100,000 dilution was used for 1 hour at room temperature.
MS4A10 Antibody (PSH0-71)

Immunohistochemistry: MS4A10 Antibody (PSH0-71) [NBP3-32603]

Immunohistochemistry: MS4A10 Antibody (PSH0-71) [NBP3-32603] - Immunofluorescence analysis of paraffin-embedded mouse small intestine tissue labeling MS4A10 with Rabbit anti-MS4A10 antibody (NBP3-32603) at 1/200 dilution.

The section was pre-treated using heat mediated antigen retrieval with Tris-EDTA buffer (pH 9.0) for 20 minutes. The tissues were blocked in 10% negative goat serum for 1 hour at room temperature, washed with PBS, and then probed with the primary antibody (NBP3-32603, green) at 1/200 dilution overnight at 4 ℃, washed with PBS.

Goat Anti-Rabbit IgG H&L (iFluor™ 488) was used as the secondary antibody at 1/1,000 dilution. Nuclei were counterstained with DAPI (blue).
MS4A10 Antibody (PSH0-71)

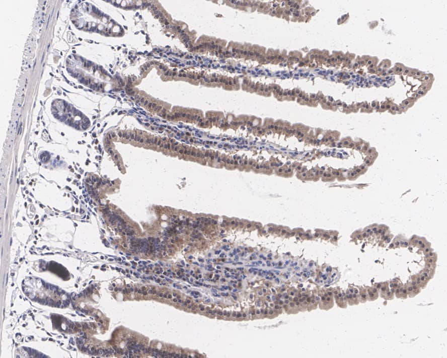
Immunohistochemistry: MS4A10 Antibody (PSH0-71) [NBP3-32603]

Immunohistochemistry: MS4A10 Antibody (PSH0-71) [NBP3-32603] - Immunohistochemical analysis of paraffin-embedded mouse small intestine tissue with Rabbit anti-MS4A10 antibody (NBP3-32603) at 1/100 dilution.

The section was pre-treated using heat mediated antigen retrieval with Tris-EDTA buffer (pH 9.0) for 20 minutes. The tissues were blocked in 1% BSA for 20 minutes at room temperature, washed with ddH2O and PBS, and then probed with the primary antibody (NBP3-32603) at 1/100 dilution for 1 hour at room temperature. The detection was performed using an HRP conjugated compact polymer system. DAB was used as the chromogen. Tissues were counterstained with hematoxylin and mounted with DPX.

Applications for MS4A10 Antibody (PSH0-71)

Application
Recommended Usage

Immunohistochemistry-Paraffin

1:100-1:500

Western Blot

1:1000

Formulation, Preparation, and Storage

Purification

Protein A purified

Formulation

PBS (pH7.4), 0.1% BSA and 40% Glycerol

Preservative

0.05% Sodium Azide

Concentration

1 mg/ml

Shipping

The product is shipped with polar packs. Upon receipt, store it immediately at the temperature recommended below.

Stability & Storage

Store at 4C short term. Aliquot and store at -20C long term. Avoid freeze-thaw cycles.

Background: MS4A10

Most MS4A genes, including MS4A10, encode proteins with at least 4 potential transmembrane domains and N- andC-terminal cytoplasmic domains encoded by distinct exons.(supplied by OMIM)

Long Name

Membrane-spanning 4-domains, Subfamily A, Member 10

Alternate Names

CD20L7

Gene Symbol

MS4A10

Additional MS4A10 Products

Product Documents for MS4A10 Antibody (PSH0-71)

Certificate of Analysis

To download a Certificate of Analysis, please enter a lot number in the search box below.

Product Specific Notices for MS4A10 Antibody (PSH0-71)

This product is for research use only and is not approved for use in humans or in clinical diagnosis. Primary Antibodies are guaranteed for 1 year from date of receipt.

Loading...
Loading...
Loading...
Loading...