Skip to main content

MRPL42 Antibody - BSA Free

Novus Biologicals, part of Bio-Techne | Catalog # NBP2-97198

Novus Biologicals, part of Bio-Techne

Key Product Details

Species Reactivity

Human

Applications

Immunohistochemistry, Immunohistochemistry-Paraffin

Label

Unconjugated

Antibody Source

Polyclonal Rabbit IgG

Format

BSA Free

Concentration

Please see the vial label for concentration. If unlisted please contact technical services.

Product Specifications

Immunogen

Produced in rabbits immunized with E. coli-derived Human MRPL42 fragment.

Clonality

Polyclonal

Host

Rabbit

Isotype

IgG

Description

This antibody can be stored at 2C to 8C for one month without detectable loss of activity. Antibody products are stable for twelve months from date of receipt when stored at -20C to -80C. Avoid repeated freeze-thaw cycles.

Scientific Data Images for MRPL42 Antibody - BSA Free

Immunohistochemistry-Paraffin: MRPL42 Antibody [NBP2-97198]

Immunohistochemistry-Paraffin: MRPL42 Antibody [NBP2-97198]

Immunohistochemistry-Paraffin: MRPL42 Antibody [NBP2-97198] - Immunochemical staining of human MRPL42 in human liver with rabbit polyclonal antibody at 1:100 dilution, formalin-fixed paraffin embedded sections.
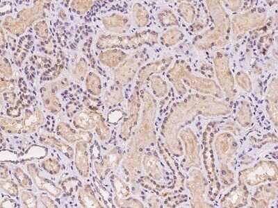
Immunohistochemistry-Paraffin: MRPL42 Antibody [NBP2-97198]

Immunohistochemistry-Paraffin: MRPL42 Antibody [NBP2-97198]

Immunohistochemistry-Paraffin: MRPL42 Antibody [NBP2-97198] - Immunochemical staining of human MRPL42 in human kidney with rabbit polyclonal antibody at 1:100 dilution, formalin-fixed paraffin embedded sections.

Applications for MRPL42 Antibody - BSA Free

Application
Recommended Usage

Immunohistochemistry-Paraffin

1:50-1:200

Formulation, Preparation, and Storage

Purification

Antigen and protein A Affinity-purified

Formulation

PBS

Format

BSA Free

Preservative

0.03% Proclin 300

Concentration

Please see the vial label for concentration. If unlisted please contact technical services.

Shipping

The product is shipped with polar packs. Upon receipt, store it immediately at the temperature recommended below.

Stability & Storage

Store at 4C short term. Aliquot and store at -20C long term. Avoid freeze-thaw cycles.

Background: MRPL42

MRPL42, or Mitochondrial Ribosomal Protein L42, consists of a 142 amino acid isoform that is 17 kDa, and is involved in mitochondrial protein synthesis. There is no current research being conducted based on the relationship between MRPL42 and any diseases or disorders. The protein is linked to the process of translation, and interacts with IKBKAP, EEF1A1, EGFR, MRPS21, and MRPS36.

Alternate Names

39S ribosomal protein L31, mitochondrial, 39S ribosomal protein L42, mitochondrial, HSPC204,28S ribosomal protein S32, mitochondrial, L31mt, mitochondrial ribosomal protein L42, mitochondrial ribosomal protein S32, MRPL31L42mt, MRP-L31MRP-S32, MRPS32MRP-L42, PTD007, RPML31S32mt

Gene Symbol

MRPL42

Additional MRPL42 Products

Product Documents for MRPL42 Antibody - BSA Free

Certificate of Analysis

To download a Certificate of Analysis, please enter a lot number in the search box below.

Product Specific Notices for MRPL42 Antibody - BSA Free

This product is for research use only and is not approved for use in humans or in clinical diagnosis. Primary Antibodies are guaranteed for 1 year from date of receipt.

Loading...
Loading...
Loading...
Loading...