Skip to main content

MRPS2 Antibody (OTI4D6)

Novus Biologicals, part of Bio-Techne | Catalog # NBP2-03292

Novus Biologicals, part of Bio-Techne
Catalog #
Availability
Size / Price
Qty
Loading...
NBP2-03292

Key Product Details

Species Reactivity

Human

Applications

Flow Cytometry, Immunohistochemistry, Immunohistochemistry-Paraffin, Western Blot

Label

Unconjugated

Antibody Source

Monoclonal Mouse IgG2A Clone # OTI4D6

Concentration

1.2 mg/ml

Product Specifications

Immunogen

Full length human recombinant protein of human MRPS2 (NP_057118) produced in E.coli.

Clonality

Monoclonal

Host

Mouse

Isotype

IgG2A

Theoretical MW

33.1 kDa.
Disclaimer note: The observed molecular weight of the protein may vary from the listed predicted molecular weight due to post translational modifications, post translation cleavages, relative charges, and other experimental factors.

Description

Novus Biologicals Mouse MRPS2 Antibody (OTI4D6) (NBP2-03292) is a monoclonal antibody validated for use in IHC, WB and Flow. All Novus Biologicals antibodies are covered by our 100% guarantee.

Scientific Data Images for MRPS2 Antibody (OTI4D6)

Western Blot: MRPS2 Antibody (OTI4D6) [NBP2-03292]

Western Blot: MRPS2 Antibody (OTI4D6) [NBP2-03292]

Western Blot: MRPS2 Antibody (4D6) [NBP2-03292] - HEK293T cells were transfected with the pCMV6-ENTRY control (Left lane) or pCMV6-ENTRY MRPS2 (Right lane) cDNA for 48 hrs and lysed. Equivalent amounts of cell lysates (5 ug per lane) were separated by SDS-PAGE and immunoblotted with anti-MRPS2.
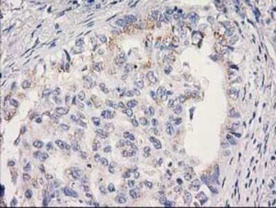
Immunohistochemistry-Paraffin: MRPS2 Antibody (4D6) [NBP2-03292] Staining of paraffin-embedded Carcinoma of Human lung tissue using anti-MRPS2 mouse monoclonal antibody.
Flow Cytometry: MRPS2 Antibody (OTI4D6) [NBP2-03292]

Flow Cytometry: MRPS2 Antibody (OTI4D6) [NBP2-03292]

Flow Cytometry: MRPS2 Antibody (4D6) [NBP2-03292] - HEK293T cells transfected with either overexpression plasmid (Red) or empty vector control plasmid (Blue) were immunostained by anti-MRPS2 antibody, and then analyzed by flow cytometry.

Applications for MRPS2 Antibody (OTI4D6)

Application
Recommended Usage

Flow Cytometry

1:100

Immunohistochemistry

1:150

Immunohistochemistry-Paraffin

1:150

Western Blot

1:2000

Formulation, Preparation, and Storage

Purification

Immunogen affinity purified

Formulation

PBS (pH 7.3), 1.0% BSA and 50% Glycerol

Preservative

0.02% Sodium Azide

Concentration

1.2 mg/ml

Shipping

The product is shipped with polar packs. Upon receipt, store it immediately at the temperature recommended below.

Stability & Storage

Store at -20C. Avoid freeze-thaw cycles.

Background: MRPS2

Mammalian mitochondrial ribosomal proteins are encoded by nuclear genes and help in protein synthesis within the mitochondrion. Mitochondrial ribosomes (mitoribosomes) consist of a small 28S subunit and a large 39S subunit. They have an estimated 75% protein to rRNA composition compared to prokaryotic ribosomes, where this ratio is reversed. Another difference between mammalian mitoribosomes and prokaryotic ribosomes is that the latter contain a 5S rRNA. Among different species, the proteins comprising the mitoribosome differ greatly in sequence, and sometimes in biochemical properties, which prevents easy recognition by sequence homology. This gene encodes a 28S subunit protein that belongs to the ribosomal protein S2 family. [provided by RefSeq]. COMPLETENESS: complete on the 3' end.

Alternate Names

28S ribosomal protein S2, mitochondrial, CGI-91, mitochondrial 28S ribosomal protein S2, mitochondrial ribosomal protein S2, MRP-S2, S2mt

Entrez Gene IDs

51116 (Human)

Gene Symbol

MRPS2

Additional MRPS2 Products

Product Documents for MRPS2 Antibody (OTI4D6)

Certificate of Analysis

To download a Certificate of Analysis, please enter a lot number in the search box below.

Product Specific Notices for MRPS2 Antibody (OTI4D6)

This product is for research use only and is not approved for use in humans or in clinical diagnosis. Primary Antibodies are guaranteed for 1 year from date of receipt.

Loading...
Loading...
Loading...
Loading...
Loading...